症例詳細
Case detail
目立つ銀歯を白くしたい セラミック治療
治療症例の内容
- 診療科目
- 治療カテゴリ
- 担当医
- 菊地俊介(ドクタープロフィール)
- 患者様
- 30代女性
- 治療期間
- 1ヶ月
- 治療回数
- 2-5回
- 治療計画
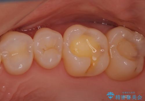
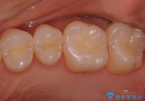
- 奥歯の銀歯が目立つということで来院されました。もともと入っていた銀歯を取り、虫歯の治療を行い、型取りを行ないます。
- 費用(概算)
- 15.4万円費用は治療当時の料金となります
治療について
よく銀歯の下が虫歯になっていることがあります。
今回の患者様も銀歯を取ってみたら大きな虫歯になっていました。
虫歯をとり、銀歯から白いセラミックになったためかなり喜んでいただきました。
セラミック治療の注意事項(リスク・副作用など)
- 天然歯を削ります
- 硬い素材は天然歯を傷つけてしまう場合があります
- かみ合わせや歯ぎしりが強すぎる方はセラミックが割れてしまう可能性があります
- 自費診療(保険適用外治療)となります
当サイトの内容、テキスト、画像等の無断転載、複製、複写、盗用を固く禁じます。





