症例詳細
Case detail
PMTCで清潔感のある明るい口元に
治療症例の内容
- 診療科目
- 治療カテゴリ
- 患者様
- 20代男性
- 治療期間
- 1日
- 治療回数
- 1回
- 治療計画
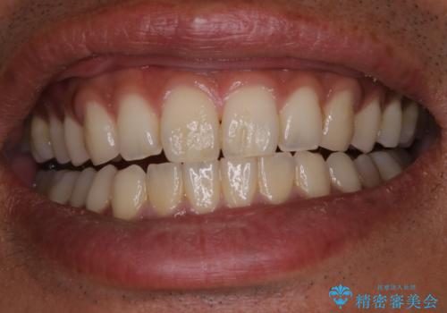
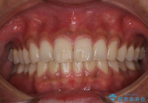
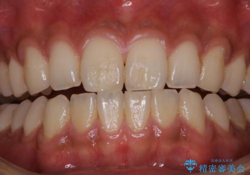
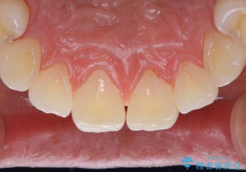
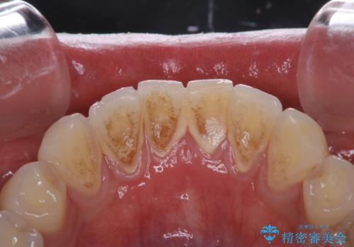
- 歯の色が気になるため、どの処置が適しているか相談してから施術をして欲しいとのことで来院されました。
全体的に汚れが付着していたため、まずはPMTCでご自身の本来の歯の状態にしてから、ホワイトニングにいついて考えましょうとなりました。
- 費用(概算)
- ¥11000費用は治療当時の料金となります
治療について
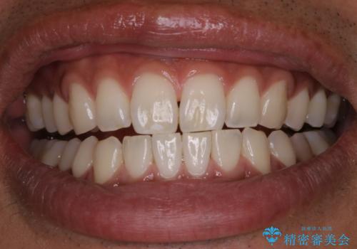
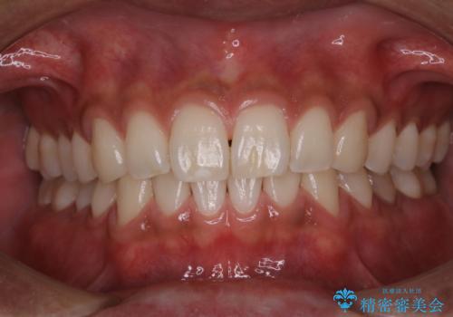
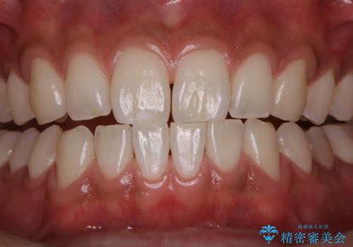
PMTCでは専門的な機械や材料を使用して、徹底的に汚れを除去するため、虫歯・歯周病・口臭予防などにつながります。
PMTCを行うことで、ご自身本来の歯の色になり自然な明るさになります。
口元が自然な明るさになることで、より清潔感のある印象になるため結婚式・行事やイベント前などにもPMTCを行うはおすすめです。
また、ホワイトニングを考えている場合も、まずはPMTCで汚れの除去を行って判断することをおすすめします。
担当
表参道しらゆり歯科 DH西澤
PMTCの注意事項(リスク・副作用など)
- 歯を白くする目的の施術ではありません
- 保険適用外となります
当サイトの内容、テキスト、画像等の無断転載、複製、複写、盗用を固く禁じます。










