症例詳細
Case detail
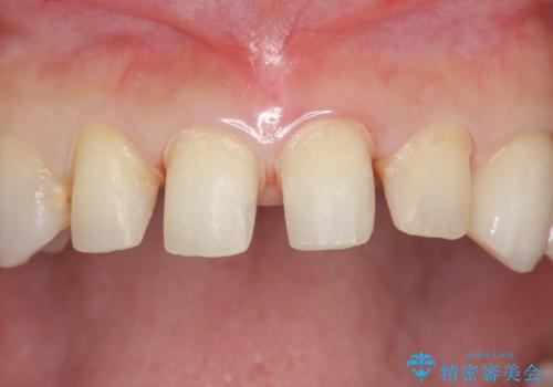
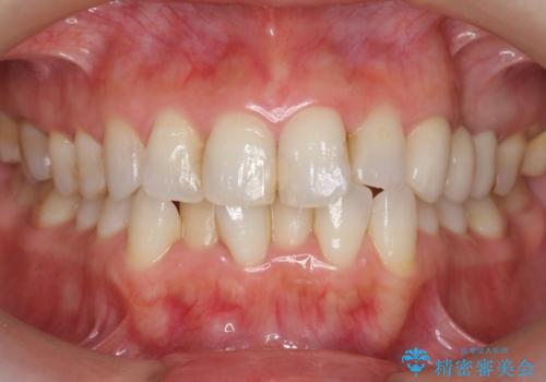
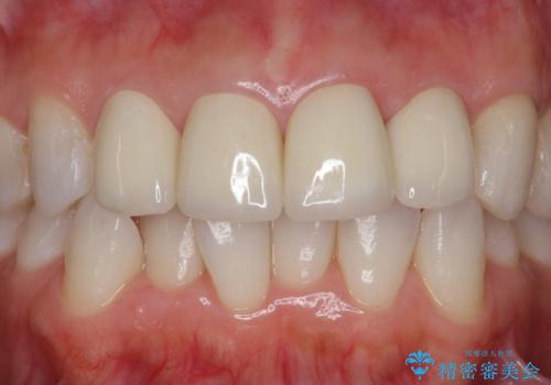
つぎはぎの前歯をセラミックにしたい
治療症例の内容
- 診療科目
- 治療カテゴリ
- 担当医
- 井上季実子(ドクタープロフィール)
- 患者様
- 30代女性
- 治療期間
- 3ヶ月
- 治療計画
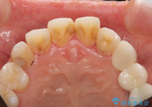
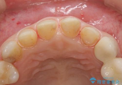
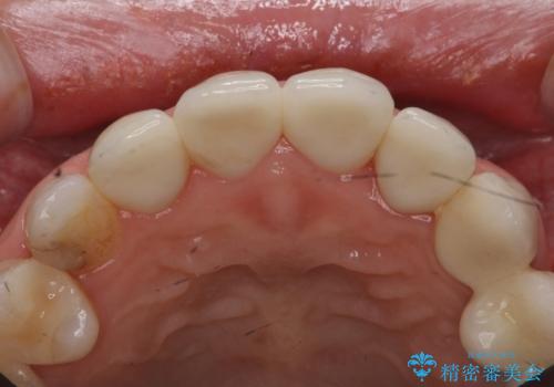
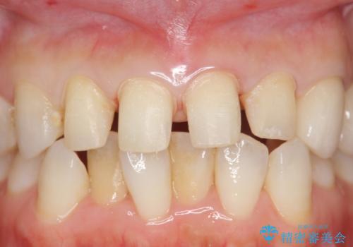
- 保険治療のプラスチックでつぎはぎの歯をセラミックにし、一緒に前歯の並びもきれいにしたいとのご希望でした。
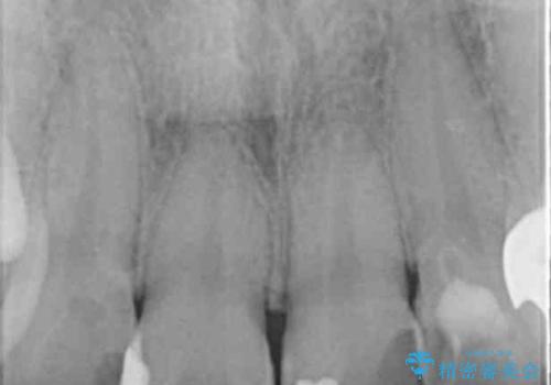
特に裏側のつぎはぎ、二次う蝕(治したところの境目からの虫歯)が多く、審美目的だけでなく、虫歯の治療としても意味があったと思います。
神経を温存するようにあまり削らないように治療しました。
また、色を決める前にホワイトニングを行い、全体的に歯を白くしてから色を決めました。
- 費用(概算)
- 51.7万円(ジルコニアクラウンスタンダード 10万円x4本、仮歯1万円x4本 オフィスホワイトニングエクセレント 3万円x1回)費用は治療当時の料金となります
治療について
色や形については納得いくまで修正し、最後は満足されていました。
セラミック治療の注意事項(リスク・副作用など)
- 天然歯を削ります
- 硬い素材は天然歯を傷つけてしまう場合があります
- かみ合わせや歯ぎしりが強すぎる方はセラミックが割れてしまう可能性があります
- 自費診療(保険適用外治療)となります
ホワイトニングの注意事項(リスク・副作用など)
- 知覚過敏が出ることがあります
- ホワイトバンドや白い斑点が出ることがあります
- クラウンやインレー等の補綴物には効果がありません
- ホワイトニングによる効果や持続期間には個人差があります
- 歯牙の状態によっては適応できないことがあります
- 保険適用外となります
当サイトの内容、テキスト、画像等の無断転載、複製、複写、盗用を固く禁じます。













