症例詳細
Case detail
空気が漏れて喋りづらい:適合の良いセラミックで歯をつくる
治療症例の内容
- 診療科目
- 治療カテゴリ
- 担当医
- 患者様
- 70代男性
- 治療期間
- 6ヶ月
- 治療回数
- 2-5回
- 治療計画
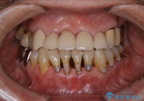
- 歯の間から空気が漏れて喋りづらく、滑舌が気になるとご相談にいらした方です。
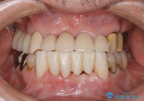
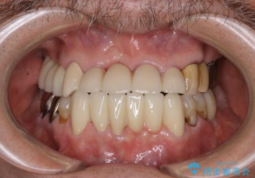
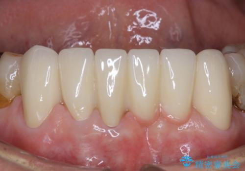
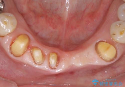
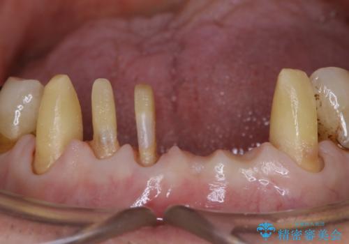
歯根部で水平的に破折していた歯を抜歯し、適合のよいブリッジにすることで見た目の向上及び話しづらさの改善を図りました。
- 費用(概算)
- 73万円(税込み)費用は治療当時の料金となります
治療について
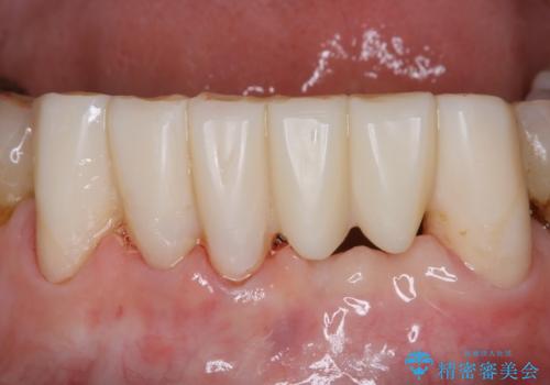
適合のよいセラミックで歯と歯の間の隙間を埋め、空気が漏れなくなったことで話しやすさが改善したと大変喜んでいただけました。
適合不良の補綴物は二次的な虫歯発生のリスクが高まります。
自費診療で用いられる材料は保険適応の材料に比べて、より精密で適合の良い被せ物作ることができるため、長期的な虫歯のリスクを大幅に減らすことが可能です。
セラミック治療の注意事項(リスク・副作用など)
- 天然歯を削ります
- 硬い素材は天然歯を傷つけてしまう場合があります
- かみ合わせや歯ぎしりが強すぎる方はセラミックが割れてしまう可能性があります
- 自費診療(保険適用外治療)となります
当サイトの内容、テキスト、画像等の無断転載、複製、複写、盗用を固く禁じます。












