症例詳細
Case detail
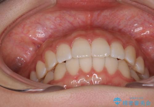
前歯のがたつきをインビザラインで目立たない矯正
治療症例の内容
- 診療科目
- 担当医
- 患者様
- 20代女性
- 矯正装置
- インビザライン
- 治療期間
- 1年1ヶ月
- 治療回数
- 10-30回
- 治療計画
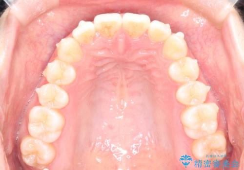
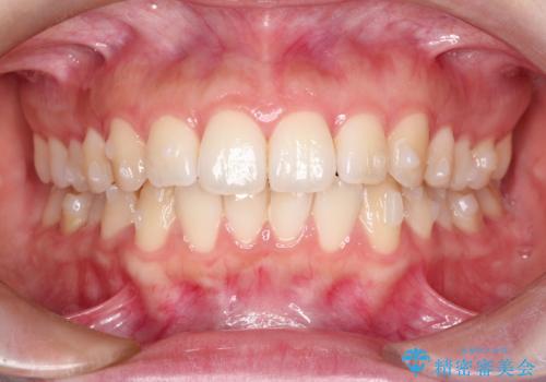
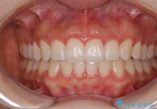
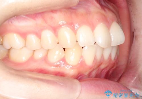
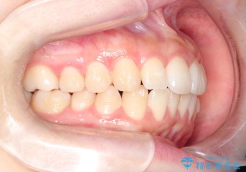
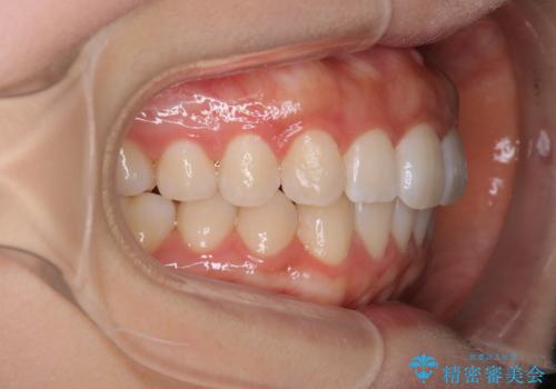
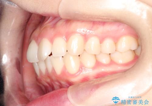
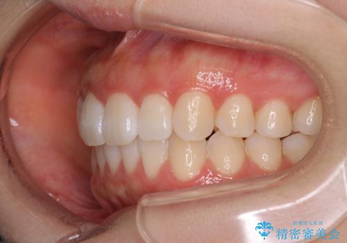
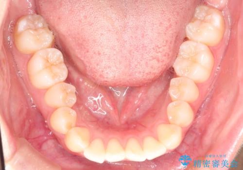
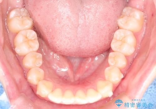
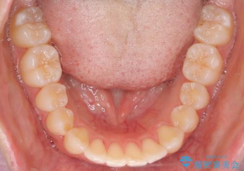
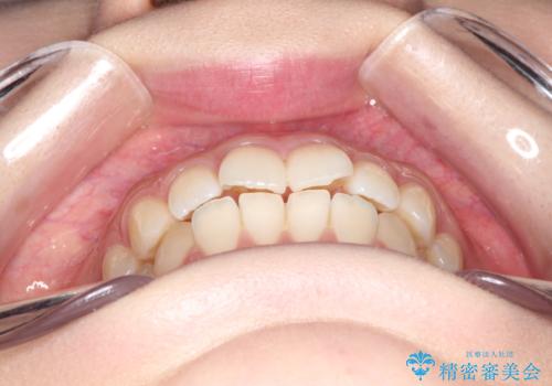
- 上下の前歯のがたつきを主訴に来院されました。
マウスピースでの矯正を希望されたので、インビザラインで矯正治療を行うこととしました。
- 費用(概算)
- 約80万円費用は治療当時の料金となります
治療について
インビザラインではシュミレーションによりどのように歯が動くかを確認して矯正することができるので、患者様も安心して矯正をすることができました。
マウスピース矯正の注意事項(リスク・副作用など)
- 口腔内・歯並びの状態によっては対応できない場合があります
- マウスピース型矯正装置の長時間装着(1日20時間以上)が必須です
- 治療計画通りに進めるためには、患者様の意志が重要になります
- 矯正治療後の保定が不十分だと後戻り(元の位置に戻ろうとする動き)をします
- 薬機法対象外の矯正歯科装置のため医薬品副作用被害救済制度の対象外となる場合があります
- 自費診療(保険適用外)となります
当サイトの内容、テキスト、画像等の無断転載、複製、複写、盗用を固く禁じます。



















