症例詳細
Case detail
補助装置を併用したインビザラインでの八重歯の抜歯矯正
治療症例の内容
- 診療科目
- 治療カテゴリ
- 担当医
- 藤巻太一朗(ドクタープロフィール)
- 患者様
- 30代女性
- 矯正装置
- インビザライン
- 治療期間
- 4年3ヶ月
- 治療回数
- 10-30回
- 治療計画
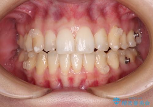
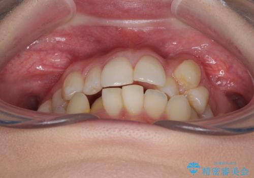
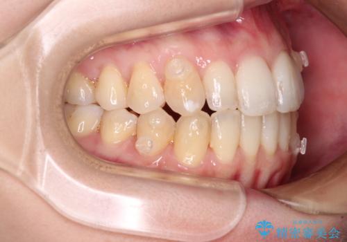
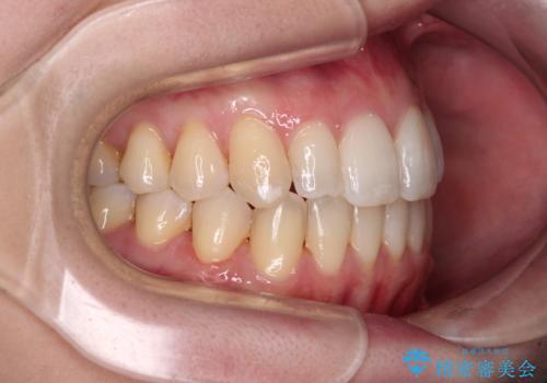
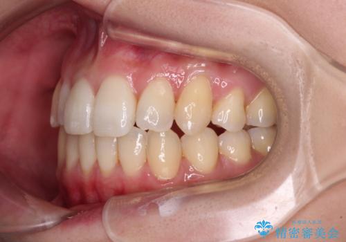
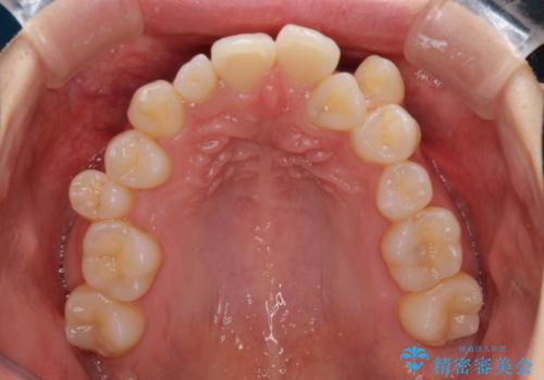
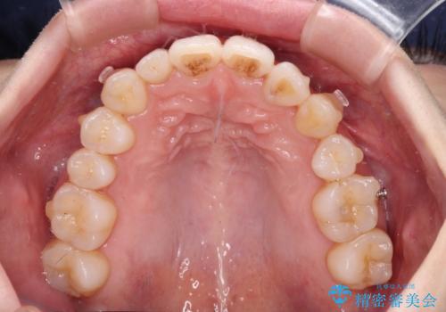
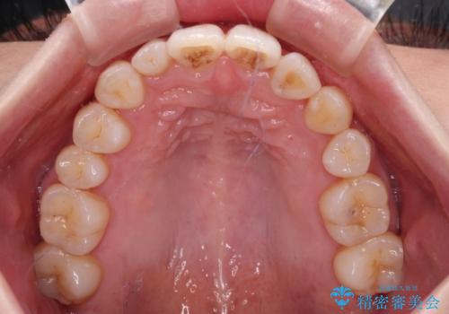
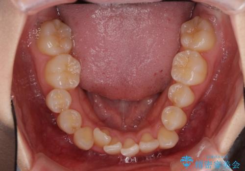
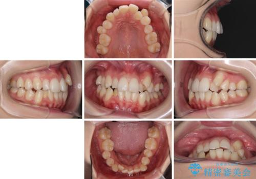
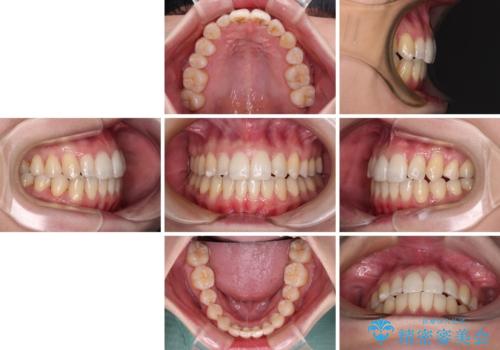
- 八重歯と奥歯の咬み合わせを気にして来院された患者様です。
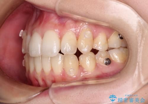
インビザラインによる矯正治療を希望されたため、八重歯改善のための抜歯矯正部分は補助装置を併用し、その後はインビザラインにて行うこととしました。
下顎の右側変位が顕著であったため、ワイヤー矯正の方が咬み合わせは改善しやすいのですが、ある程度は時間がかかっても良いとのことであったので、インビザラインにて矯正治療を行うこととしました。
- 費用(概算)
- 治療費の目安: 100万円(税込)費用は治療当時の料金となります
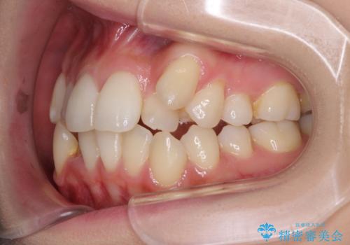
治療について
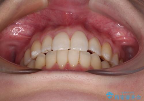
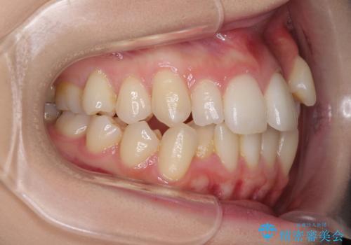
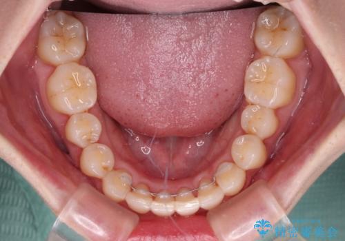
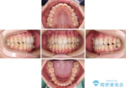
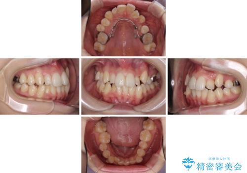
骨格的に下顎が右側に変位していたため、上下正中を合わせることは困難であることは分かっていました。それでも、なるべく合わせるようにとしたため、治療期間は長期間となりました。
長期間とはなりましたが、咬み合わせが改善され、患者様には大変満足していただきました。
マウスピース矯正の注意事項(リスク・副作用など)
- 口腔内・歯並びの状態によっては対応できない場合があります
- マウスピース型矯正装置の長時間装着(1日20時間以上)が必須です
- 治療計画通りに進めるためには、患者様の意志が重要になります
- 矯正治療後の保定が不十分だと後戻り(元の位置に戻ろうとする動き)をします
- 薬機法対象外の矯正歯科装置のため医薬品副作用被害救済制度の対象外となる場合があります
- 自費診療(保険適用外)となります
当サイトの内容、テキスト、画像等の無断転載、複製、複写、盗用を固く禁じます。



























