症例詳細
Case detail
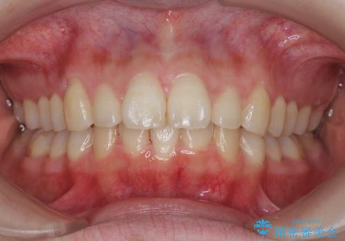
マウスピースで出っ歯感の改善
治療症例の内容
- 診療科目
- 担当医
- 大元洋佑(ドクタープロフィール)
- 患者様
- 20代女性
- 矯正装置
- インビザライン
- 治療期間
- 1年6ヶ月
- 治療回数
- 10-30回
- 治療計画
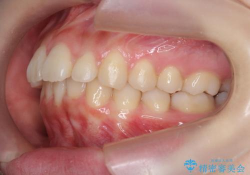
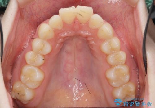
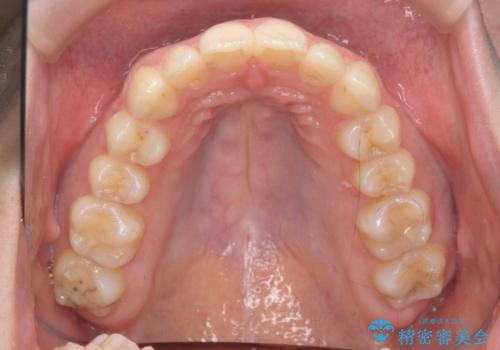
- 上の前歯が出ている感じを治したい、と矯正治療を希望され来院されました。
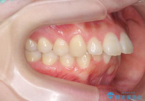
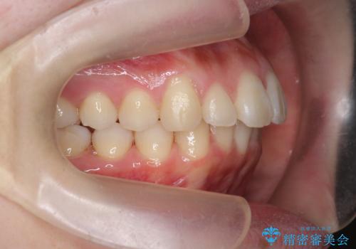
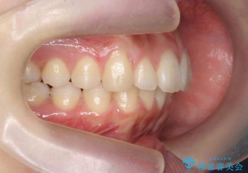
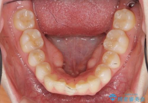
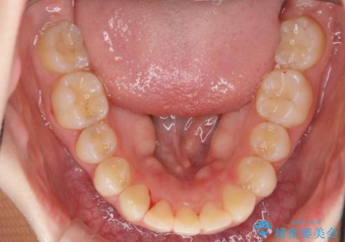
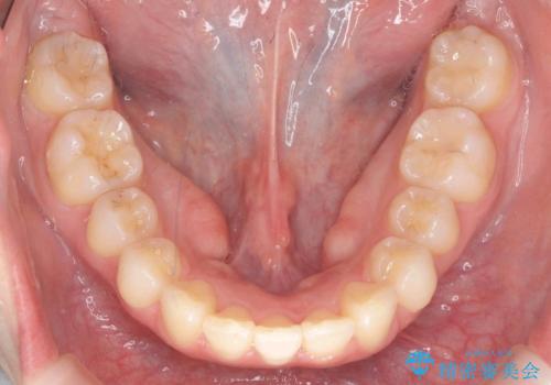
上顎歯列の突出感を改善すべくIPRを行い、下顎歯列を小さくすることで前歯の角度を大きく是正します、。
- 費用(概算)
- 88万円費用は治療当時の料金となります
治療について
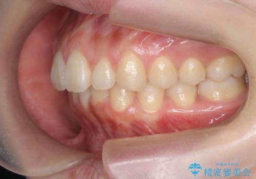
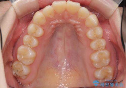
下顎歯列は元々前歯が1本少なく小さなアーチでしたが、下顎に合わせ上顎歯列もIPRを行い小さくすることで出っ歯感を大きく改善することが出来ました。
マウスピース矯正の注意事項(リスク・副作用など)
- 口腔内・歯並びの状態によっては対応できない場合があります
- マウスピース型矯正装置の長時間装着(1日20時間以上)が必須です
- 治療計画通りに進めるためには、患者様の意志が重要になります
- 矯正治療後の保定が不十分だと後戻り(元の位置に戻ろうとする動き)をします
- 薬機法対象外の矯正歯科装置のため医薬品副作用被害救済制度の対象外となる場合があります
- 自費診療(保険適用外)となります
当サイトの内容、テキスト、画像等の無断転載、複製、複写、盗用を固く禁じます。















