症例詳細
Case detail
[ 精度の改善 ] 適合の良いセラミックインレー
治療症例の内容
- 診療科目
- 治療カテゴリ
- 担当医
- 大元洋佑(ドクタープロフィール)
- 患者様
- 20代女性
- 治療期間
- 1ヶ月
- 治療回数
- 2-5回
- 治療計画
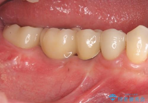
- 他院で虫歯治療・セラミック治療を受けたものの食べ物が詰まりやすく舌触りも悪いということで改善を求めて来院されました。
視診・X線写真検査により歯とセラミック修復物がピッタリと合っておらず(適合・精度が悪い)食べ物や細菌の滞留を引き起こしやすい状態です。
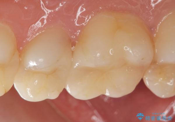
現在装着されているインレーを除去したのち、精度の高いセラミックインレーを製作します。
- 費用(概算)
- 15.4万円(セラミックインレー×2)費用は治療当時の料金となります
治療について
修復物の精度が悪いと食べ物の詰まりを誘発するだけでなく将来的な虫歯の再発リスクも非常に高くなるので、ただ白いだけではなく適合の良い修復物による虫歯治療が非常に大切です。
セラミック治療の注意事項(リスク・副作用など)
- 天然歯を削ります
- 硬い素材は天然歯を傷つけてしまう場合があります
- かみ合わせや歯ぎしりが強すぎる方はセラミックが割れてしまう可能性があります
- 自費診療(保険適用外治療)となります
当サイトの内容、テキスト、画像等の無断転載、複製、複写、盗用を固く禁じます。

![[ 精度の改善 ] 適合の良いセラミックインレーの治療前](https://seimitsushinbi.jp/wp/wp-content/uploads/2022/04/6804b48655e96f0d5e1347751146b139-500x350.jpg?v=1650249321)
![[ 精度の改善 ] 適合の良いセラミックインレーの治療後](https://seimitsushinbi.jp/wp/wp-content/uploads/2022/04/7195b189557771f9e152f3254fe17e33-500x350.jpg?v=1650249325)
![[ 精度の改善 ] 適合の良いセラミックインレーの治療前](https://seimitsushinbi.jp/wp/wp-content/uploads/2022/04/c66a96082c3423ccf731e5104cc25988-500x350.jpg?v=1650249323)
![[ 精度の改善 ] 適合の良いセラミックインレーの治療後](https://seimitsushinbi.jp/wp/wp-content/uploads/2022/04/1c30563092db443e0b3d80d63195cbd5-500x350.jpg?v=1650249328)
![[ 精度の改善 ] 適合の良いセラミックインレーの治療前](https://seimitsushinbi.jp/wp/wp-content/uploads/2022/04/CI13-500x350.jpg?v=1650251301)
![[ 精度の改善 ] 適合の良いセラミックインレーの治療後](https://seimitsushinbi.jp/wp/wp-content/uploads/2022/04/CI15-500x350.jpg?v=1650251302)