症例詳細
Case detail
出っ歯を治したい 深いかみあわせ インビザラインで治療
治療症例の内容
- 担当医
- 井上季実子(ドクタープロフィール)
- 患者様
- 20代男性
- 矯正装置
- インビザライン
- 治療期間
- 2年6ヶ月
- 治療回数
- 10-30回
- 治療計画
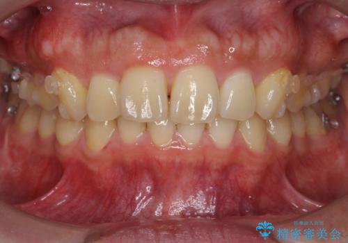
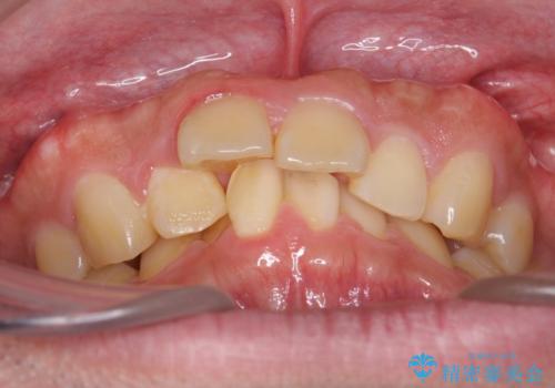
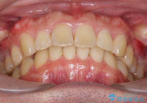
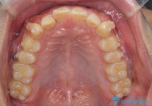
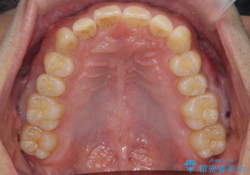
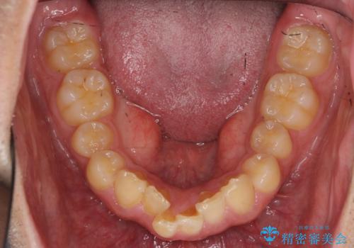
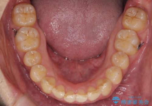
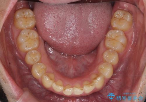
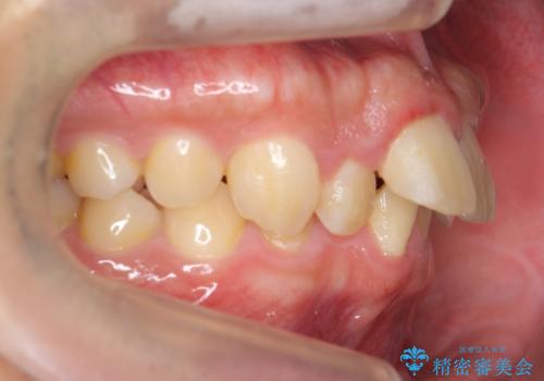
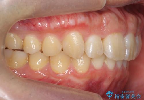
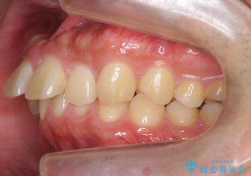
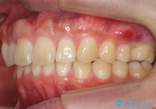
- 前歯の前突を主訴に来院。
上の歯並びが前方にずれていました。
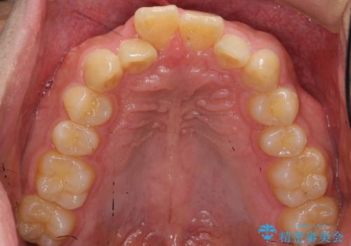
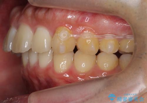
上顎は歯を抜かずに、奥歯を後ろに下げる治療を行っています。
下顎は歯列を拡大して並べました。
矯正前に下顎の骨隆起の切除をご希望により行っています。(Dr.大元執刀)
https://seimitsushinbi.jp/case/62102/
- 費用(概算)
- 104.5万円(マウスピース矯正 93.5万円、矯正用スクリュー11万円)費用は治療当時の料金となります
治療について
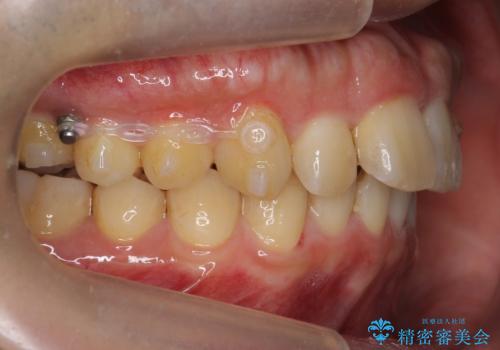
歯を抜かずに奥歯を後ろに動かすために、矯正用のミニスクリューを使用しています。
また、過蓋咬合(深いかみ合わせ)で食いしばりがきつく、歯の移動には大変時間がかかりました。
食いしばりがきついかたについては、長時間マウスピースをはめると奥歯が咬まずに前歯に負担がかかる場合があります。今回は使用時間を短くしたり、下の歯並びを早めにプレートタイプリテーナーに置き換えるような工夫を行い、治療を行いました。
マウスピース矯正の注意事項(リスク・副作用など)
- 口腔内・歯並びの状態によっては対応できない場合があります
- マウスピース型矯正装置の長時間装着(1日20時間以上)が必須です
- 治療計画通りに進めるためには、患者様の意志が重要になります
- 矯正治療後の保定が不十分だと後戻り(元の位置に戻ろうとする動き)をします
- 薬機法対象外の矯正歯科装置のため医薬品副作用被害救済制度の対象外となる場合があります
- 自費診療(保険適用外)となります
当サイトの内容、テキスト、画像等の無断転載、複製、複写、盗用を固く禁じます。























