症例詳細
Case detail
変色した前歯 根の治療とセラミックで白い歯に
治療症例の内容
- 診療科目
- 治療カテゴリ
- 担当医
- 井上季実子(ドクタープロフィール)
- 患者様
- 20代男性
- 治療期間
- 2ヶ月
- 治療回数
- 2-5回
- 治療計画
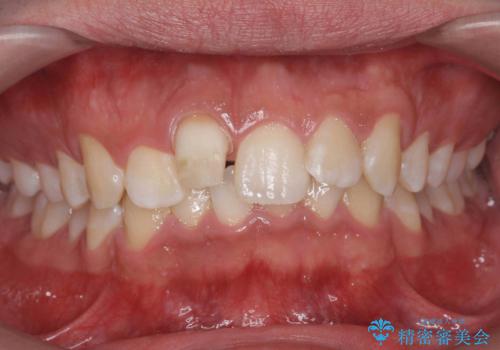
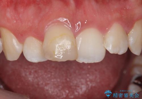
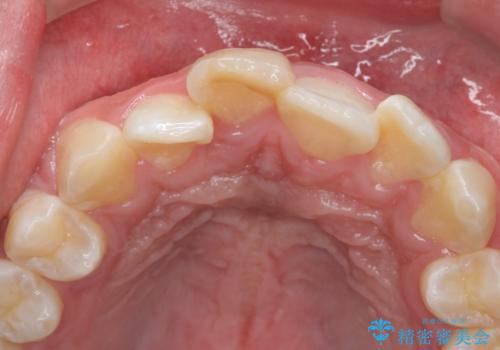
- 前歯の変色を主訴に来院。
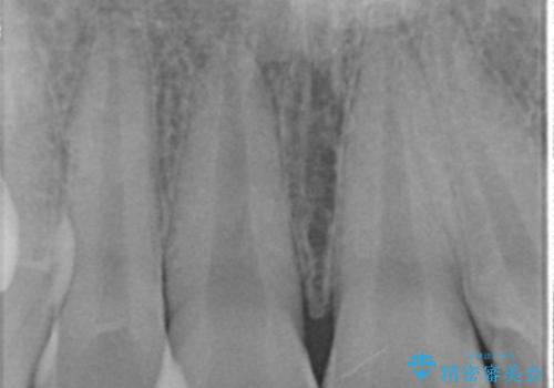
神経が死んでいたため、神経の治療を行いました。
また、全体的に歯石がついており、歯ぐきから出血しやすい状態であったため、TBI(歯磨き練習)を行い、歯茎の炎症をしっかり収めてから治療しました。
- 費用(概算)
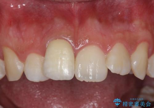
- 24.2万円 内訳:セラミッククラウン(ジルコニアクラウン、スペシャル)14.3万円、精密根管治療(前歯、イニシャル)6.6万円、仮歯1.1万円、ファイバーコア2.2万円費用は治療当時の料金となります
治療について
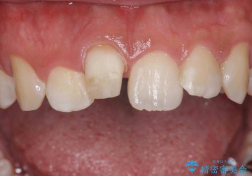
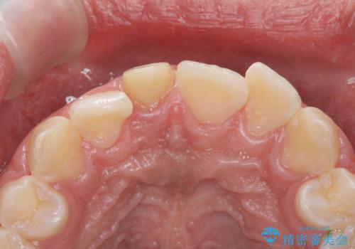
今後矯正治療をするかもしれない(未定)とのことでした。
その際、支障がでないように、患者様と相談し、他の歯を削って並びを整えるようなことはせず、前歯の角度はそれなりにそろえる形にしました。
神経が死んでしまった歯は時間がたつと変色してきてしまいます、セラミックでかぶせると色を改善することが可能です。
セラミック治療の注意事項(リスク・副作用など)
- 天然歯を削ります
- 硬い素材は天然歯を傷つけてしまう場合があります
- かみ合わせや歯ぎしりが強すぎる方はセラミックが割れてしまう可能性があります
- 自費診療(保険適用外治療)となります
根管治療の注意事項(リスク・副作用など)
- 根管治療により類似の全ての症例の問題が解決するわけではなく、症例はあくまでも一例です
- 根管治療により痛みや腫れがひかない事や、術後に痛みや腫れが生じる事、治療によるファイル破折やパーフォレーションなどの偶発症、術後の歯根破折を生じる可能性もあります
- 自費診療(保険適用外)となります
当サイトの内容、テキスト、画像等の無断転載、複製、複写、盗用を固く禁じます。











