症例詳細
Case detail
八重歯のワイヤーによる抜歯矯正 矯正治療と並行してセラミック治療も
治療症例の内容
- 診療科目
- 担当医
- 患者様
- 20代女性
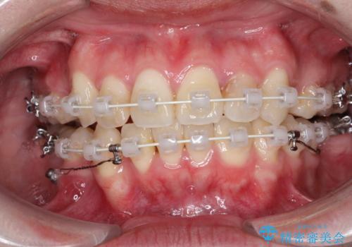
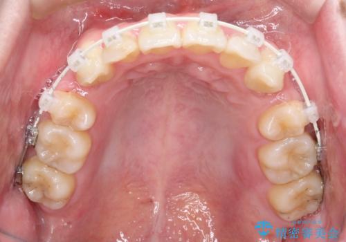
- 矯正装置
- 審美装置
- 治療期間
- 2年
- 治療回数
- 10-30回
- 治療計画
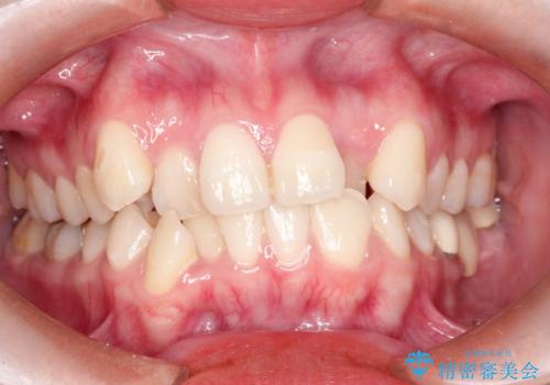
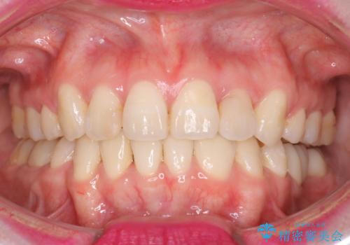
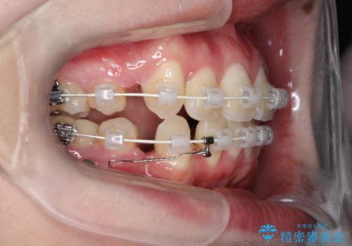
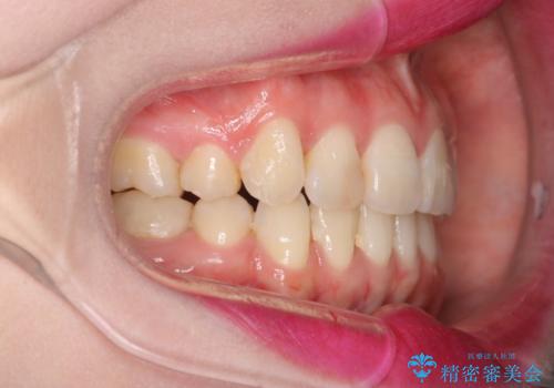
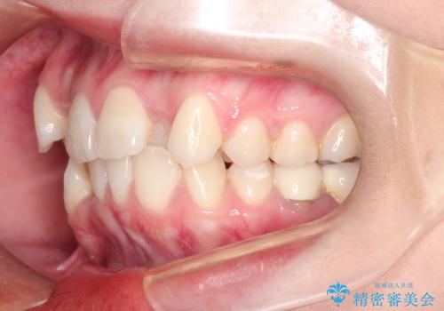
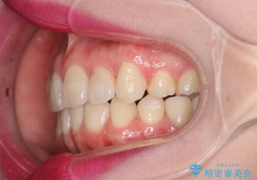
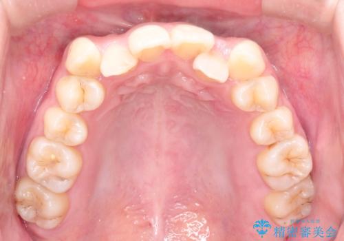
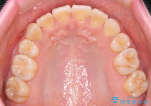
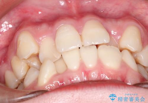
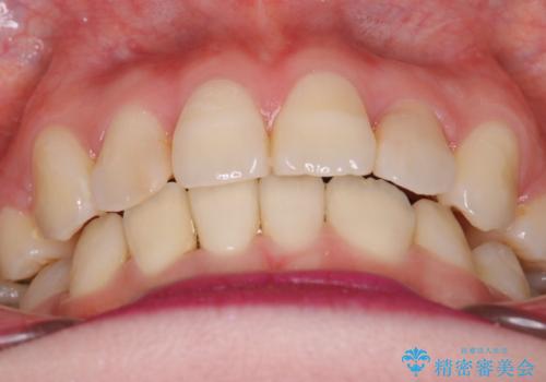
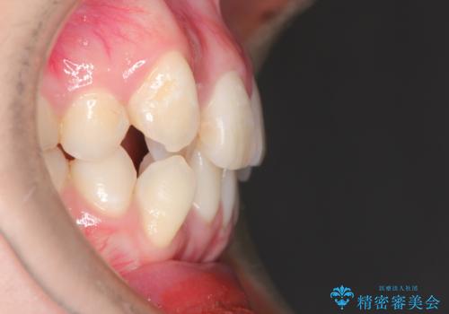
