症例詳細
Case detail
他院で抜歯と言われた 残したい
治療症例の内容
- 診療科目
 
- 担当医
 - 井上季実子(ドクタープロフィール)
 
- 患者様
 - 50代女性
 
- 治療期間
 - 3ヶ月
 
- 治療回数
 - 2-5回
 
- 治療計画
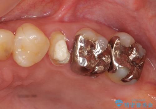
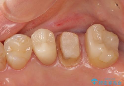
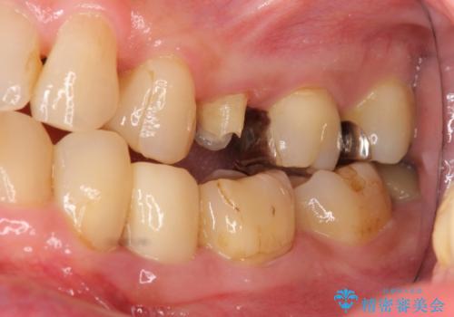
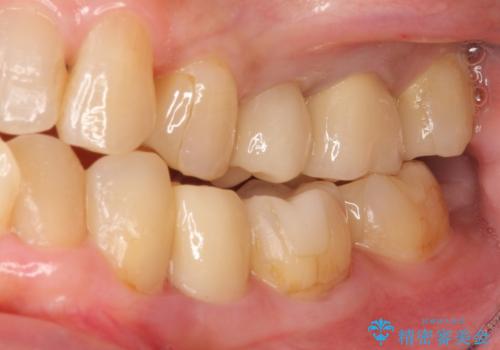
 - 左上5番の根の治療途中で転院希望で来院。
割れているために抜かないといけないと説明されたとのことでした。
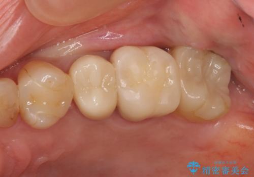
特に割れている所見はなかったため、根の治療から被せ物まで治療を行いました。
奥の銀歯のやりかえも希望されたため、セラミッククラウン、インレーにする治療をしています。 
- 費用(概算)
 - 合計 48.4万円( 左上5:再根管治療 9万円、ファイバーコア2万円、仮歯1万円、ジルコニアクラウン10万円 左上6:仮歯、ジルコニアクラウン 左上7:emaxインレー7万円)費用は治療当時の料金となります
 
治療について
左上6番のアンレーは、歯の破折を防ぐためにクラウンとしました。
セラミック治療の注意事項(リスク・副作用など)
- 天然歯を削ります
 - 硬い素材は天然歯を傷つけてしまう場合があります
 - かみ合わせや歯ぎしりが強すぎる方はセラミックが割れてしまう可能性があります
 - 自費診療(保険適用外治療)となります
 
根管治療の注意事項(リスク・副作用など)
- 根管治療により類似の全ての症例の問題が解決するわけではなく、症例はあくまでも一例です
 - 根管治療により痛みや腫れがひかない事や、術後に痛みや腫れが生じる事、治療によるファイル破折やパーフォレーションなどの偶発症、術後の歯根破折を生じる可能性もあります
 - 自費診療(保険適用外)となります
 
その他の注意事項(リスク・副作用など)
- 担当歯科医師、歯科衛生士又は医院スタッフから受けた説明・注意事項をよくご確認ください
 - 医療を提供するに当たり、適切な説明を行い、患者様の十分な理解を得るよう努めております
 
当サイトの内容、テキスト、画像等の無断転載、複製、複写、盗用を固く禁じます。

                      
                                                          








