症例詳細
Case detail
前歯のねじれを治したい (部分矯正を併用したマウスピース矯正)
治療症例の内容
- 診療科目
- 担当医
- 大元洋佑(ドクタープロフィール)
- 患者様
- 20代女性
- 矯正装置
- インビザライン
- 治療期間
- 1年3ヶ月
- 治療回数
- 10-30回
- 治療計画
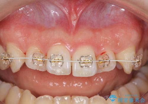
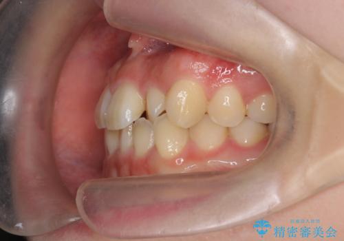
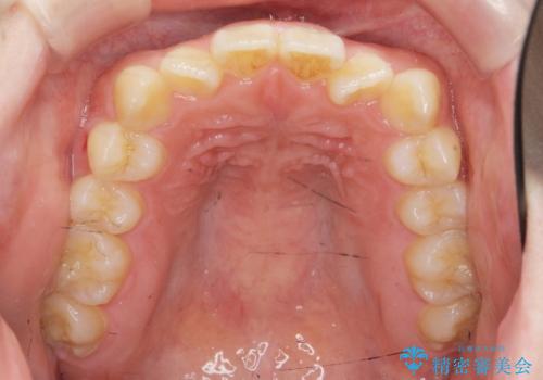
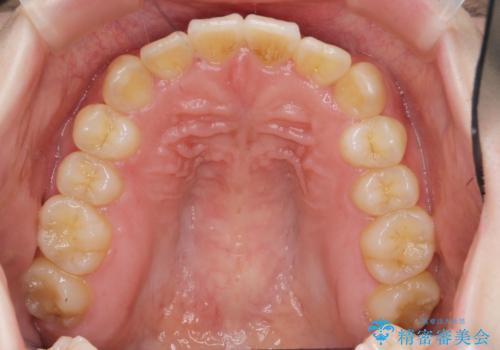
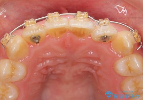
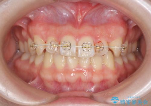
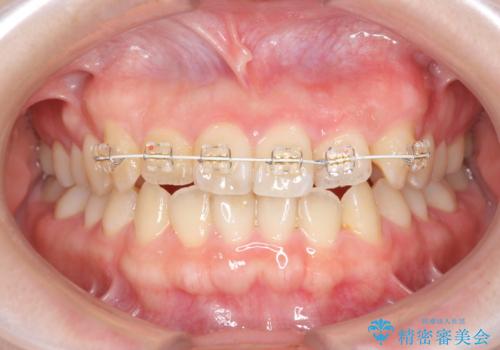
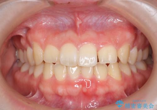
- ねじれの目立つ前歯を改善したいと、矯正治療を希望され来院されました。
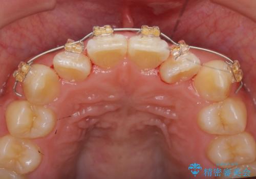
インビザラインの不得意な上顎前歯のねじれの改善を、マウスピース矯正を行う前に前歯のみの部分ワイヤー矯正を行うことで治療期間の短期化を目指します。
- 費用(概算)
- 88万円 (矯正治療代として)費用は治療当時の料金となります
治療について
上顎前歯のねじれはマウスピースで治りづらいため、マウスピース矯正の治療期間の長期化をきたしやすい歯列不正です。
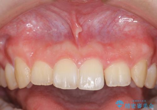
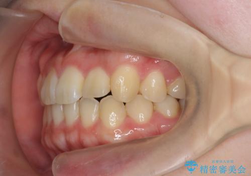
マススピース矯正を始める前に、部分ワイヤー矯正を行うことで治療の短期間化・良好な仕上がりを達成することができました。
マウスピース矯正の注意事項(リスク・副作用など)
- 口腔内・歯並びの状態によっては対応できない場合があります
- マウスピース型矯正装置の長時間装着(1日20時間以上)が必須です
- 治療計画通りに進めるためには、患者様の意志が重要になります
- 矯正治療後の保定が不十分だと後戻り(元の位置に戻ろうとする動き)をします
- 薬機法対象外の矯正歯科装置のため医薬品副作用被害救済制度の対象外となる場合があります
- 自費診療(保険適用外)となります
当サイトの内容、テキスト、画像等の無断転載、複製、複写、盗用を固く禁じます。



















