症例詳細
Case detail
前歯が一本取れた オールセラミックブリッジによる補綴治療
治療症例の内容
- 診療科目
- 治療カテゴリ
- 担当医
- 患者様
- 40代女性
- 治療期間
- 3ヶ月
- 治療回数
- 2-5回
- 治療計画
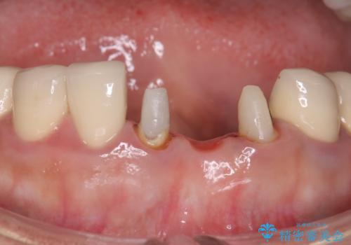
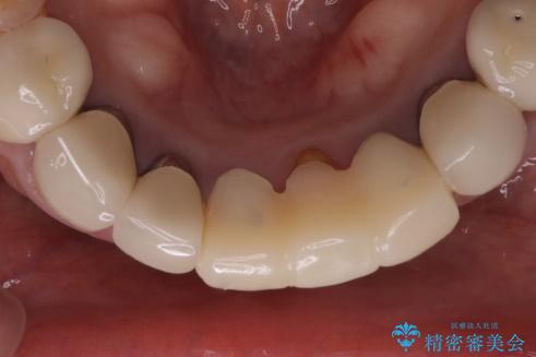
- 下の前歯のかぶせ物がが一つとれてしまい、他院で仮歯を装着されてから来院されました。
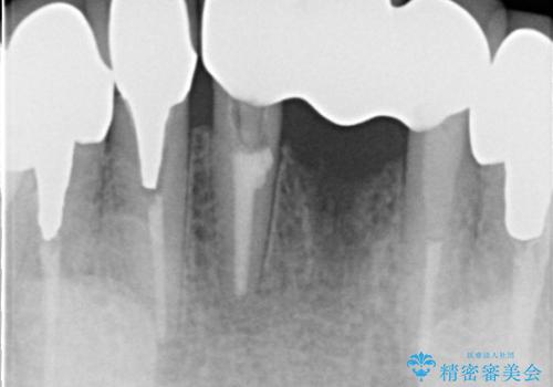
仮歯をはずし確認すると、一本の歯が土台ごとはずれて根だけになってしまって、保存が難しい状態でした。
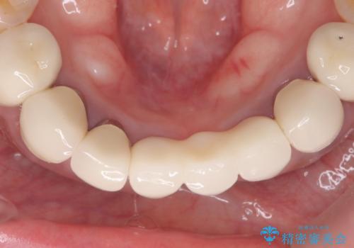
抜歯後にブリッジを装着する計画としました。
- 費用(概算)
- 約38万円費用は治療当時の料金となります
治療について
抜歯をしているため、その部位の治癒を待ってからブリッジを装着するので、2-3か月ほど治療期間を必要としました。
セラミック治療の注意事項(リスク・副作用など)
- 天然歯を削ります
- 硬い素材は天然歯を傷つけてしまう場合があります
- かみ合わせや歯ぎしりが強すぎる方はセラミックが割れてしまう可能性があります
- 自費診療(保険適用外治療)となります
当サイトの内容、テキスト、画像等の無断転載、複製、複写、盗用を固く禁じます。











