症例詳細
Case detail
【出っ歯(飛び出した前歯)・がたつきでお悩みの方必見】インビザライン矯正の症例
治療症例の内容
- 患者様
- 20代女性
- 矯正装置
- インビザライン
- 治療期間
- 2年
- 治療回数
- 10-30回
- 治療計画
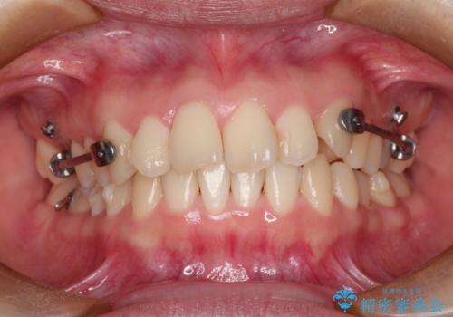
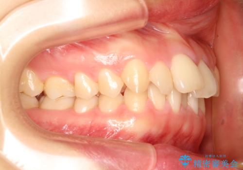
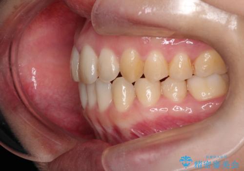
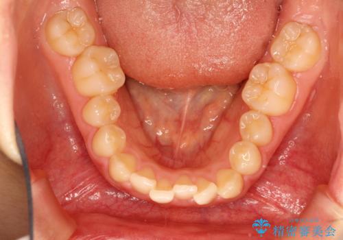
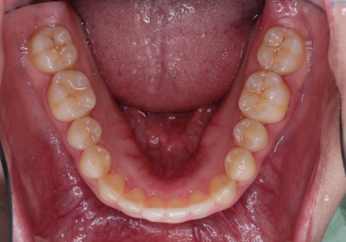
- 出っ歯の改善を希望され来院された患者様です。
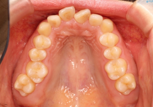
初診時の歯並びの状態としては、上下とも前歯部の中等度のがたつきがあり、その他に奥歯の噛み合わせのズレや、口元の突出感も認められました。
抜歯矯正の可能性もご提案しましたが、ご本人の強い希望もあり、抜歯なし/インビザラインによるマウスピース矯正にて治療を行いました。
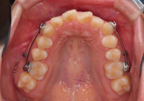
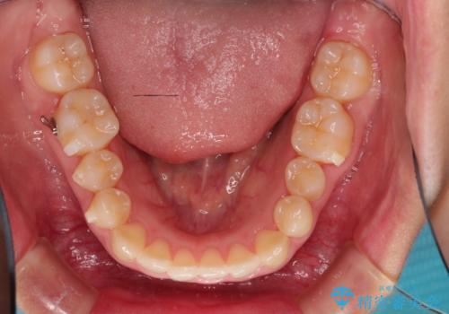
奥歯の嚙み合わせのズレを改善するにあたり、カリエールディスタライザーという装置を併用することで治療期間の短縮を図りました。
- 費用(概算)
- 88万円費用は治療当時の料金となります
治療について
カリエールディスタライザーは臼歯の位置関係において理想とのズレが多い場合に有効となります。
また、複数治療の選択肢がある場合は、すべての可能性ある治療方針を丁寧にご説明し、患者様のご意向に沿ったプランを選択するよう心がけております。
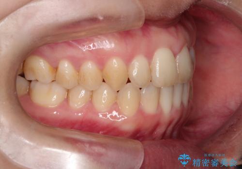
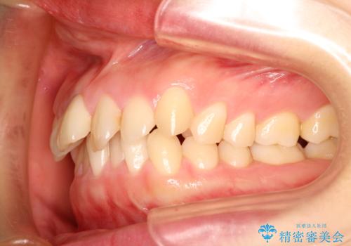
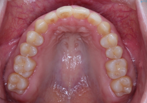
本症例は、見た目、嚙み合わせ及び、治療期間や施術内容にご満足いただきました。
マウスピース矯正の注意事項(リスク・副作用など)
- 口腔内・歯並びの状態によっては対応できない場合があります
- マウスピース型矯正装置の長時間装着(1日20時間以上)が必須です
- 治療計画通りに進めるためには、患者様の意志が重要になります
- 矯正治療後の保定が不十分だと後戻り(元の位置に戻ろうとする動き)をします
- 薬機法対象外の矯正歯科装置のため医薬品副作用被害救済制度の対象外となる場合があります
- 自費診療(保険適用外)となります
当サイトの内容、テキスト、画像等の無断転載、複製、複写、盗用を固く禁じます。















