症例詳細
Case detail
【モニター】前歯の前突感とクロスバイトをインビザラインで改善
治療症例の内容
- 診療科目
- 担当医
- 藤巻太一朗(ドクタープロフィール)
- 患者様
- 20代女性
- 矯正装置
- インビザライン
- 治療期間
- 1年5ヶ月
- 治療回数
- 10-30回
- 治療計画
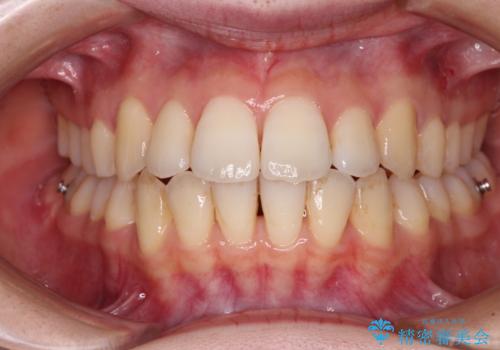
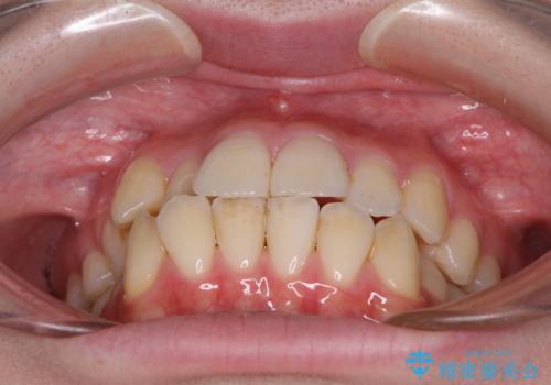
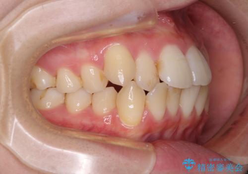
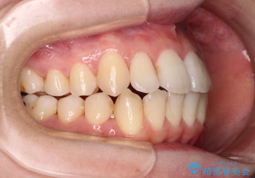
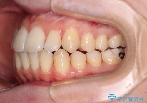
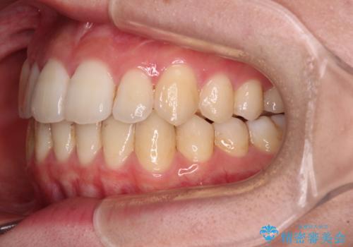
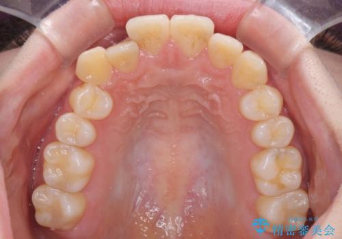
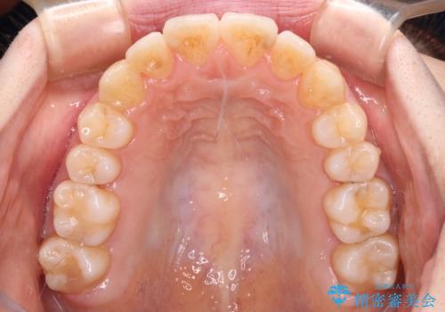
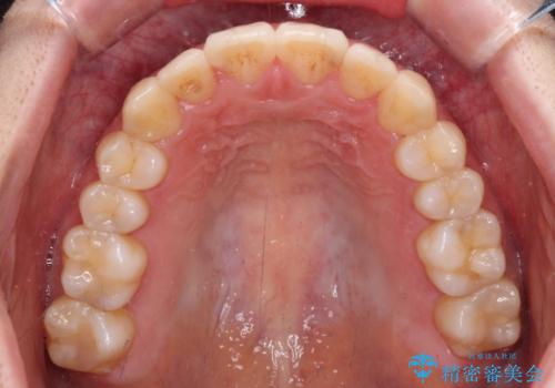
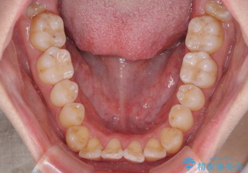
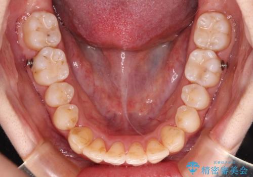
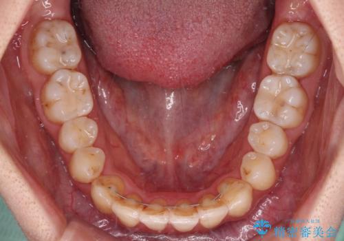
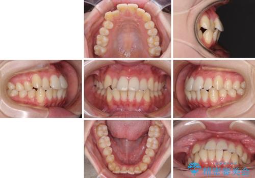
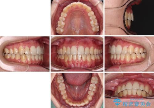
- 前歯の突出感とクロスバイトが気になり、インビザラインによる矯正治療を希望して来院された患者様です。
