症例詳細
Case detail
以前治療した前歯をセラックへ 美しい見た目へ
治療症例の内容
- 診療科目
- 治療カテゴリ
- 担当医
- 患者様
- 50代女性
- 治療期間
- 1ヶ月
- 治療回数
- 2-5回
- 治療計画
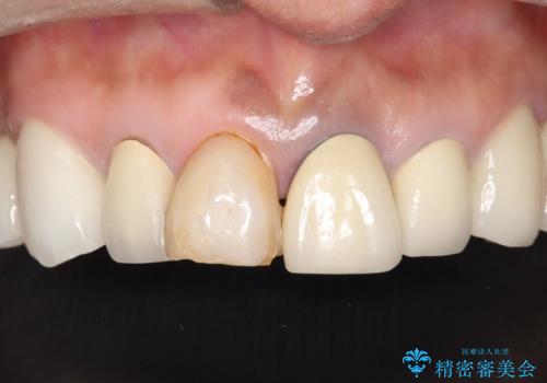
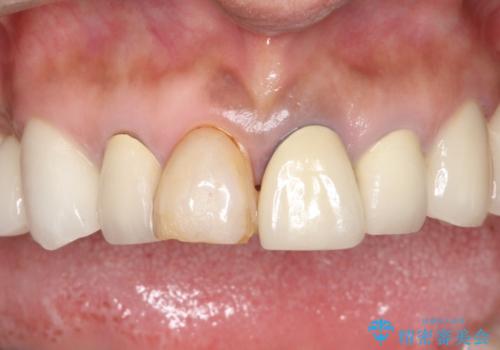
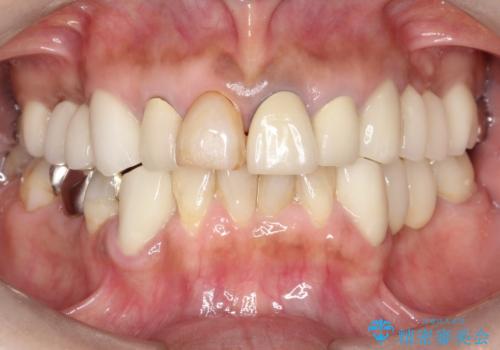
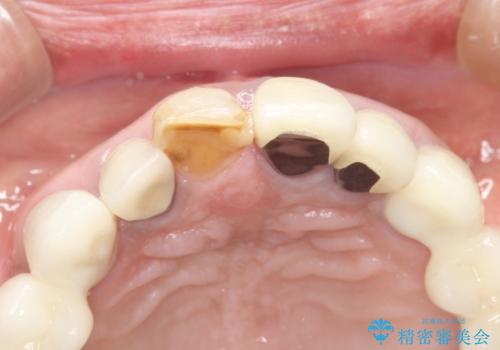
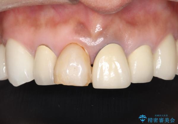
- 昔治療した前歯の色味が気になるとのことで来院されました。
昔に治療された前歯が変色しているのと、形態が自然ではありませんでした。
前歯2本をオールセラミックにすることにしました。
- 費用(概算)
- 約26万円費用は治療当時の料金となります
治療について
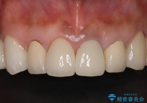
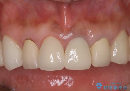
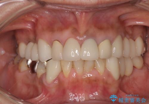
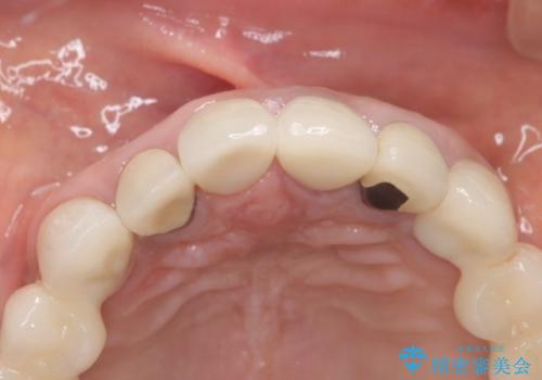
オールセラミッククラウンにすることで、色と形態をきれいにすることができました。
セラミック治療の注意事項(リスク・副作用など)
- 天然歯を削ります
- 硬い素材は天然歯を傷つけてしまう場合があります
- かみ合わせや歯ぎしりが強すぎる方はセラミックが割れてしまう可能性があります
- 自費診療(保険適用外治療)となります
当サイトの内容、テキスト、画像等の無断転載、複製、複写、盗用を固く禁じます。