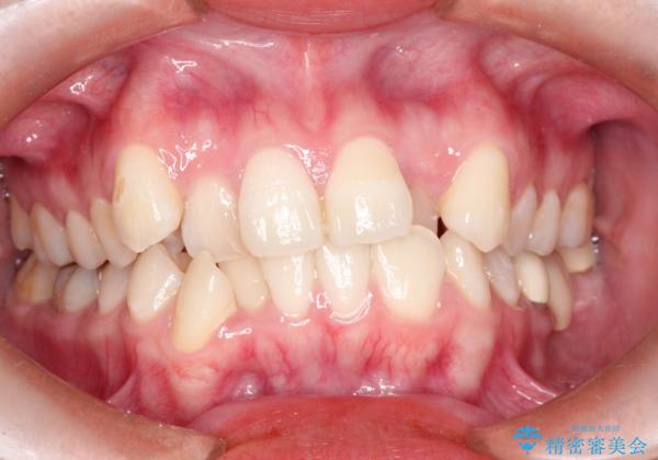
- 八重歯と前歯のガタガタを主訴に来院されました。
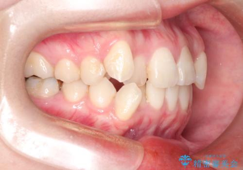
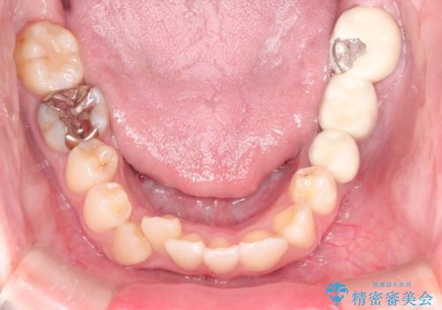
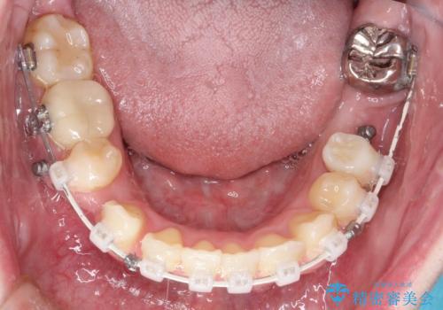
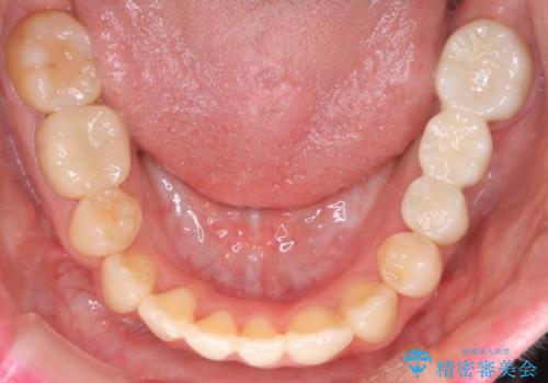
左下の奥歯がすでに1本抜歯されており、ブリッジを装着されていました。
ブリッジを除去して、左下以外の上顎両側と右下の歯を合計3本抜歯して矯正する計画としました。
- 費用(概算)
- 約125万円費用は治療当時の料金となります
治療について
ブリッジを装着している歯は動かすことができないので、矯正前に除去する必要があることがあります。
今回の場合も、ブリッジを除去して矯正後にセラミックブリッジを装着しました。
ワイヤー矯正の注意事項(リスク・副作用など)
- 治療中は違和感や痛みが起こることがあります
- 症状により、抜歯が必要な場合があります
- 治療中は歯磨きがしにくくなるため、虫歯や歯周病になりやすくなります
- 矯正治療後の保定が不十分だと後戻り(元の位置に戻ろうとする動き)をします
- 自費診療(保険適用外)となります
当サイトの内容、テキスト、画像等の無断転載、複製、複写、盗用を固く禁じます。



















