症例詳細
Case detail
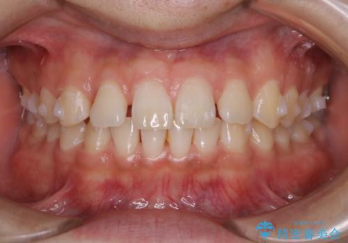
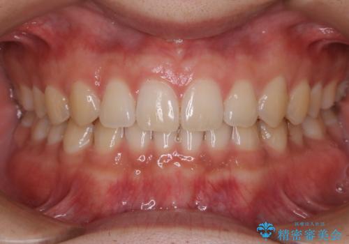
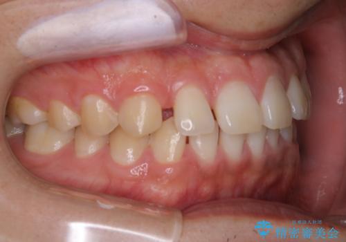
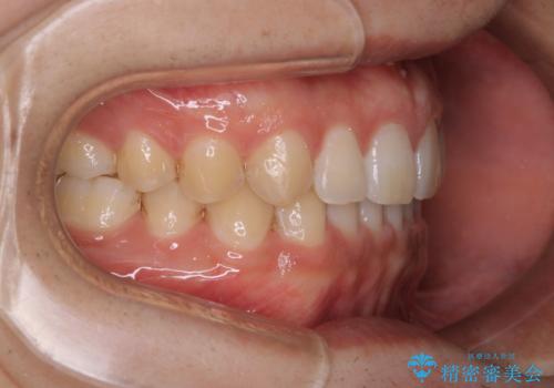
すきっ歯が気になる:見た目も噛み合わせもインビザラインでまとめて治す
治療症例の内容
- 診療科目
- 担当医
- 患者様
- 20代男性
- 矯正装置
- インビザラインFULL
- 治療期間
- 1年4ヶ月
- 治療回数
- 10-30回
- 治療計画
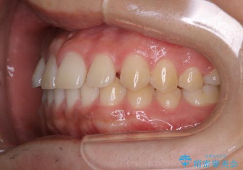
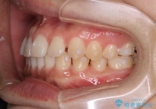
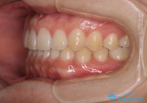
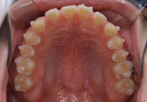
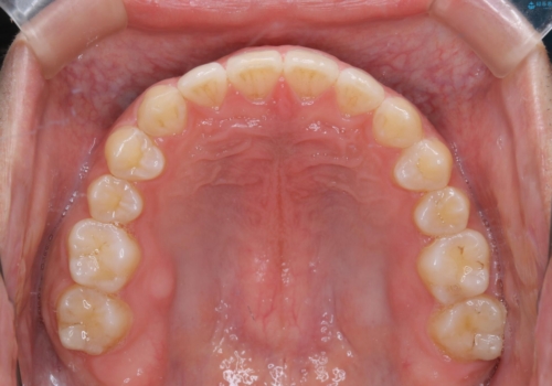
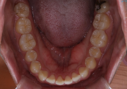
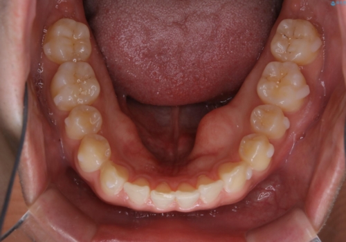
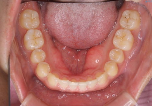
- 上のすきっ歯が気になるとご相談にいらした方です。上下顎ともにスペースがあったため、インビザラインFULLにて見た目と噛み合わせの改善も同時に行いました。
- 費用(概算)
- 75万円(税込)費用は治療当時の料金となります
治療について
元々は上前歯のみの部分矯正をご希望されていましたが、下の歯もスペースがあり、噛み合わせ的にも上のみの部分治療は難しいことをお話ししました。前歯のみの部分矯正を行った場合、前歯の隙間だけが閉じて奥歯が噛めなくなってしまう場合もあります。インビザラインFULLにて治療することで、噛み合わせと見た目を同時に改善させることができ、大変喜んでいただけました。
マウスピース矯正の注意事項(リスク・副作用など)
- 口腔内・歯並びの状態によっては対応できない場合があります
- マウスピース型矯正装置の長時間装着(1日20時間以上)が必須です
- 治療計画通りに進めるためには、患者様の意志が重要になります
- 矯正治療後の保定が不十分だと後戻り(元の位置に戻ろうとする動き)をします
- 薬機法対象外の矯正歯科装置のため医薬品副作用被害救済制度の対象外となる場合があります
- 自費診療(保険適用外)となります
当サイトの内容、テキスト、画像等の無断転載、複製、複写、盗用を固く禁じます。



















