症例詳細
Case detail
インビザラインで奥歯の咬み合わせと前歯のデコボコを改善
治療症例の内容
- 診療科目
- 担当医
- 藤巻太一朗(ドクタープロフィール)
- 患者様
- 30代男性
- 矯正装置
- インビザライン
- 治療期間
- 1年4ヶ月
- 治療回数
- 10-30回
- 治療計画
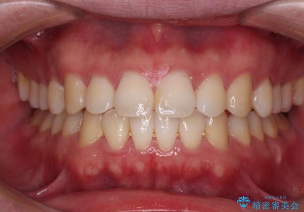
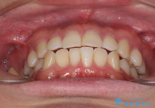
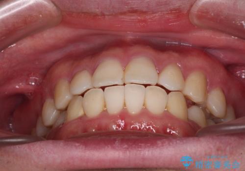
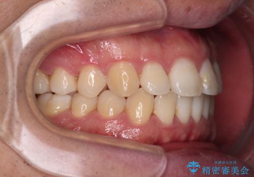
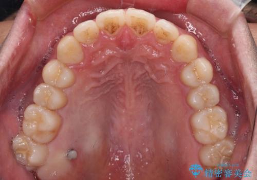
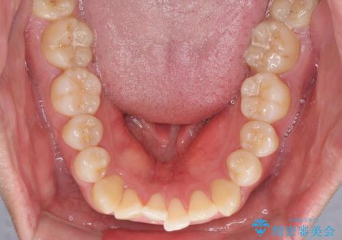
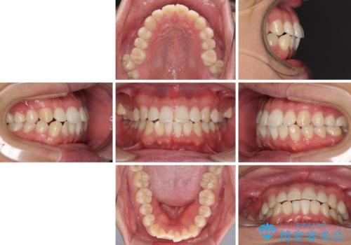
- 前歯のデコボコと奥歯の咬み合わせを気にして来院された患者様です。
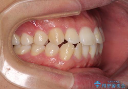
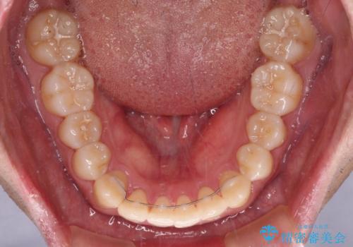
 前歯のデコボコはインビザラインで十分に対応可能と判断できましたが、咬合力が強いため、臼歯(特に右側)の交叉咬合はインビザライン単体では困難と思われました。
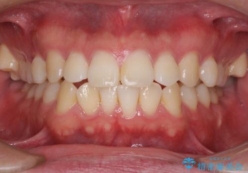
 まずはインビザライン単体で矯正治療を開始し、交叉咬合が改善されない場合にはアンカースクリューなどの使用を検討することとしました。
 
- 費用(概算)
- 治療費の目安: 85万円(税込)費用は治療当時の料金となります
治療について
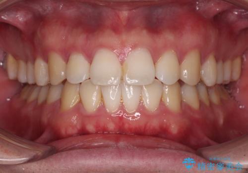
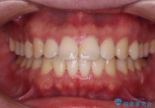
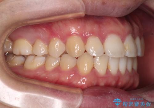
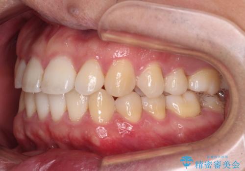
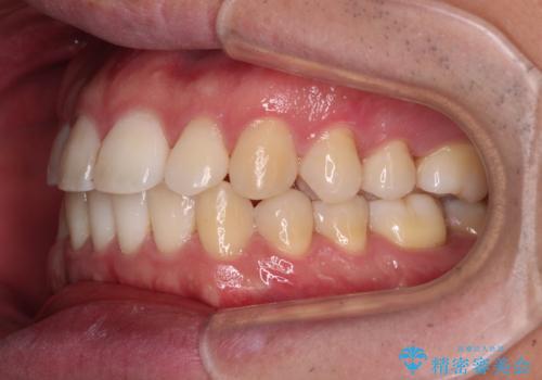
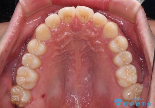
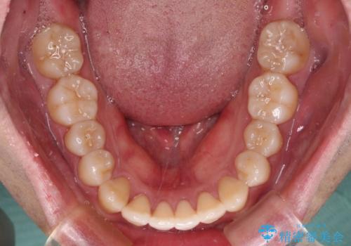
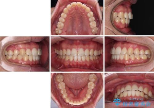
インビザライン単体では右側の交叉咬合を解消することができなかったため、アンカースクリューを併用して咬合を改善させました。
マウスピース矯正の注意事項(リスク・副作用など)
- 口腔内・歯並びの状態によっては対応できない場合があります
- マウスピース型矯正装置の長時間装着(1日20時間以上)が必須です
- 治療計画通りに進めるためには、患者様の意志が重要になります
- 矯正治療後の保定が不十分だと後戻り(元の位置に戻ろうとする動き)をします
- 薬機法対象外の矯正歯科装置のため医薬品副作用被害救済制度の対象外となる場合があります
- 自費診療(保険適用外)となります
当サイトの内容、テキスト、画像等の無断転載、複製、複写、盗用を固く禁じます。








 
                       
                                                          

























 
                   
                   
                  