症例詳細
Case detail
著しい八重歯が気になる インビザラインでの矯正治療
治療症例の内容
- 診療科目
- 担当医
- 藤巻太一朗(ドクタープロフィール)
- 患者様
- 20代女性
- 矯正装置
- インビザライン
- 治療期間
- 4年3ヶ月
- 治療回数
- 10-30回
- 治療計画
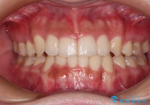
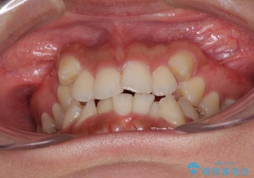
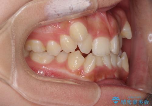
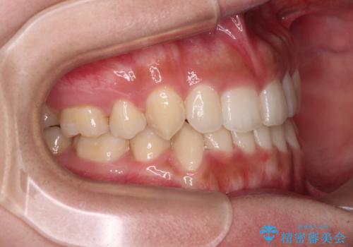
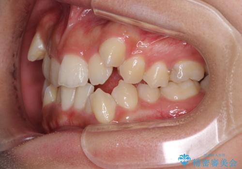
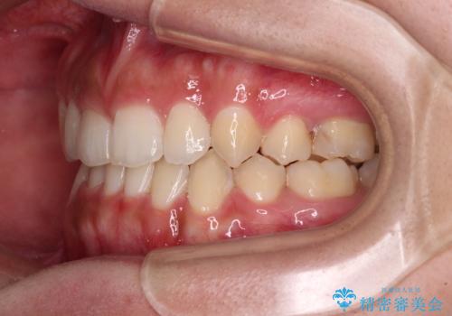
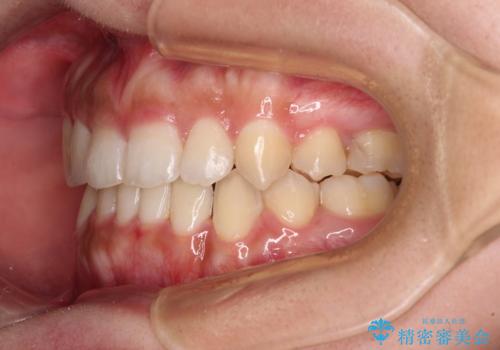
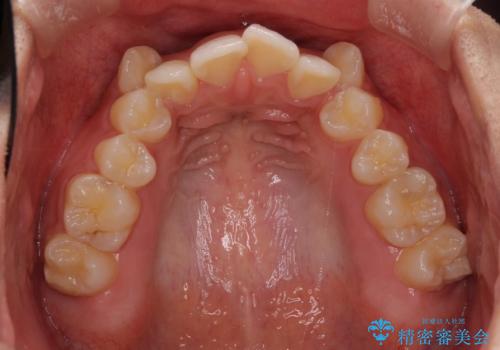
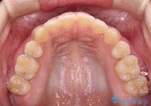
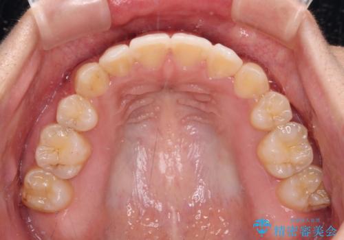
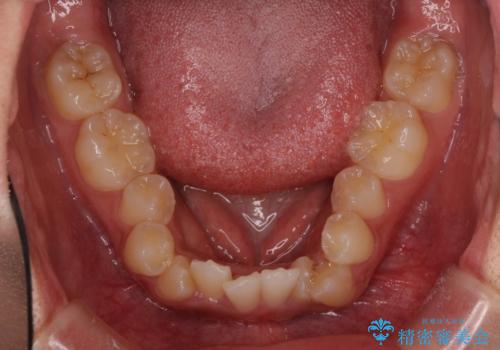
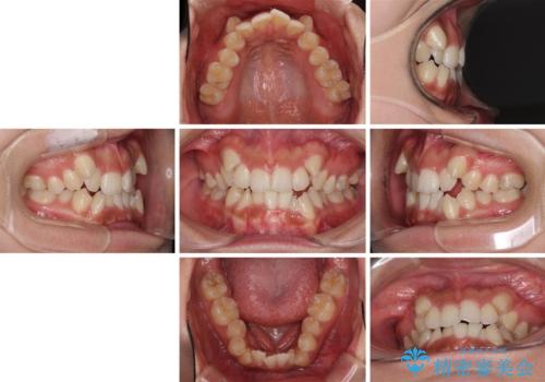
- 顕著な八重歯が気になるとのことで来院された患者様です。
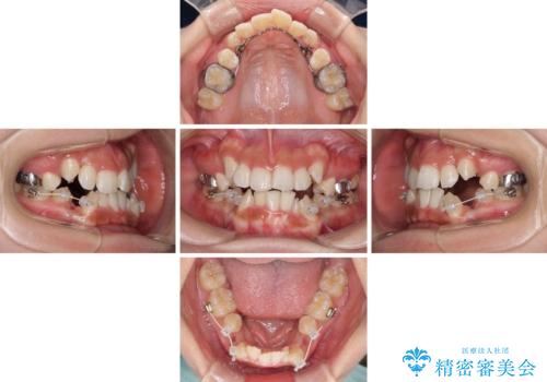
インビザラインでの治療を希望されましたが、インビザライン単独では困難と判断されたため、補助装置や一部ワイヤー装置を用いて行うこととしました。
叢生が強いため、上下左右第一小臼歯4本を抜歯することとしました。
- 費用(概算)
- 治療費の目安: 100万円(税込)費用は治療当時の料金となります
治療について
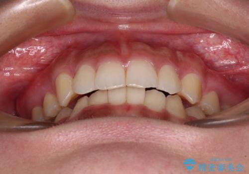
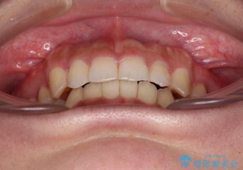
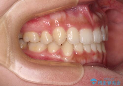
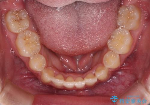
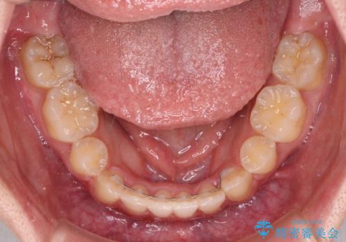
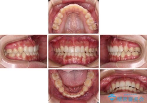
ワイヤー装置を用いた場合、一般的には2年程度で終了することを考えると、「移動量が多くなると治療期間が長くなる」というインビザライン矯正の最大の弱点が現れた治療となりました。
マウスピース矯正の注意事項(リスク・副作用など)
- 口腔内・歯並びの状態によっては対応できない場合があります
- マウスピース型矯正装置の長時間装着(1日20時間以上)が必須です
- 治療計画通りに進めるためには、患者様の意志が重要になります
- 矯正治療後の保定が不十分だと後戻り(元の位置に戻ろうとする動き)をします
- 薬機法対象外の矯正歯科装置のため医薬品副作用被害救済制度の対象外となる場合があります
- 自費診療(保険適用外)となります
当サイトの内容、テキスト、画像等の無断転載、複製、複写、盗用を固く禁じます。




























