症例詳細
Case detail
部分矯正してからオールセラミックブリッジ
治療症例の内容
- 担当医
- 吉﨑ゆりな(ドクタープロフィール)
- 患者様
- 40代女性
- 治療期間
- 6ヶ月
- 治療回数
- 10-30回
- 治療計画
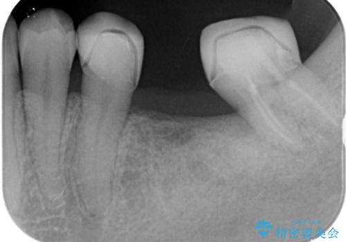
- 左下のブリッジの適合が悪く、虫歯になっていました。
左下6を抜いてからブリッジを入れるまでに放置してしまったために、左下7が前に倒れたこと、左下8も後ろから押す向きに生えていたこともあり、左下7がかぶせものを入れづらい状態になっていたためと考えられました。
また左下7は倒れていたため、清掃性が悪く近心のポケットは7mmありました。
そのため、左下8を抜いて、左下7を部分矯正で後ろに起こしてからブリッジを新製することとしました。
- 費用(概算)
- 約40万円費用は治療当時の料金となります
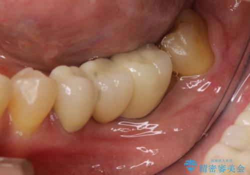
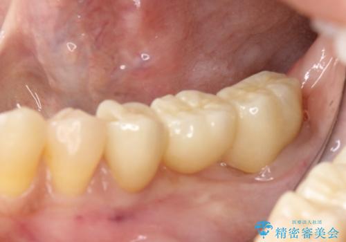
治療について
最初にもともとのブリッジを壊し、矯正用の仮歯にかえた上で部分矯正を開始しました。
部分矯正期間はだいたい3か月弱です。
矯正終了後、左下7の近心は再度クリーニングを行っています。
その後ブリッジの製作を行いました。
セラミック治療の注意事項(リスク・副作用など)
- 天然歯を削ります
- 硬い素材は天然歯を傷つけてしまう場合があります
- かみ合わせや歯ぎしりが強すぎる方はセラミックが割れてしまう可能性があります
- 自費診療(保険適用外治療)となります
ワイヤー矯正の注意事項(リスク・副作用など)
- 治療中は違和感や痛みが起こることがあります
- 症状により、抜歯が必要な場合があります
- 治療中は歯磨きがしにくくなるため、虫歯や歯周病になりやすくなります
- 矯正治療後の保定が不十分だと後戻り(元の位置に戻ろうとする動き)をします
- 自費診療(保険適用外)となります
当サイトの内容、テキスト、画像等の無断転載、複製、複写、盗用を固く禁じます。











