症例詳細
Case detail
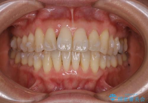
歯ぐき、骨が薄い方のマウスピース矯正治療 非抜歯でもIPR(歯を削る処置)で口元に変化を
治療症例の内容
- 患者様
- 40代女性
- 矯正装置
- インビザラインコンプリヘンシブパッケージ
- 治療期間
- 9ヶ月
- 治療回数
- 5-10回
- 治療計画
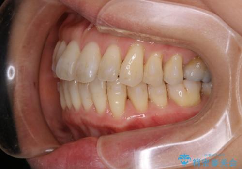
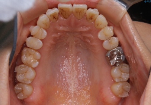
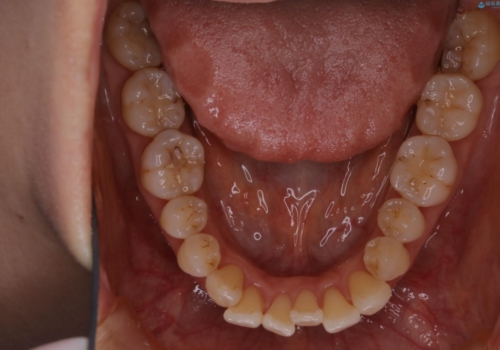
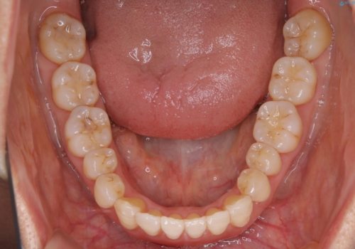
- 歯ぐきと骨が薄く、他院にて大きな矯正治療を断られた患者様です。
ワイヤー治療で行う場合、抜歯治療が第一選択となりますが、
骨と歯茎の状態を考慮した場合、抜歯をして大きく動かすことは避けたいと考えました。
そこで、インビザライン矯正で非抜歯で行うことを提案させて頂きました。
インビザライン矯正の利点の一つとして、必要最小限の動きで目的の歯並びを達成できるということがあります。
- 費用(概算)
- ¥792,000費用は治療当時の料金となります
治療について
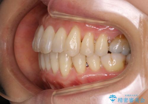
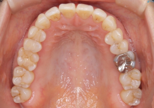
インビザラインによる非抜歯矯正を行いました。
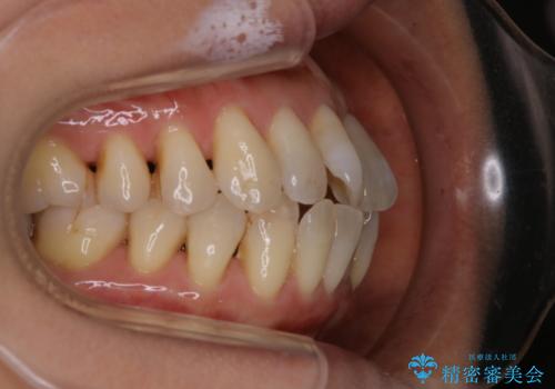
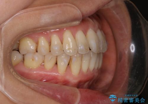
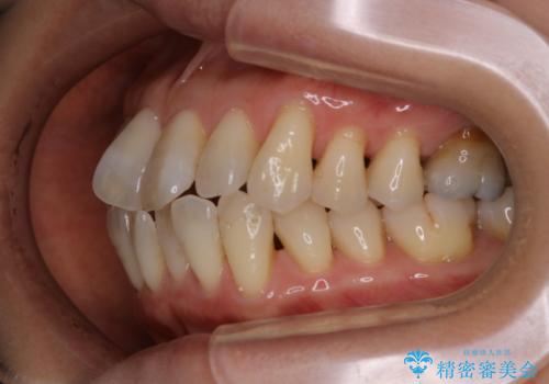
IPRと呼ばれる、歯と歯の間を削る処置を行い、
がたつきを改善し歯を内側に入れることに成功しました。
IPR(歯を削る処置)をした理由について
今回のようなケースでは、
抜歯を行うことが困難であり、また歯ぐきと骨が薄いことで
拡大と呼ばれる歯のアーチを広げる処置を行うことも困難でした。
そこで、IPRによるスペースの確保をメインに行いました。
むやみやたらに歯を削る選択をするのではなく、それぞれのスペース確保の手段を比較、検討した上で治療を行います。
IPRのメリット・デメリットについて
IPRを行うことによるメリットとして、
➀歯を抜かなくても済む
②骨や歯ぐきが薄いケースで骨、歯ぐきを守ることができる
③期間が短くて済む
IPRを行うことによるデメリットとして、
➀歯を削ることが出来る量には限度があるため、再矯正治療を行う場合にIPRを選択できなくなる可能性がある
②歯が少しだけ小さくなる
以上のことが挙げられます。
限度を守って歯を削ることで、知覚過敏が起きたり、虫歯になりやすくなるということは起きません。
また、無理に並べるよりも歯を削って並べることで骨、歯ぐきが守られ、
結果的に歯の寿命も長くなります。
マウスピース矯正の注意事項(リスク・副作用など)
- 口腔内・歯並びの状態によっては対応できない場合があります
- マウスピース型矯正装置の長時間装着(1日20時間以上)が必須です
- 治療計画通りに進めるためには、患者様の意志が重要になります
- 矯正治療後の保定が不十分だと後戻り(元の位置に戻ろうとする動き)をします
- 薬機法対象外の矯正歯科装置のため医薬品副作用被害救済制度の対象外となる場合があります
- 自費診療(保険適用外)となります
当サイトの内容、テキスト、画像等の無断転載、複製、複写、盗用を固く禁じます。





















