症例詳細
Case detail
八重歯を抜歯せずに矯正 インビザラインで
治療症例の内容
- 診療科目
- 担当医
- 患者様
- 30代女性
- 矯正装置
- インビザライン
- 治療期間
- 1年6ヶ月
- 治療回数
- 10-30回
- 治療計画
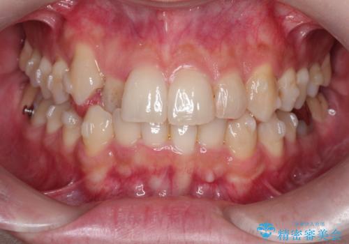
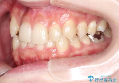
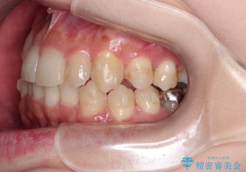
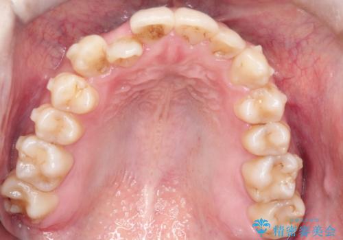
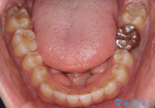
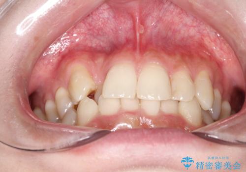
- 八重歯を治したいとのことで来院されました。
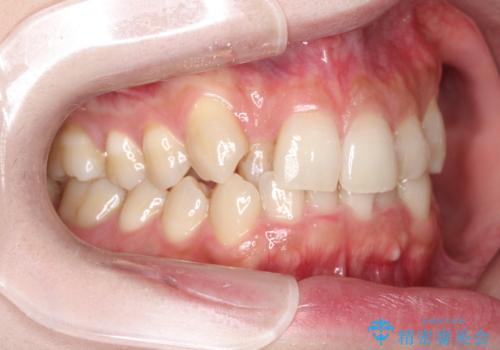
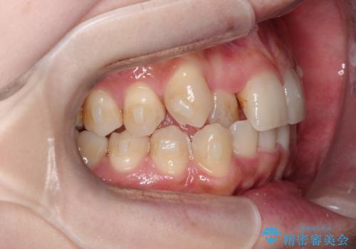
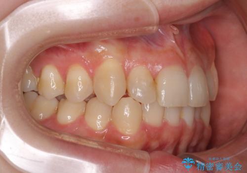
右上の犬歯が外側に飛び出して、二番目の歯が内側に入っている状態でした。
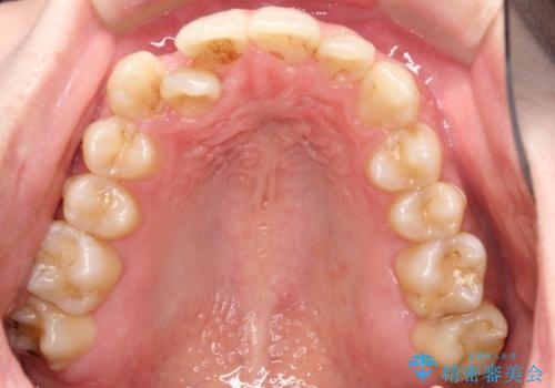
上の奥歯を後方に移動させてスペースを確保して、前歯のガタガタを改善する計画としました。
- 費用(概算)
- 約88万円費用は治療当時の料金となります
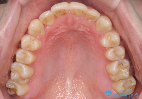
治療について
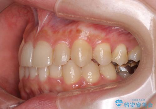
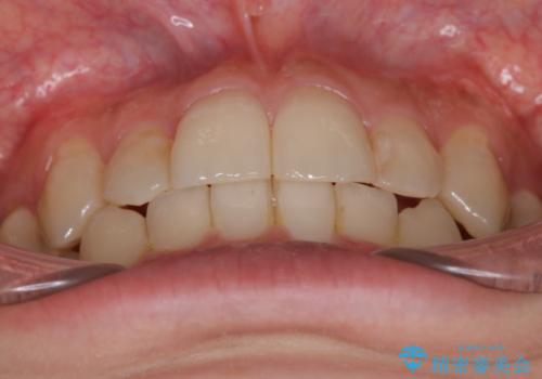
奥歯を後方に移動することで、歯を抜かずに矯正を終えることができました。
マウスピース矯正の注意事項(リスク・副作用など)
- 口腔内・歯並びの状態によっては対応できない場合があります
- マウスピース型矯正装置の長時間装着(1日20時間以上)が必須です
- 治療計画通りに進めるためには、患者様の意志が重要になります
- 矯正治療後の保定が不十分だと後戻り(元の位置に戻ろうとする動き)をします
- 薬機法対象外の矯正歯科装置のため医薬品副作用被害救済制度の対象外となる場合があります
- 自費診療(保険適用外)となります
当サイトの内容、テキスト、画像等の無断転載、複製、複写、盗用を固く禁じます。

















