症例詳細
Case detail
ガタつきの大きい前歯 インビザラインによるマウスピース矯正治療
治療症例の内容
- 診療科目
- 治療カテゴリ
- 担当医
- 大元洋佑(ドクタープロフィール)
- 患者様
- 30代男性
- 矯正装置
- インビザライン
- 治療期間
- 2年
- 治療計画
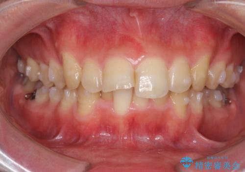
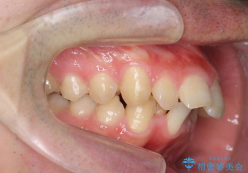
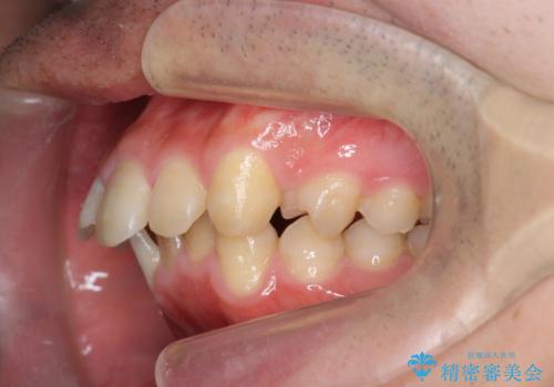
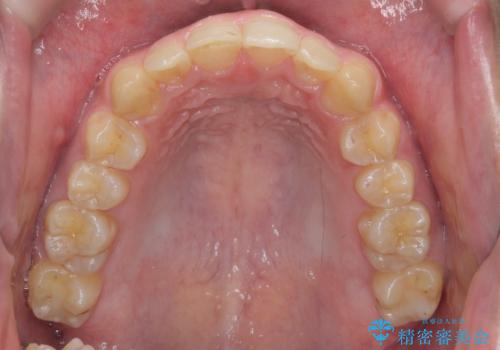
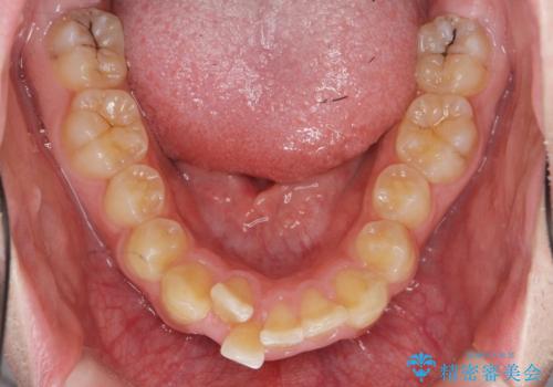
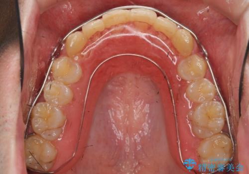
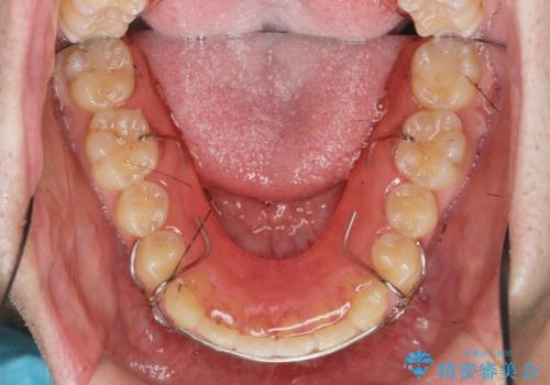
- ガタつきの目立つ前歯の改善を求めて来院されました。
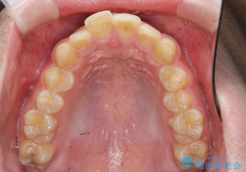
上顎前突、がたつきを改善すべく上顎臼歯の後方移動・ディスキングを行い歯並びの改善を計画します。
- 費用(概算)
- 88万円費用は治療当時の料金となります
治療について
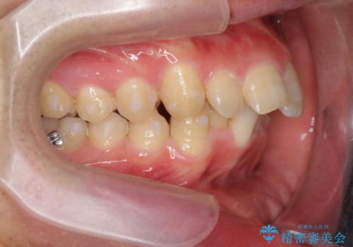
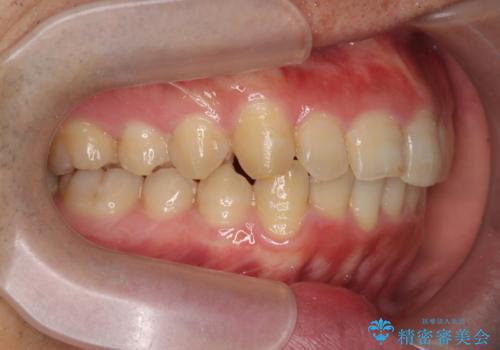
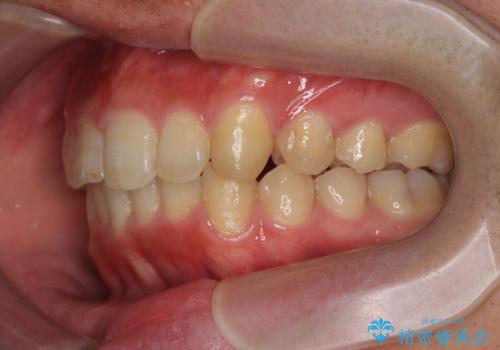
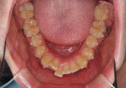
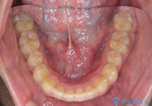
マウスピース矯正は装用時間が非常に大切です。
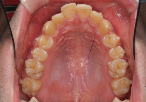
食事・歯ブラシ時以外の時間にしっかりとマウスピースを装着していただけたのでガタつきは大きく改善し良好な歯並びを得ることができました。
マウスピース矯正の注意事項(リスク・副作用など)
- 口腔内・歯並びの状態によっては対応できない場合があります
- マウスピース型矯正装置の長時間装着(1日20時間以上)が必須です
- 治療計画通りに進めるためには、患者様の意志が重要になります
- 矯正治療後の保定が不十分だと後戻り(元の位置に戻ろうとする動き)をします
- 薬機法対象外の矯正歯科装置のため医薬品副作用被害救済制度の対象外となる場合があります
- 自費診療(保険適用外)となります
当サイトの内容、テキスト、画像等の無断転載、複製、複写、盗用を固く禁じます。

















