症例詳細
Case detail
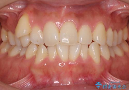
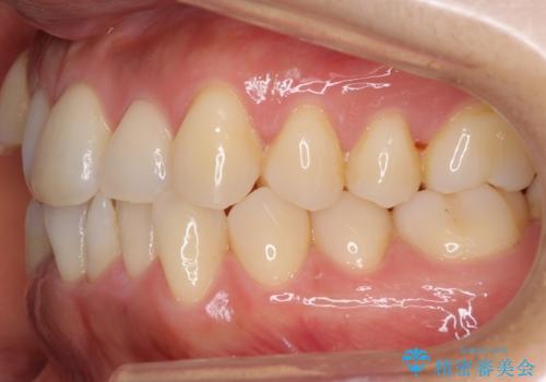
八重歯 上下の正中のずれ 40代で抜歯矯正
治療症例の内容
- 診療科目
- 治療カテゴリ
- 担当医
- 井上季実子(ドクタープロフィール)
- 患者様
- 40代女性
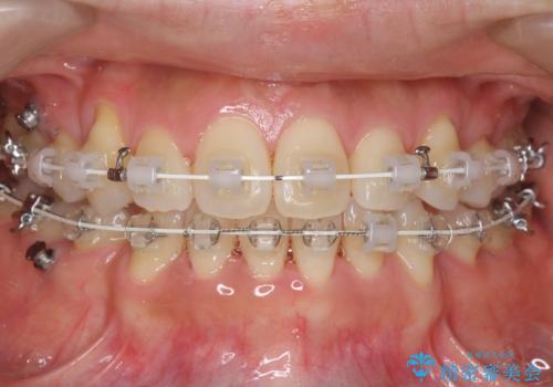
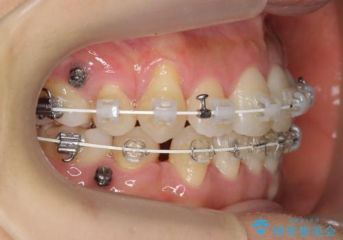
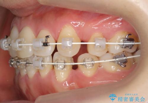
- 矯正装置
- ワイヤー矯正
- 治療期間
- 3年
- 治療回数
- 10-30回
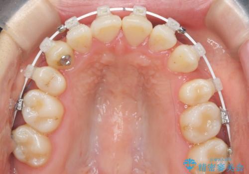
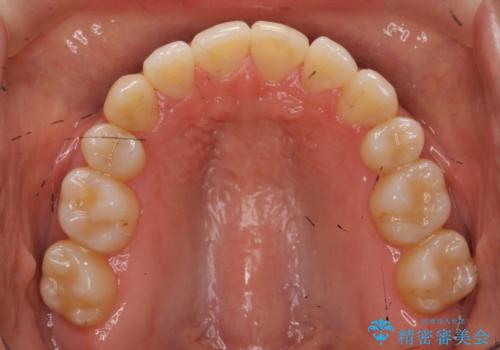
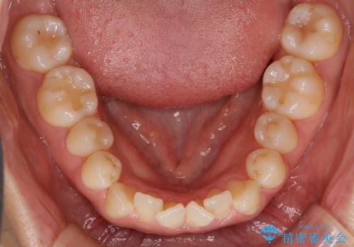
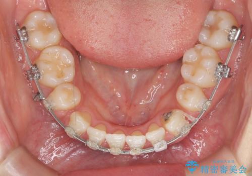
- 治療計画
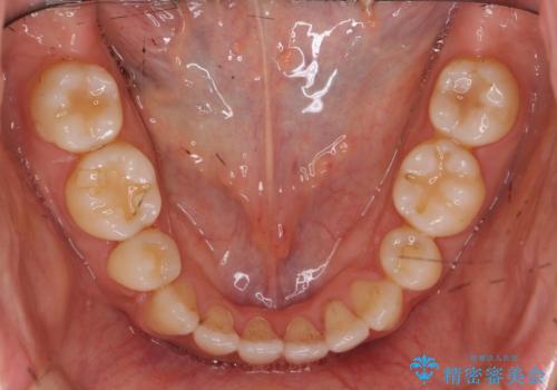
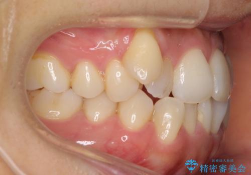
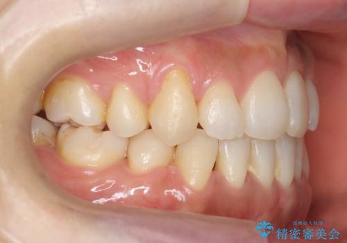
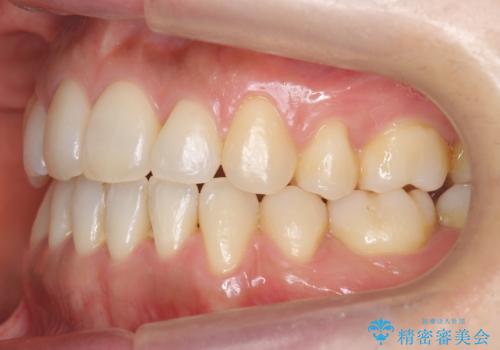
- 八重歯と上下の正中のずれを気にして来院。
上の前歯の正中が右にずれていました。
小臼歯抜歯を行い、ワイヤー矯正を行いました。
- 費用(概算)
- 110万円費用は治療当時の料金となります
治療について
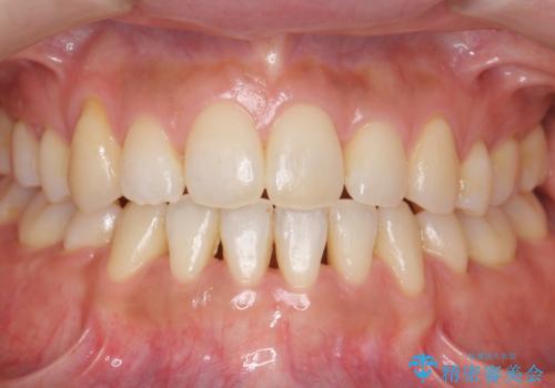
時間はかかりましたがしっかり治療することができました。
ワイヤー矯正の注意事項(リスク・副作用など)
- 治療中は違和感や痛みが起こることがあります
- 症状により、抜歯が必要な場合があります
- 治療中は歯磨きがしにくくなるため、虫歯や歯周病になりやすくなります
- 矯正治療後の保定が不十分だと後戻り(元の位置に戻ろうとする動き)をします
- 自費診療(保険適用外)となります
当サイトの内容、テキスト、画像等の無断転載、複製、複写、盗用を固く禁じます。





















