症例詳細
Case detail
短期間ですきっ歯を改善:インビザラインLite
治療症例の内容
- 診療科目
- 担当医
- 患者様
- 20代女性
- 矯正装置
- インビザラインLITE
- 治療期間
- 6ヶ月
- 治療回数
- 2-5回
- 治療計画
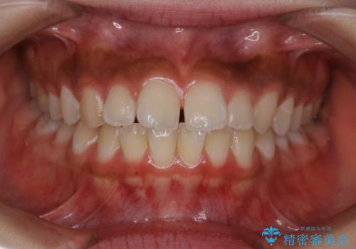
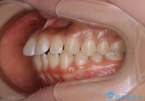
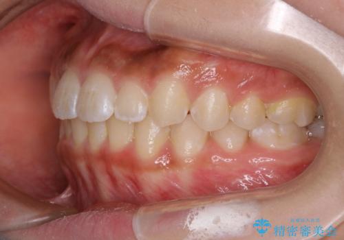
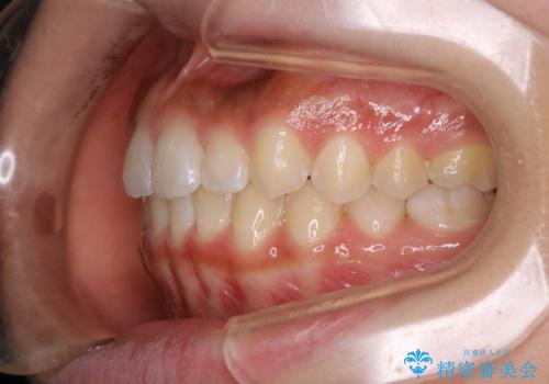
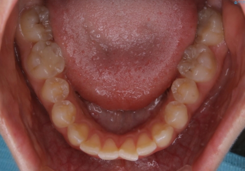
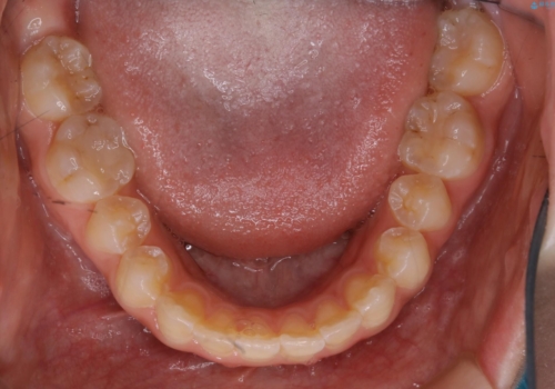
- 上の歯がすきっ歯なのと、歯が出ている気がするとご相談にいらした方です。
奥歯の噛み合わせに大きな問題がなく、患者様のご希望もあったため、前歯部メインで治療するインビザラインLiteで治療を行いました。
日常的に舌を突出する癖があったため、後戻り防止のために舌および口唇の筋機能訓練も合わせて行いました。
- 費用(概算)
- 55万円(税込み:筋機能訓練を含む)費用は治療当時の料金となります
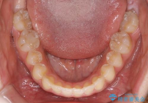
治療について
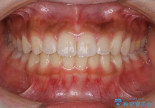
横顔のシルエットが改善し、口元もスッキリとなりました。
舌癖がある方は、歯を内側から押し出す力が日常的に働くため、矯正治療後も歯と歯の隙間が開いてしまうなどの後戻りのリスクが高いことが知られています。舌の正しいポジショニングやお口周りの筋肉のトレーニングを行うことで後戻りのリスクを減らすことが可能です。
マウスピース矯正の注意事項(リスク・副作用など)
- 口腔内・歯並びの状態によっては対応できない場合があります
- マウスピース型矯正装置の長時間装着(1日20時間以上)が必須です
- 治療計画通りに進めるためには、患者様の意志が重要になります
- 矯正治療後の保定が不十分だと後戻り(元の位置に戻ろうとする動き)をします
- 薬機法対象外の矯正歯科装置のため医薬品副作用被害救済制度の対象外となる場合があります
- 自費診療(保険適用外)となります
当サイトの内容、テキスト、画像等の無断転載、複製、複写、盗用を固く禁じます。



















