症例詳細
Case detail
他院で治療しているが痛みが治らない 根管治療とセラミック補綴治療
治療症例の内容
- 患者様
- 60代男性
- 治療期間
- 2ヶ月
- 治療回数
- 2-5回
- 治療計画
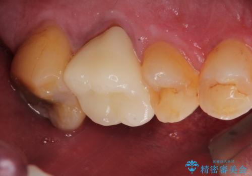
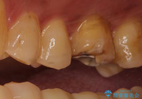
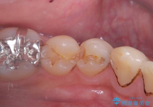
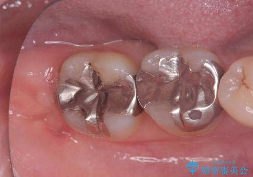
- 1つ目の医院にて虫歯の治療を行い詰め物を入れたがその後、痛みを感じるようになった。2つ目の医院を受診したところ根の先に膿があるため、根の治療が必要と言われた。そこで根の治療を2回程度受けたが、毎回15分くらいで治療が終わり、痛みもとれず不安を感じたため当院に来院された患者様です。
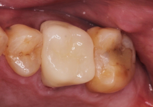
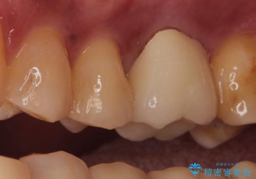
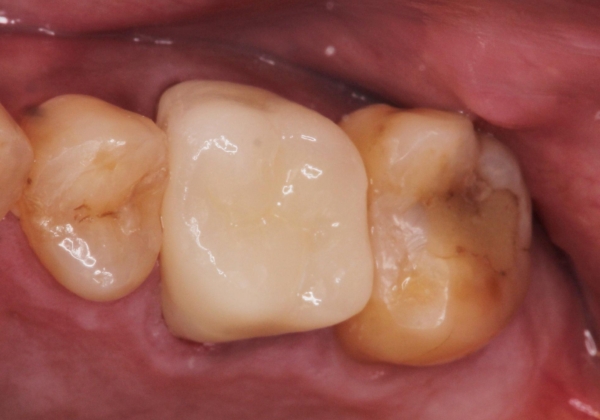
根管治療を行ったのち、症状改善を認めオールセラミッククラウンにて修復治療を行いました。
- 費用(概算)
- 11万円 ※別途根管治療の費用はホームページを参照してください。費用は治療当時の料金となります
治療について
根管治療にはラバーダムシートをつけて行うことが大切です。マイクロスコープを使用し治療を行いました。治療後、歯の痛みは消失し、とても満足していただきました。
根管治療を行った歯は、再発防止や残された歯質を守るため、クラウンによる補綴治療が必要となります。
根管治療の注意事項(リスク・副作用など)
- 根管治療により類似の全ての症例の問題が解決するわけではなく、症例はあくまでも一例です
- 根管治療により痛みや腫れがひかない事や、術後に痛みや腫れが生じる事、治療によるファイル破折やパーフォレーションなどの偶発症、術後の歯根破折を生じる可能性もあります
- 自費診療(保険適用外)となります
セラミック治療の注意事項(リスク・副作用など)
- 天然歯を削ります
- 硬い素材は天然歯を傷つけてしまう場合があります
- かみ合わせや歯ぎしりが強すぎる方はセラミックが割れてしまう可能性があります
- 自費診療(保険適用外治療)となります
当サイトの内容、テキスト、画像等の無断転載、複製、複写、盗用を固く禁じます。












