症例詳細
Case detail
下の銀歯をセラミックに 虫歯治療
治療症例の内容
- 診療科目
- 担当医
- 井上季実子(ドクタープロフィール)
- 患者様
- 30代女性
- 治療期間
- 3ヶ月
- 治療回数
- 2-5回
- 治療計画
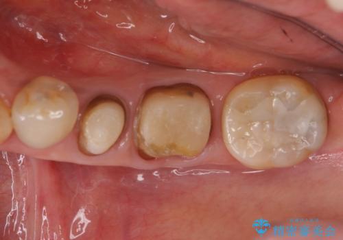
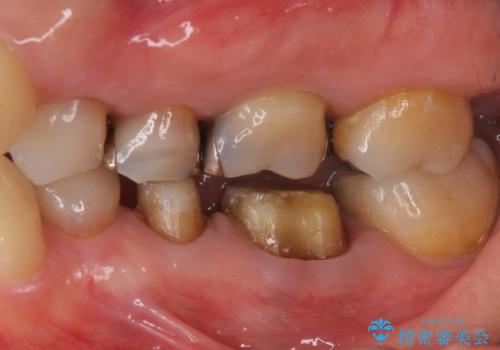
- 左下の銀歯を白くしたいと来院。
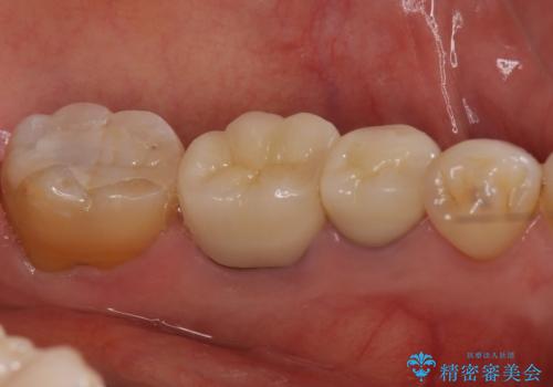
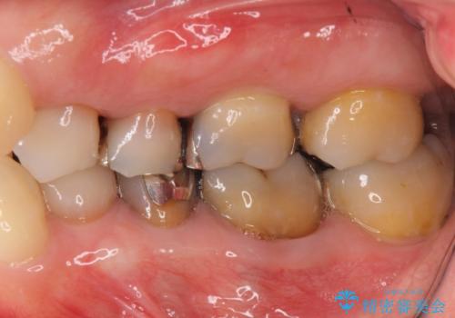
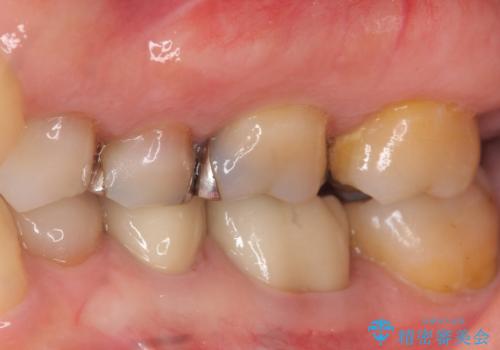
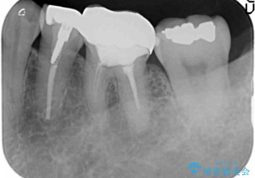
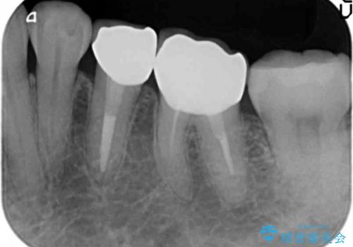
左下5番は根管治療のやりなおし、左下6番は上物(クラウン)のやり替えのみを行いました。
左下7番はアマルガムが入っていたため、ご希望によりセラミックインレーで治療を行っています。
- 費用(概算)
- 44万円(内訳 左下7:emaxプレスインレー 左下6:仮歯、ジルコニアクラウン 左下5:精密根管治療再治療、ファイバーコア、仮歯、ジルコニアクラウン)費用は治療当時の料金となります
治療について
アマルガムは水銀を含むため、やり替えの希望をされる方が多くなっています。
セラミック治療の注意事項(リスク・副作用など)
- 天然歯を削ります
- 硬い素材は天然歯を傷つけてしまう場合があります
- かみ合わせや歯ぎしりが強すぎる方はセラミックが割れてしまう可能性があります
- 自費診療(保険適用外治療)となります
その他の注意事項(リスク・副作用など)
- 担当歯科医師、歯科衛生士又は医院スタッフから受けた説明・注意事項をよくご確認ください
- 医療を提供するに当たり、適切な説明を行い、患者様の十分な理解を得るよう努めております
当サイトの内容、テキスト、画像等の無断転載、複製、複写、盗用を固く禁じます。











