症例詳細
Case detail
以前入れた詰め物が欠けた
治療症例の内容
- 診療科目
- 治療カテゴリ
- 担当医
- 青山卓弘(ドクタープロフィール)
- 患者様
- 30代
- 治療期間
- 1ヶ月
- 治療回数
- 2-5回
- 治療計画
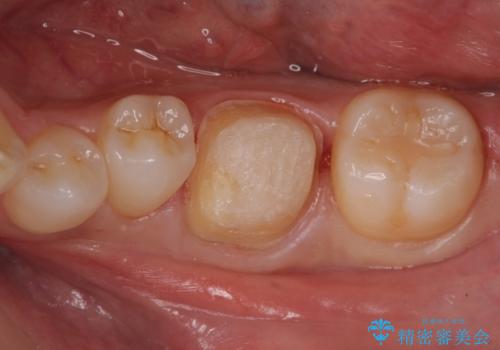
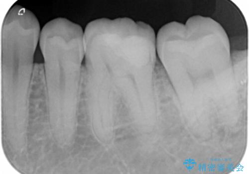
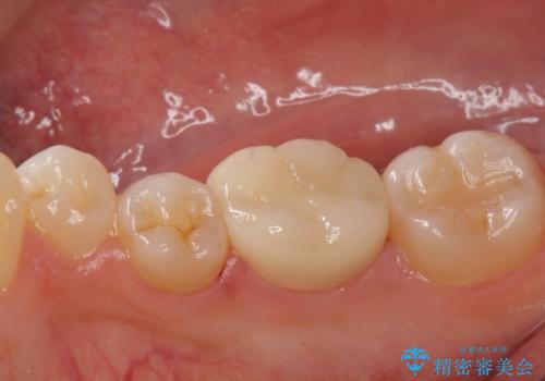
- 他院で入れたセラミックインレーが欠けてしまい来院。
やり直しに当たって、以下の提案を行い選んで頂いた。
①同様にセラミックインレーのやりかえ
→欠けたところが上の歯と噛み込んでおり、そのままやりかえるとさらに歯が薄くなり、また欠けてしまうリスクが高い状態
②ゴールドアンレーに変更する
→欠けた部分をしっかり覆うことができる。薄い歯質の部分がなくなり、歯は割れにくくなる。
ただし、金属になるため審美性は①より劣る。
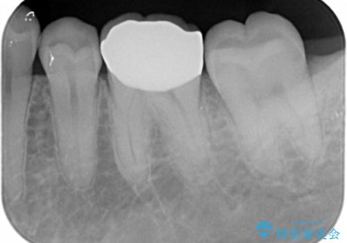
③ジルコニアクラウンで被せる
→欠けた部分をしっかり覆うことができる。薄い歯質の部分がなくなり、歯は割れにくくなる。
ただし、①②よりも歯を大きく削ることになる。
ジルコニアクラウンは白いため、審美性は保たれる。
患者と相談し、金属よりも白いものを入れたい、また、もう歯が欠けてやり直すのは嫌だとのご希望だった。
そのため、歯質の削除量は増えるが、クラウンで被せる③の方針で行くことになった。
- 費用(概算)
- 仮歯・ジルコニアクラウン 12.1万円費用は治療当時の料金となります
治療について
欠けてしまったところを放置すると、歯と詰め物の隙間から細菌が溜まり、虫歯の再発のリスクが高まります。
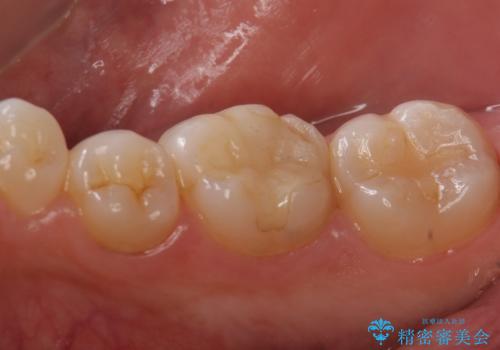
多少大きく削ることになりましたが希望に沿った処置となり、満足して頂けました。
セラミック治療の注意事項(リスク・副作用など)
- 天然歯を削ります
- 硬い素材は天然歯を傷つけてしまう場合があります
- かみ合わせや歯ぎしりが強すぎる方はセラミックが割れてしまう可能性があります
- 自費診療(保険適用外治療)となります
その他の注意事項(リスク・副作用など)
- 担当歯科医師、歯科衛生士又は医院スタッフから受けた説明・注意事項をよくご確認ください
- 医療を提供するに当たり、適切な説明を行い、患者様の十分な理解を得るよう努めております
当サイトの内容、テキスト、画像等の無断転載、複製、複写、盗用を固く禁じます。








