症例詳細
Case detail
【インプラント】奥歯に歯を入れたい
治療症例の内容
- 治療カテゴリ
- 
                                      
- 担当医
- 河口智英(ドクタープロフィール)
- 患者様
- 40代女性
- 治療期間
- 1年
- 治療回数
- 5-10回
- 治療計画
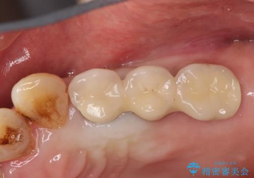
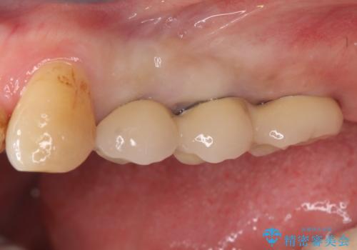
- 奥歯が欠損していることを主訴に来院されました。
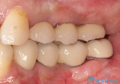
 インプラントにて補綴治療を行なっております。
 
 綺麗になり、しっかり噛めるようになったと満足していただきました。
 
- 費用(概算)
- 120万円費用は治療当時の料金となります
治療について
骨増生を行なったのちインプラント埋入を行なっております。
インプラント治療の注意事項(リスク・副作用など)
- 外科手術のため、術後に痛みや腫れ、違和感を伴います
- メンテナンスを怠ったり喫煙により、お口の中に大きな悪影響を及ぼすインプラント周囲炎等にかかる可能性があります
- 糖尿病、肝硬変、心臓病等の場合、インプラント治療ができない可能性があります
- 高血圧、貧血・不整脈等の場合、インプラント治療後に治癒不全を招く可能性があります
- 自費診療(保険適用外治療)となります
当サイトの内容、テキスト、画像等の無断転載、複製、複写、盗用を固く禁じます。








 
                       
                                                          







 
                   
                   
                  