症例詳細
Case detail
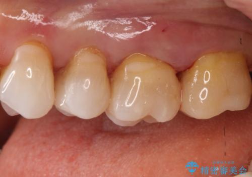
【メタルフリー】セラミックインレーによる治療
治療症例の内容
- 診療科目
- 治療カテゴリ
- 担当医
- 河口智英(ドクタープロフィール)
- 患者様
- 50代女性
- 治療期間
- 1ヶ月
- 治療計画
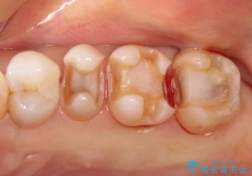
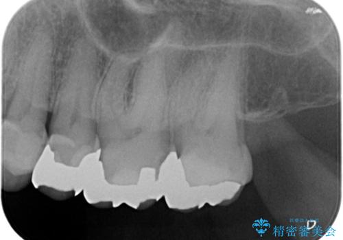
- 昔入れた銀歯のやりかえを主訴に来院されました。
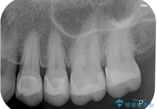
セラミックインレーにて修復を行いました。
- 費用(概算)
- 21万円費用は治療当時の料金となります
治療について
歯の強度を高めるためセラミッククラウンの提案もさせていただきましたが、患者様の希望でセラミックインレーにて修復を行なっております。
セラミック治療の注意事項(リスク・副作用など)
- 天然歯を削ります
- 硬い素材は天然歯を傷つけてしまう場合があります
- かみ合わせや歯ぎしりが強すぎる方はセラミックが割れてしまう可能性があります
- 自費診療(保険適用外治療)となります
当サイトの内容、テキスト、画像等の無断転載、複製、複写、盗用を固く禁じます。







