症例詳細
Case detail
【フルジルコニアクラウン】他院で治療したクラウンが外れた
治療症例の内容
- 診療科目
- 治療カテゴリ
- 担当医
- 河野豊嘉(ドクタープロフィール)
- 患者様
- 50代女性
- 治療期間
- 1ヶ月
- 治療回数
- 2-5回
- 治療計画
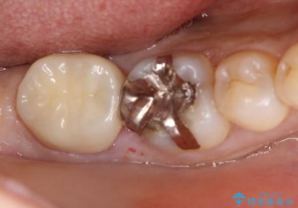
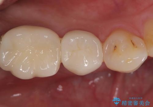
- 以前に他院で治療した被せものが外れたのを主訴に来院されました。
 唾液から歯を守るため、ラバーダムシートを装着し古い材料を全て除去したうえで、う蝕を取り治療しました。
 被せものはフルジルコニアクラウンにて行っております。
- 費用(概算)
- 88,000円費用は治療当時の料金となります
治療について
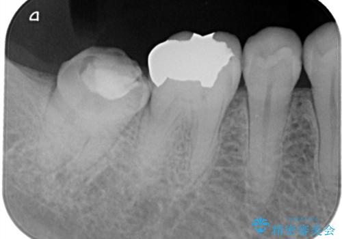
レントゲン写真から古い詰め物が神経と近接している事がわかります。万一に備え、ラバーダムシートを装着しながら治療を行いました。(万が一、虫歯の除去中に神経が露出した場合、神経を唾液から守るため。)
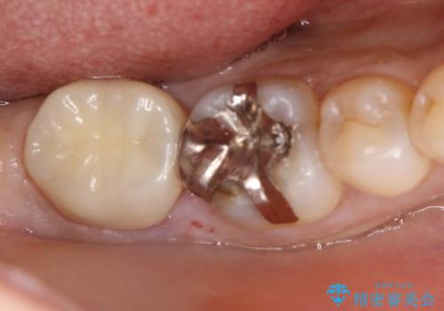
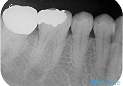
その後、新しい土台を立て、仮歯に置き換えたのち、フルジルコニアクラウンにて治療を行いました。
患者さんからは、「とてもお口に馴染んで気に入っている」とおっしゃって頂けました。
費用:仮歯1万円、フルジルコニアクラウン7万円(税別)
セラミック治療の注意事項(リスク・副作用など)
- 天然歯を削ります
- 硬い素材は天然歯を傷つけてしまう場合があります
- かみ合わせや歯ぎしりが強すぎる方はセラミックが割れてしまう可能性があります
- 自費診療(保険適用外治療)となります
当サイトの内容、テキスト、画像等の無断転載、複製、複写、盗用を固く禁じます。








 
                       
                                                          







 
                   
                   
                  