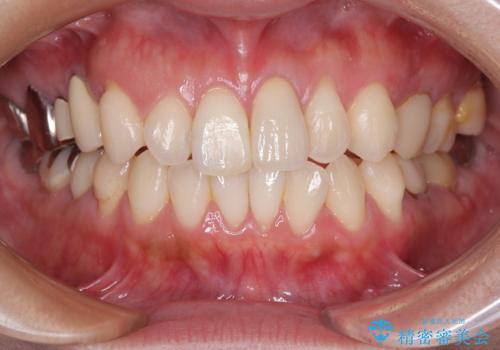
症例詳細
Case detail
詰め物が欠けた セラミックインレーによる修復
治療症例の内容
- 診療科目
- 治療カテゴリ
- 担当医
- 齋藤佑磨(ドクタープロフィール)
- 患者様
- 20代男性
- 治療期間
- 1ヶ月
- 治療回数
- 2-5回
- 治療計画
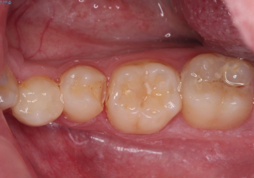
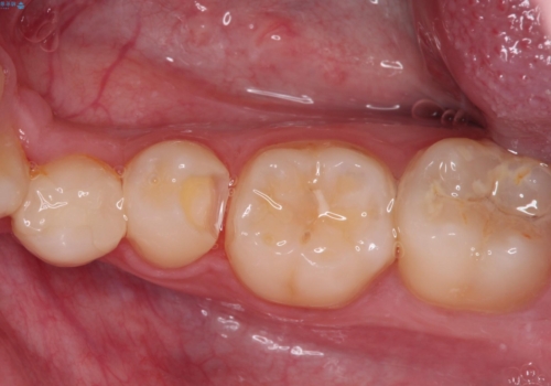
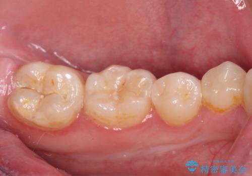
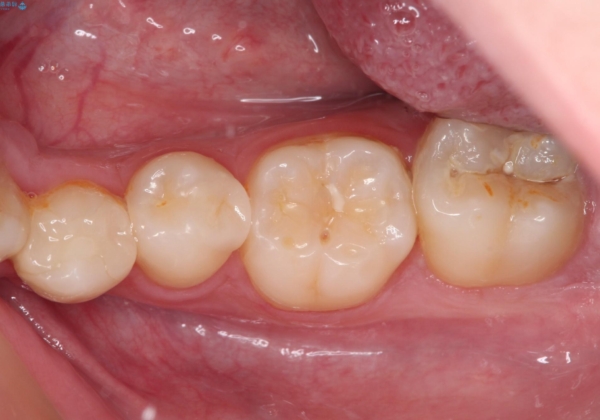
- 以前治療した詰め物が欠けてしまったことを主訴として来院した患者様です。
食べ物がはさまったり、冷たいものがしみるといった症状がみられました。
むし歯の染め出し液と拡大鏡を用いて、むし歯がないことを確認し、
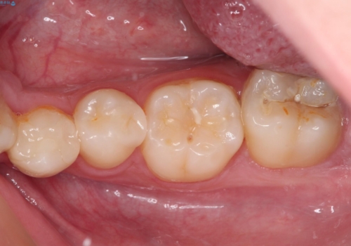
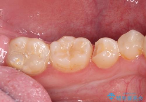
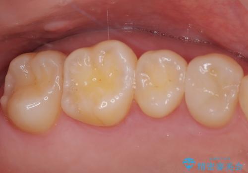
セラミックインレーにて修復することとしました。
- 費用(概算)
- 8万円(税込)費用は治療当時の料金となります
治療について
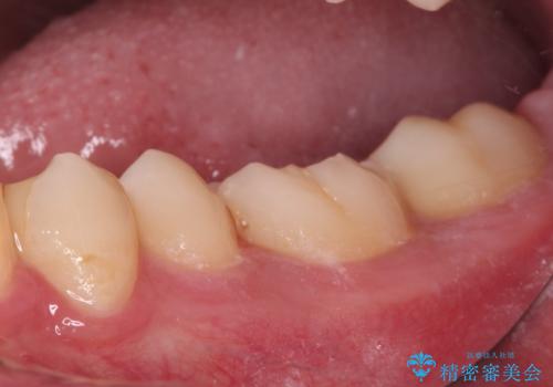
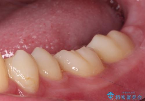
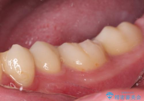
食べ物がはさまりにくくなり、冷たいものがしみる症状もなくなり、大変満足していただきました。
放置しても良いことはないため、もし詰め物がかけてしまったのに気が付いたら早めに歯科医院を受診されるのをお勧めいたします。
セラミック治療の注意事項(リスク・副作用など)
- 天然歯を削ります
- 硬い素材は天然歯を傷つけてしまう場合があります
- かみ合わせや歯ぎしりが強すぎる方はセラミックが割れてしまう可能性があります
- 自費診療(保険適用外治療)となります
当サイトの内容、テキスト、画像等の無断転載、複製、複写、盗用を固く禁じます。











