症例詳細
Case detail
20代女性 全顎オールセラミック修復②
治療症例の内容
- 担当医
- 患者様
- 20代女性
- 治療期間
- 1年3ヶ月
- 治療回数
- 5-10回
- 治療計画
- 右下奥歯の歯冠長延長
→各歯の金属の土台をファイバーコアへ
→セラミックの製作
- 費用(概算)
- 約250万円費用は治療当時の料金となります
治療について
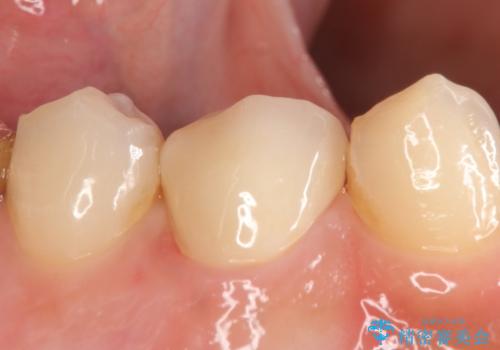
初診時の被せものを外すと、土台の歯の高さは非常に低く、なおかつ金属の土台が歯ぐきの深い位置まで達している状態でした。
歯肉弁根尖側移動(APF)と歯冠長延長術という手術によりこれを改善し、術後はしっかりと歯の高さがあり、ご自身の歯質が歯ぐきの上にでているのがわかります。
セラミック治療の注意事項(リスク・副作用など)
- 天然歯を削ります
- 硬い素材は天然歯を傷つけてしまう場合があります
- かみ合わせや歯ぎしりが強すぎる方はセラミックが割れてしまう可能性があります
- 自費診療(保険適用外治療)となります
歯周病治療の注意事項(リスク・副作用など)
- 外科手術のため、術後に痛みや腫れ、違和感を伴います
- 歯周組織再生治療は患者様の状態によって術後の経過が異なります(見た目が改善しない場合もあります)
- 歯周組織再生治療は自費診療(保険適用外)となります
当サイトの内容、テキスト、画像等の無断転載、複製、複写、盗用を固く禁じます。





















