症例詳細
Case detail
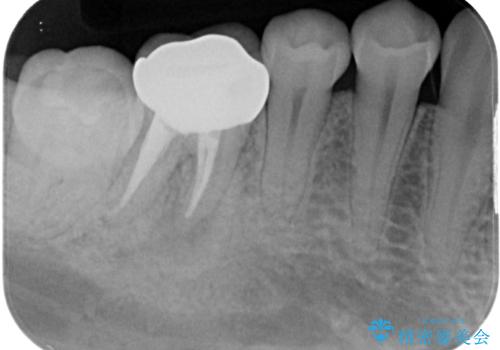
下の奥歯の虫歯をゴールドインレーで治療
治療症例の内容
- 診療科目
- 治療カテゴリ
- 担当医
- 齋藤佑磨(ドクタープロフィール)
- 患者様
- 20代女性
- 治療期間
- 1ヶ月
- 治療回数
- 2-5回
- 治療計画
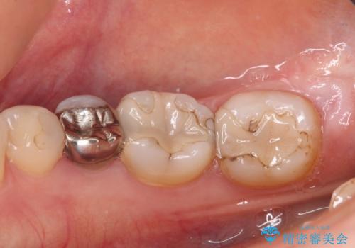
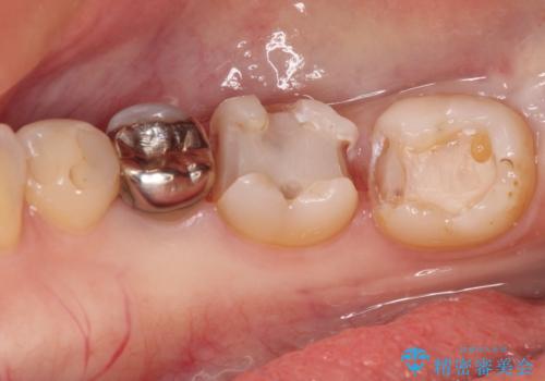
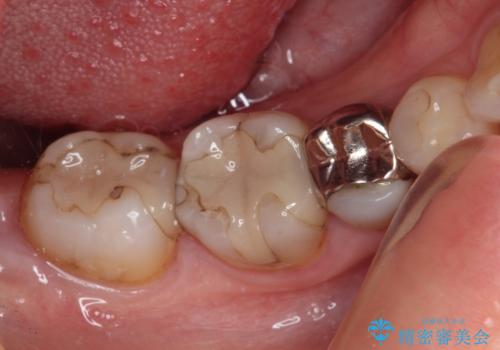
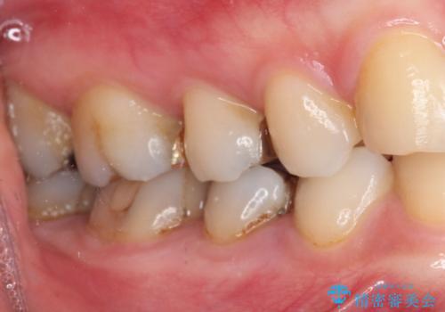
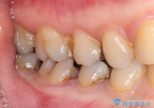
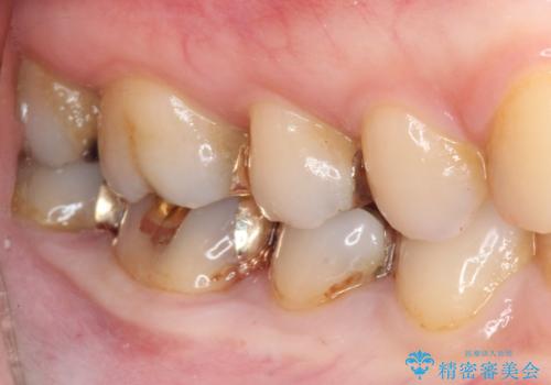
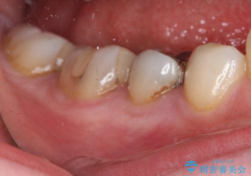
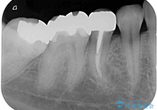
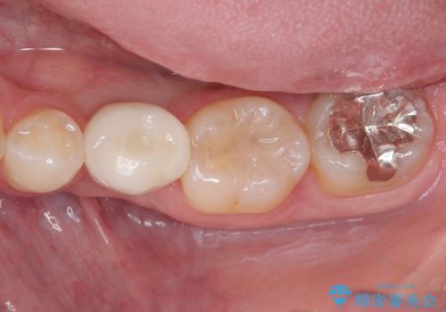
- 奥歯の虫歯を心配して来院した患者様です。
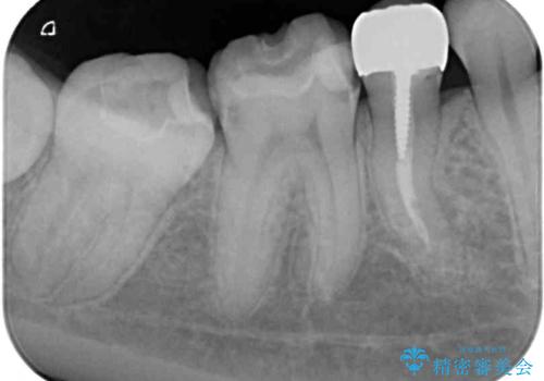
 レントゲン写真から、以前治療した詰め物の下に虫歯があることがわかりました。
 精度が高く、虫歯の再発リスクの低いゴールドインレーで治療を行うこととしました。
- 費用(概算)
- 13万円(税込)費用は治療当時の料金となります
治療について
ゴールドインレーは適合がよいため、虫歯の再発のリスクが少ない非常に優れた材料です。
ゴールドインレーはセラミックインレーと比べ、割れるリスクが低いため、咬合力が強い方にお勧めです。
PGA(ゴールド)クラウン、インレーの注意事項(リスク・副作用など)
- インレーおよびクラウンは脱離するリスクがあります
- 形成量はセラミックより少ないですが、歯の形成、修復後に歯に症状が出ることがあります
- 自費診療(保険適用外治療)となります
当サイトの内容、テキスト、画像等の無断転載、複製、複写、盗用を固く禁じます。








 
                       
                                                          













 
                   
                   
                  