症例詳細
Case detail
カリエールディスタライザーを併用した、咬み合わせ改善のインビザライン矯正
治療症例の内容
- 診療科目
- 担当医
- 藤巻太一朗(ドクタープロフィール)
- 患者様
- 20代女性
- 矯正装置
- インビザライン
- 治療期間
- 1年6ヶ月
- 治療回数
- 10-30回
- 治療計画
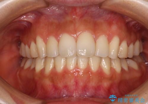
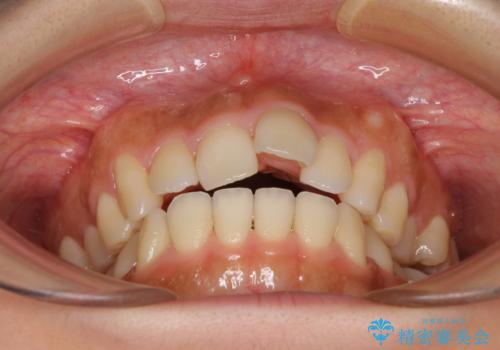
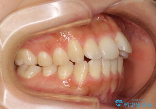
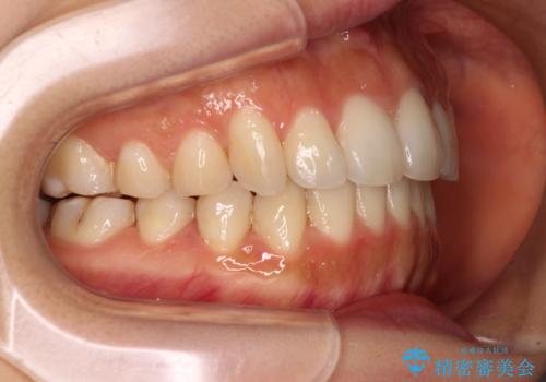
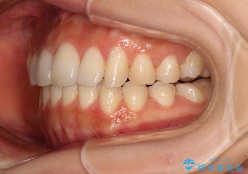
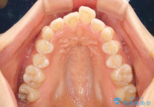
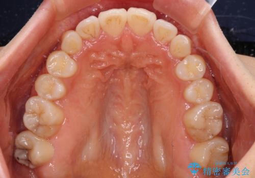
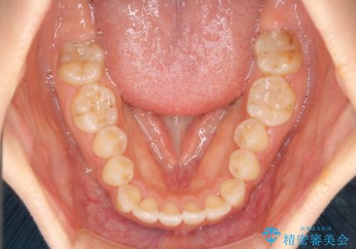
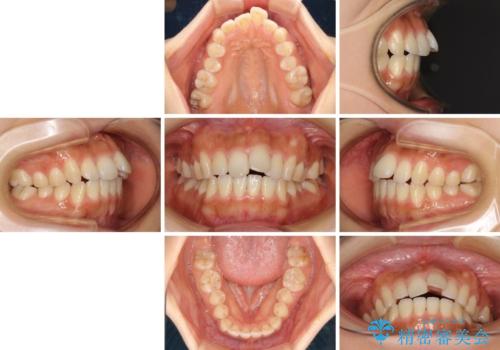
- 飛び出した前歯と口元の突出感を気にして来院された患者様です。
奥歯の咬み合わせを見ると、上顎が下顎に対して相対的に前方にありました。
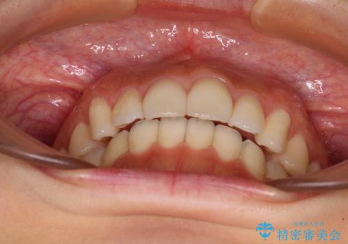
口元の突出感を改善するためには、上顎臼歯を後方に移動させた咬み合わせにする必要があります。
インビザライン単体で改善することも可能ですが、達成する可能性が高くないため、カリエールディスタライザーという補助装置を併用して、より確実性を上げることとしました。
奥歯の咬み合わせを改善しながら、並行してインビザラインで歯列を整えることとしました。
- 費用(概算)
- 治療費の目安: 95万円(税込)費用は治療当時の料金となります
治療について
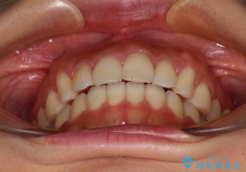
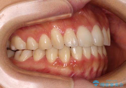
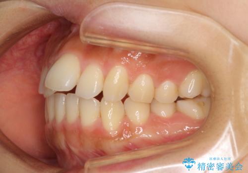
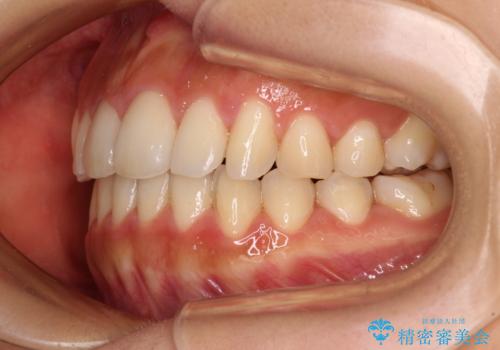
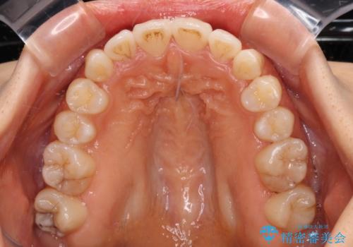
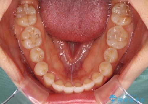
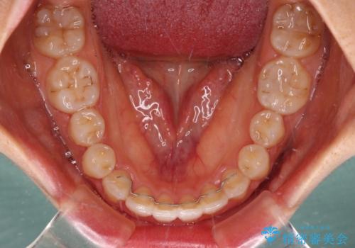
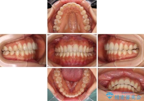
カリエールディスタライザーを併用したことで、確実かつ短期間で治療を終えることができました。
マウスピース矯正の注意事項(リスク・副作用など)
- 口腔内・歯並びの状態によっては対応できない場合があります
- マウスピース型矯正装置の長時間装着(1日20時間以上)が必須です
- 治療計画通りに進めるためには、患者様の意志が重要になります
- 矯正治療後の保定が不十分だと後戻り(元の位置に戻ろうとする動き)をします
- 薬機法対象外の矯正歯科装置のため医薬品副作用被害救済制度の対象外となる場合があります
- 自費診療(保険適用外)となります
当サイトの内容、テキスト、画像等の無断転載、複製、複写、盗用を固く禁じます。




























