症例詳細
Case detail
かけた前歯をきれいにしたい
治療症例の内容
- 診療科目
- 担当医
- 患者様
- 40代男性
- 治療期間
- 3ヶ月
- 治療回数
- 2-5回
- 治療計画
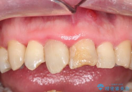
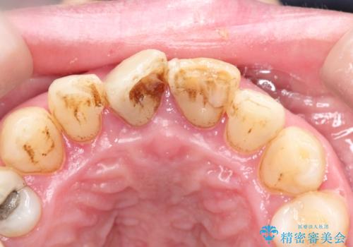
- かけてしまった前歯をきれいにしたいとのことで来院されました。
レントゲンを撮影すると、根の神経の治療が必要なことがわかりました。
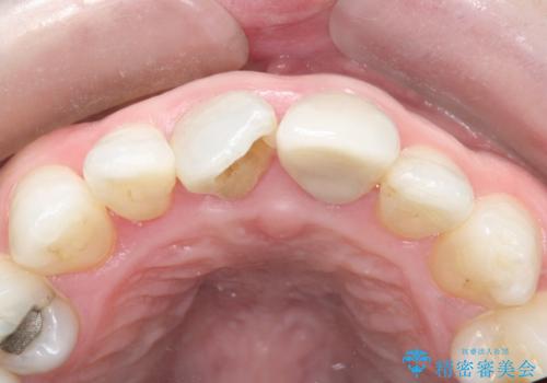
根管治療を行いセラミックを装着する計画としました。
- 費用(概算)
- 約13万円(クラウンのみ)費用は治療当時の料金となります
治療について
ホワイトニングをセラミックを装着する前に行うことで、白くなった周りの歯に合わせたセラミッククラウンを装着することができました。
セラミック治療の注意事項(リスク・副作用など)
- 天然歯を削ります
- 硬い素材は天然歯を傷つけてしまう場合があります
- かみ合わせや歯ぎしりが強すぎる方はセラミックが割れてしまう可能性があります
- 自費診療(保険適用外治療)となります
当サイトの内容、テキスト、画像等の無断転載、複製、複写、盗用を固く禁じます。










