症例詳細
Case detail
治療の前にオフィスホワイトニング
治療症例の内容
- 診療科目
- 治療カテゴリ
- 患者様
- 20代男性
- 治療期間
- 1日
- 治療回数
- 1回
- 治療計画
- 右上前歯2本を被せ物にする予定があるため、被せ物の治療前にホワイトニングをご希望されました。
- 費用(概算)
- 33000円(税込み)費用は治療当時の料金となります
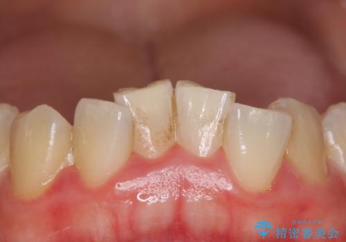
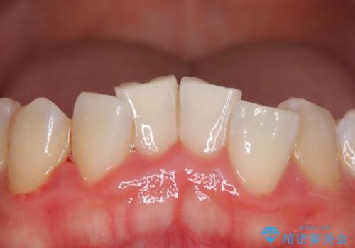
治療について
下の前歯に着色(ステイン)が見られたため、処置前クリーニングを行い、着色を除去しました。ホワイトニング後は全体的に白くなりました。ご希望の被せ物の色味になるまでは再度オフィスホワイトニングまたは、ホームホワイトニングの併用をおすすめしました。
歯科衛生士 松尾
ホワイトニングの注意事項(リスク・副作用など)
- 知覚過敏が出ることがあります
- ホワイトバンドや白い斑点が出ることがあります
- クラウンやインレー等の補綴物には効果がありません
- ホワイトニングによる効果や持続期間には個人差があります
- 歯牙の状態によっては適応できないことがあります
- 保険適用外となります
当サイトの内容、テキスト、画像等の無断転載、複製、複写、盗用を固く禁じます。




