症例詳細
Case detail
銀歯がノドに飛んできたことがトラウマ ラバーダムをして治療 50代女性
治療症例の内容
- 診療科目
- 担当医
- 患者様
- 50代女性
- 治療期間
- 1ヶ月
- 治療回数
- 2-5回
- 治療計画
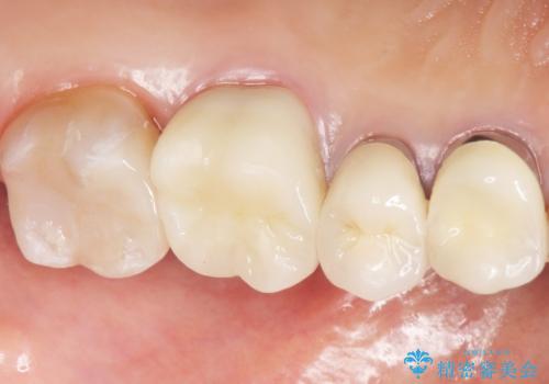
- 銀歯を白くしたいとご希望され、来院された患者様です。
他の歯科医院で銀歯をはずした時に、銀の詰め物が喉に飛んできたことがトラウマとなり、歯科治療が怖くなってしまったとのことでした。
そのためラバーダム(ゴムのシート)をつけることで、詰め物が口腔内に飛んだり破片が飛び散ったりしないよう配慮し治療を行いました。
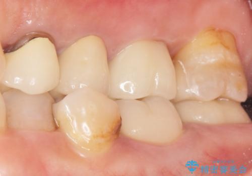
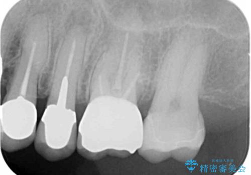
患者様のご希望により、左上6クラウン、左上7インレーによるセラミック治療を行いました。
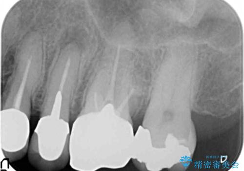
再根管治療はご希望されなかったため行っておりません。
- 費用(概算)
- ¥220,000 (仮歯、土台、クラウン、インレー) ※税込費用は治療当時の料金となります
治療について
「ラバーダムのおかげで怖くなかった!」と喜んで下さいました。
セラミックの審美的な仕上がりと自然な咬み心地にもご満足頂けました。
モチベーションが上がり、「他の歯もどんどん治療していきたい」とおっしゃって下さいました。
クラウンの種類:オールセラミッククラウン スタンダード
インレーの種類:セラミックインレー(e-max press)
セラミック治療の注意事項(リスク・副作用など)
- 天然歯を削ります
- 硬い素材は天然歯を傷つけてしまう場合があります
- かみ合わせや歯ぎしりが強すぎる方はセラミックが割れてしまう可能性があります
- 自費診療(保険適用外治療)となります
当サイトの内容、テキスト、画像等の無断転載、複製、複写、盗用を固く禁じます。








