症例詳細
Case detail
冷たいものがしみる 奥歯のセラミックインレー
治療症例の内容
- 診療科目
- 治療カテゴリ
- 担当医
- 齋藤佑磨(ドクタープロフィール)
- 患者様
- 30代男性
- 治療期間
- 1ヶ月
- 治療回数
- 2-5回
- 治療計画
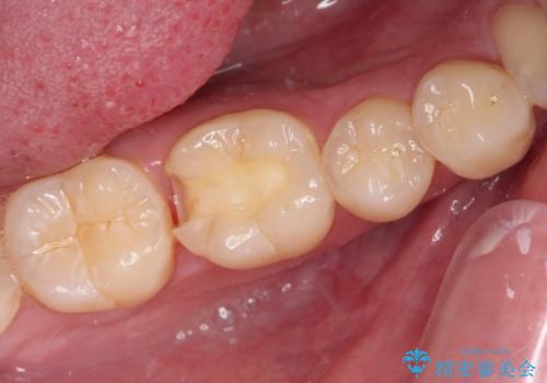
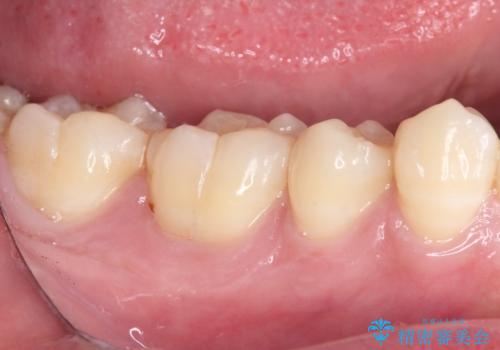
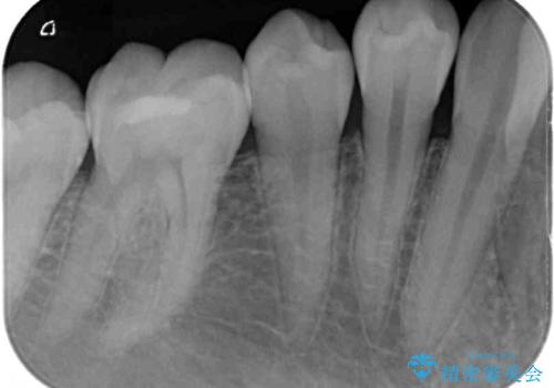
- 右下の奥歯が噛んだ時に痛み、冷たいものがしみることを主訴として来院された患者様です。
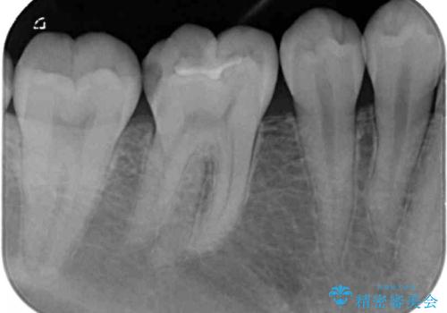
精査の結果、歯が欠けていてその下に虫歯が認められました。
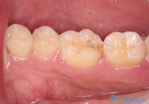
また、咬合面(歯の噛む面)に以前治療した樹脂の詰め物があるため、一度外して虫歯を完全に除去し、
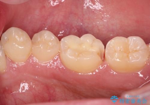
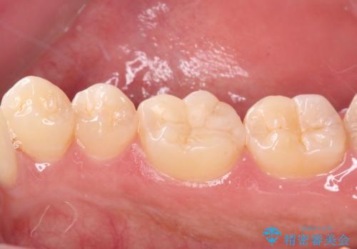
精度の高いセラミックインレーにて修復処置することとしました。
- 費用(概算)
- 8万円(税込)費用は治療当時の料金となります
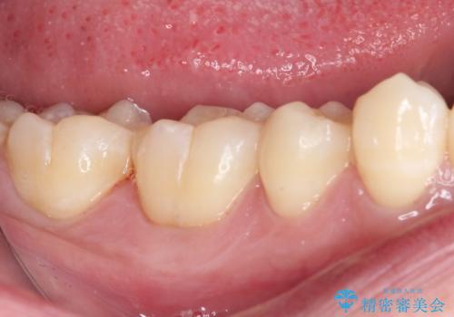
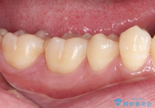
治療について
噛んだ時の痛みや、冷たいものがしみる症状はなくなり、見た目も自然でどこが詰め物かわからないと、患者様は大変満足されました。
セラミック治療の注意事項(リスク・副作用など)
- 天然歯を削ります
- 硬い素材は天然歯を傷つけてしまう場合があります
- かみ合わせや歯ぎしりが強すぎる方はセラミックが割れてしまう可能性があります
- 自費診療(保険適用外治療)となります
当サイトの内容、テキスト、画像等の無断転載、複製、複写、盗用を固く禁じます。











