症例詳細
Case detail
1年ぶりのクリーニング(PMTC)
治療症例の内容
- 診療科目
- 治療カテゴリ
- 患者様
- 20代女性
- 治療期間
- 1日
- 治療回数
- 1回
- 治療計画
- クリーニングをして欲しいとのことで来院されました。
PMTCの60分コースを行いました。
- 費用(概算)
- 11000円費用は治療当時の料金となります
治療について
PMTCの60分コースを行いました。
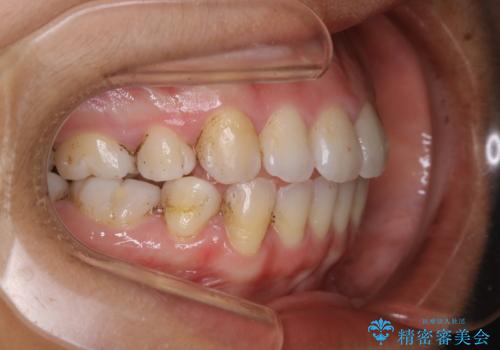
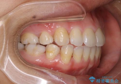
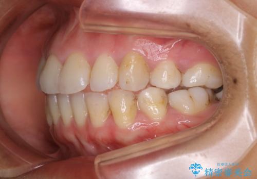
タバコをよく吸う方で1年ぶりのクリーニングになるそう。ただ、昔から着色が付きやすく取れないとのこと。
エアフローを使いましたが、汚れはとても頑固で、元々歯の面に多くの凹凸があり、その隙間に入り込んでいる着色、虫歯の初期による変色以外を除去していきました。60分でも時間は足りませんでした。
人により歯の状態は様々です。気になることがあれば、無料カウンセリングを受け付けていますので、是非ご予約下さい。
担当歯科衛生士
表参道しらゆり歯科 DH富田
PMTCの注意事項(リスク・副作用など)
- 歯を白くする目的の施術ではありません
- 保険適用外となります
当サイトの内容、テキスト、画像等の無断転載、複製、複写、盗用を固く禁じます。