上顎側切歯(上の真ん中から2番目の歯)が舌側転位している場合、インビザラインでは仕上げきれないことが多く、更には無理して動かそうとすると歯髄壊死を起こすリスクが高いと言われています。
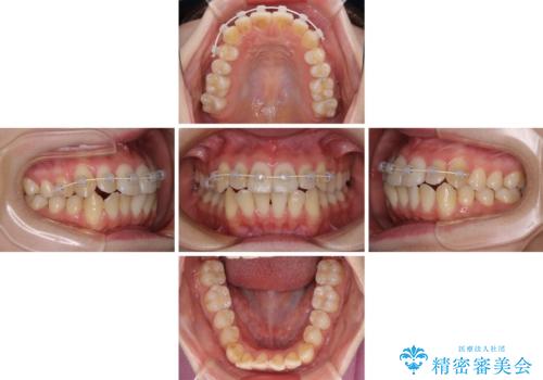
インビザラインで歯列を移動する前に、上顎前歯をワイヤー矯正で整え、その後上下歯列をインビザラインにて矯正治療を行うこととしました。
- 費用(概算)
- 治療費の目安: 80万円(税込)費用は治療当時の料金となります
※顔写真掲載にあたり、患者様の了解を得ております
治療について
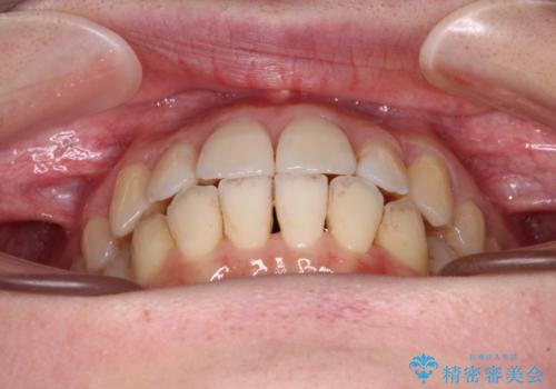
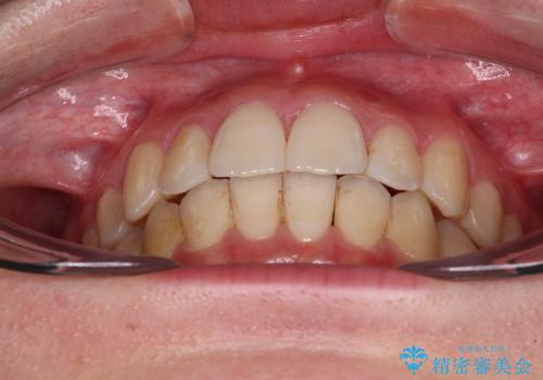
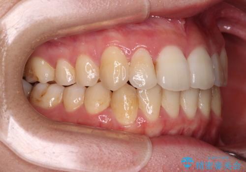
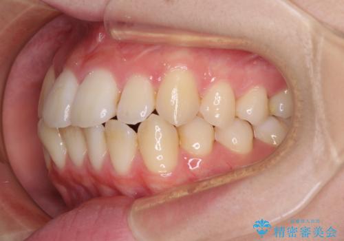
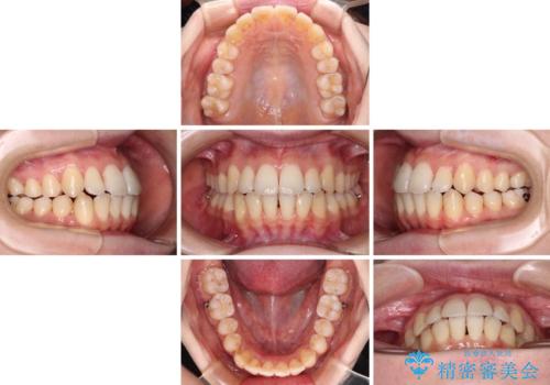
舌側転位している側切歯特有の、切縁の位置が不揃いであったり、根元が内側に引っ込んだ状態であったりという、インビザライン独特の仕上がりになることなく、きれいに整った歯列とすることができました。
マウスピース矯正の注意事項(リスク・副作用など)
- 口腔内・歯並びの状態によっては対応できない場合があります
- マウスピース型矯正装置の長時間装着(1日20時間以上)が必須です
- 治療計画通りに進めるためには、患者様の意志が重要になります
- 矯正治療後の保定が不十分だと後戻り(元の位置に戻ろうとする動き)をします
- 薬機法対象外の矯正歯科装置のため医薬品副作用被害救済制度の対象外となる場合があります
- 自費診療(保険適用外)となります
当サイトの内容、テキスト、画像等の無断転載、複製、複写、盗用を固く禁じます。




























