症例詳細
Case detail
前歯のすれ違い インビザラインで行うマウスピース矯正
治療症例の内容
- 診療科目
- 担当医
- 大元洋佑(ドクタープロフィール)
- 患者様
- 20代女性
- 治療期間
- 1年
- 治療回数
- 10-30回
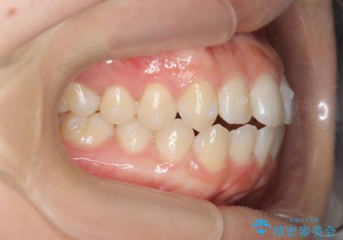
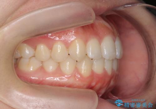
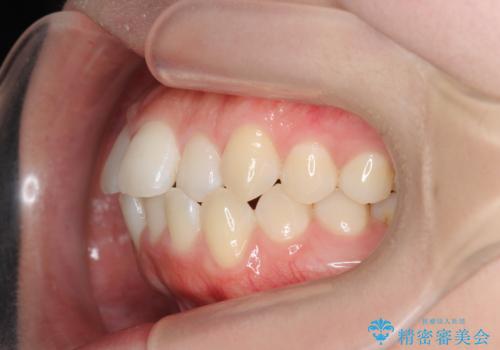
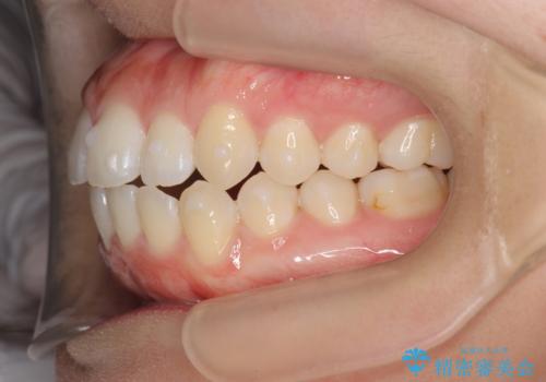
- 治療計画
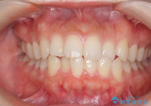
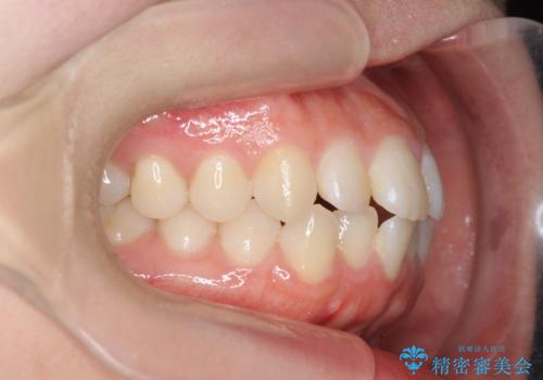
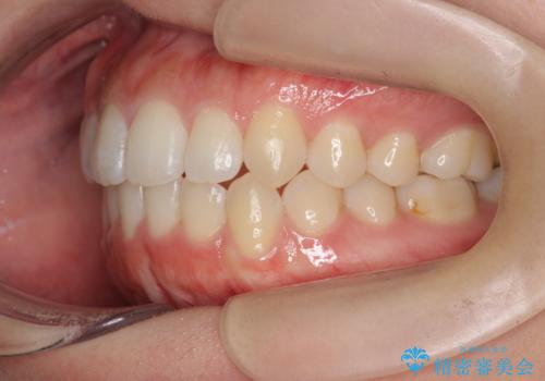
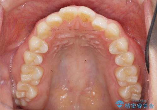
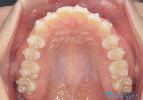
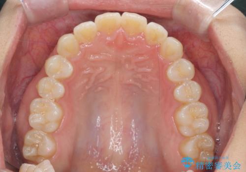
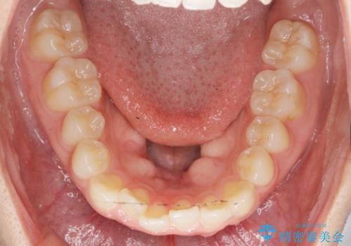
- 前歯のガタつき、でこぼこ、前後が逆になっている噛み合わせの改善を求めて来院されました。
 治療の装置が目立たず歯ブラシのしやすいマウスピース矯正インビザラインでの治療を計画します。
- 費用(概算)
- 82.5万円費用は治療当時の料金となります
治療について
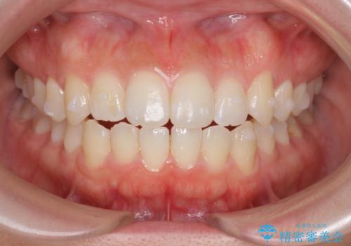
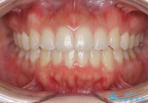
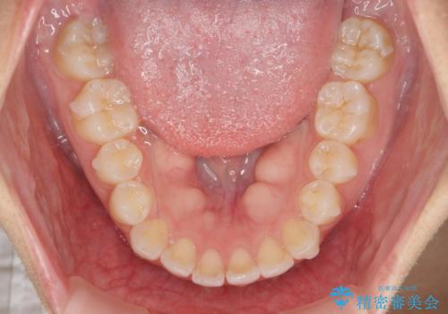
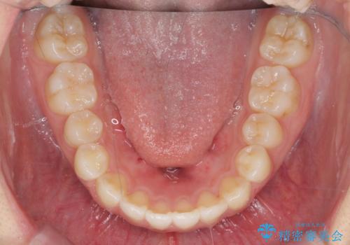
20時間/日の装用時間をしっかりと守っていただき、きれいな歯並びを手に入れることができました。
マウスピース矯正の注意事項(リスク・副作用など)
- 口腔内・歯並びの状態によっては対応できない場合があります
- マウスピース型矯正装置の長時間装着(1日20時間以上)が必須です
- 治療計画通りに進めるためには、患者様の意志が重要になります
- 矯正治療後の保定が不十分だと後戻り(元の位置に戻ろうとする動き)をします
- 薬機法対象外の矯正歯科装置のため医薬品副作用被害救済制度の対象外となる場合があります
- 自費診療(保険適用外)となります
当サイトの内容、テキスト、画像等の無断転載、複製、複写、盗用を固く禁じます。








 
                       
                                                          














 
                  ![[マウスピース矯正]  がたがたの歯並びをきれいにしたい](https://seimitsushinbi.jp/wp/wp-content/uploads/2025/06/collage-1-500x350.jpg?v=1750324627) 
                  ![[ 抜歯をしないマウスピース矯正 ] 前歯の角度を改善したい。](https://seimitsushinbi.jp/wp/wp-content/uploads/2025/06/bb70820b7986888f89d3843058d08338-500x350.png?v=1750657893) 
                  ![[ インビザライン矯正 ]  マウスピース矯正で治す、前歯のガタつき](https://seimitsushinbi.jp/wp/wp-content/uploads/2022/02/bfa08a1d2fee7301b2383ca3f8990016-500x350.png?v=1644473955)