症例詳細
Case detail
出産をしながら歯列を整える インビザラインによる矯正治療
治療症例の内容
- 診療科目
- 治療カテゴリ
- 担当医
- 藤巻太一朗(ドクタープロフィール)
- 患者様
- 30代女性
- 矯正装置
- インビザライン
- 治療期間
- 1年2ヶ月
- 治療回数
- 10-30回
- 治療計画
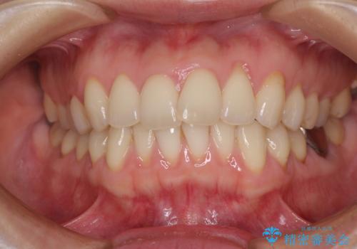
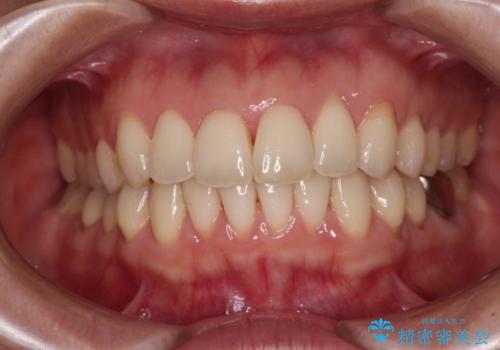
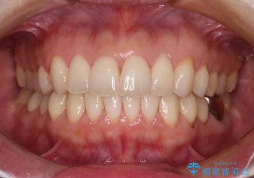
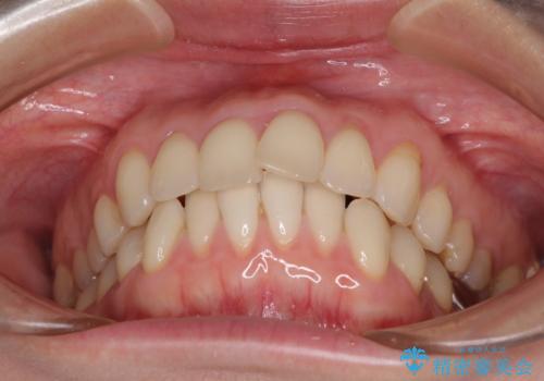
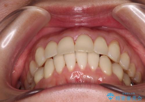
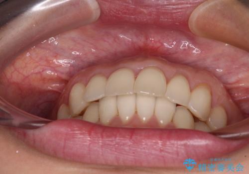
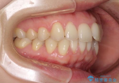
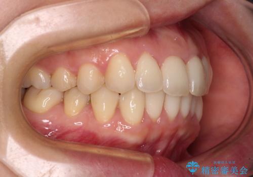
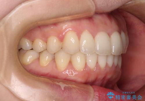
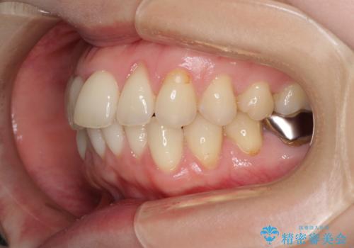
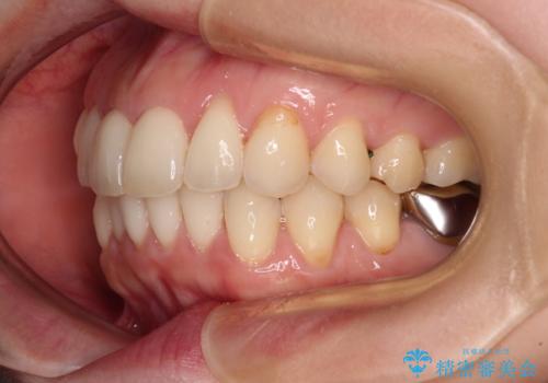
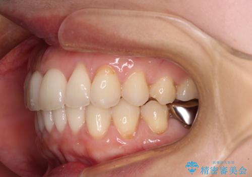
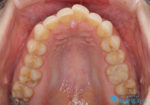
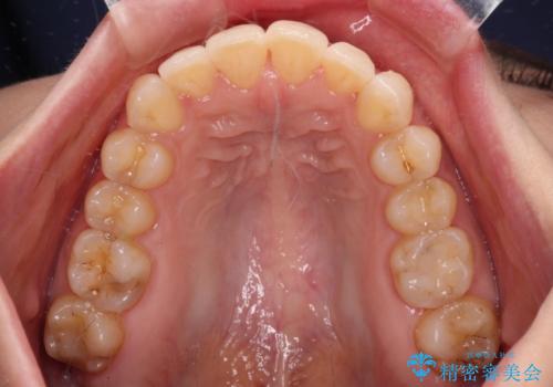
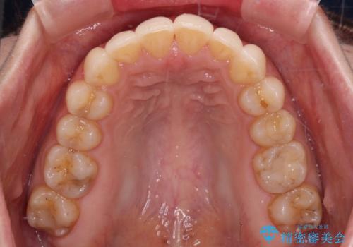
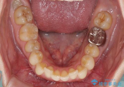
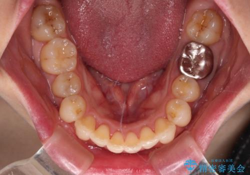
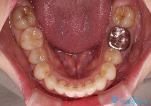
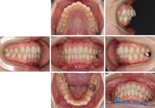
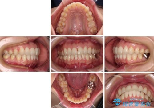
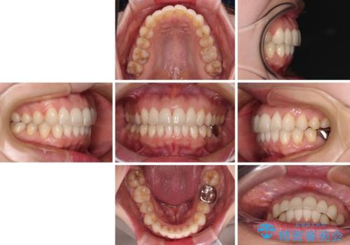
- 上下の前歯のデコボコを気にして来院された患者様です。
妊娠中であり、途中通院が難しくなる可能性があることから、インビザラインによる矯正治療を行うこととしました。
上下顎歯列全体の後方移動とIPR(歯と歯の間を削る)によってデコボコが解消するように設計しました。
- 費用(概算)
- 治療費の目安: 85万円(税込)費用は治療当時の料金となります
治療について
妊娠中の矯正治療は、ワイヤー矯正では通院が難しくなる、マウスピース矯正では悪阻によりマウスピースの装着が困難になるといった可能性が考えられます。
どちらの方法が良いのかについては、個人のライフスタイルに合わせて検討する必要があります。
マウスピース矯正の注意事項(リスク・副作用など)
- 口腔内・歯並びの状態によっては対応できない場合があります
- マウスピース型矯正装置の長時間装着(1日20時間以上)が必須です
- 治療計画通りに進めるためには、患者様の意志が重要になります
- 矯正治療後の保定が不十分だと後戻り(元の位置に戻ろうとする動き)をします
- 薬機法対象外の矯正歯科装置のため医薬品副作用被害救済制度の対象外となる場合があります
- 自費診療(保険適用外)となります
当サイトの内容、テキスト、画像等の無断転載、複製、複写、盗用を固く禁じます。



























