症例詳細
Case detail
変色した前歯をセラミックでひっこめたい
治療症例の内容
- 診療科目
- 治療カテゴリ
- 担当医
- 井上季実子(ドクタープロフィール)
- 患者様
- 20代女性
- 治療期間
- 6ヶ月
- 治療回数
- 2-5回
- 治療計画
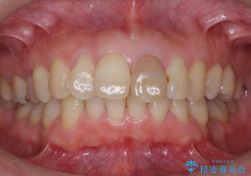
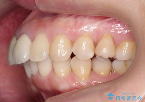
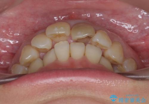
- 前歯の色と、前突感を気にして来院。
全体的な矯正治療をすすめましたが、ご希望されませんでした。
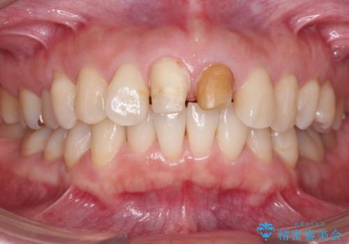
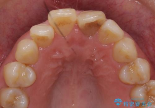
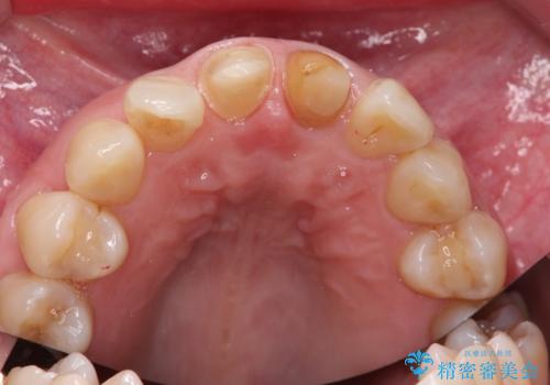
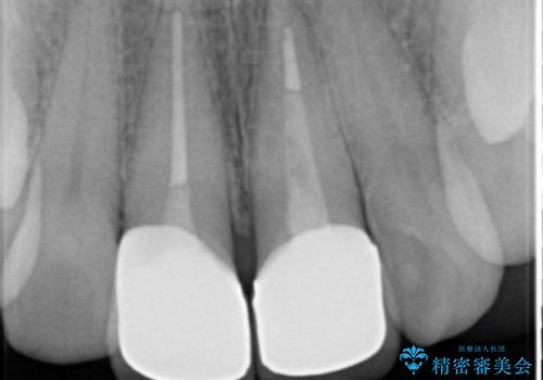
左上の前歯の神経が失活(死んでいた)していたため、神経の治療を行いました。
また、右上の前歯を下げるため、便宜的に神経を取る治療を行いました。
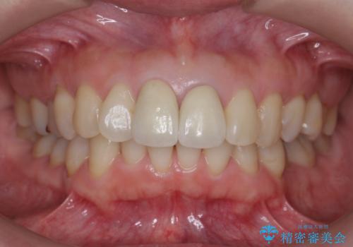
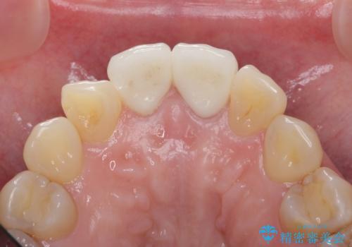
結果、気になっていた色と角度が良くなり、大変喜んでいただけました。
- 費用(概算)
- 48.4万円 内訳:ジルコニアクラウンスペシャル 13万円x2、ファイバーコア 2万円x2、仮歯 1万円x2、精密根管治療(イニシャル) 6万円x2 (税別)費用は治療当時の料金となります
治療について
右上1はひっこめた量が大きかったため、反対側の1番と切端をそろえるのに、多少長さは長くなりました。
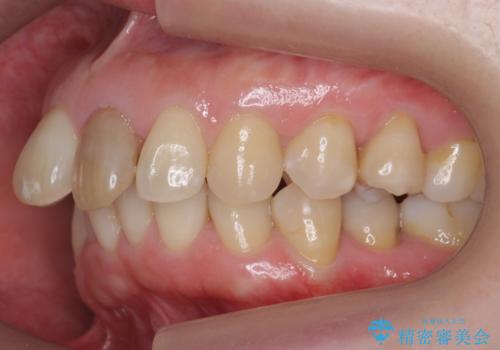
右上2、左上2の補綴も提案はしましたが、最小限の本数で行っていくことになり、右上2の捻転(歯のねじれ)はそのままとなっております。
セラミック治療の注意事項(リスク・副作用など)
- 天然歯を削ります
- 硬い素材は天然歯を傷つけてしまう場合があります
- かみ合わせや歯ぎしりが強すぎる方はセラミックが割れてしまう可能性があります
- 自費診療(保険適用外治療)となります
その他の注意事項(リスク・副作用など)
- 担当歯科医師、歯科衛生士又は医院スタッフから受けた説明・注意事項をよくご確認ください
- 医療を提供するに当たり、適切な説明を行い、患者様の十分な理解を得るよう努めております
根管治療の注意事項(リスク・副作用など)
- 根管治療により類似の全ての症例の問題が解決するわけではなく、症例はあくまでも一例です
- 根管治療により痛みや腫れがひかない事や、術後に痛みや腫れが生じる事、治療によるファイル破折やパーフォレーションなどの偶発症、術後の歯根破折を生じる可能性もあります
- 自費診療(保険適用外)となります
当サイトの内容、テキスト、画像等の無断転載、複製、複写、盗用を固く禁じます。














