症例詳細
Case detail
ソケットリフト 骨が薄い上の奥歯のインプラント 50代男性
治療症例の内容
- 患者様
- 50代男性
- 治療期間
- 1年
- 治療回数
- 5-10回
- 治療計画
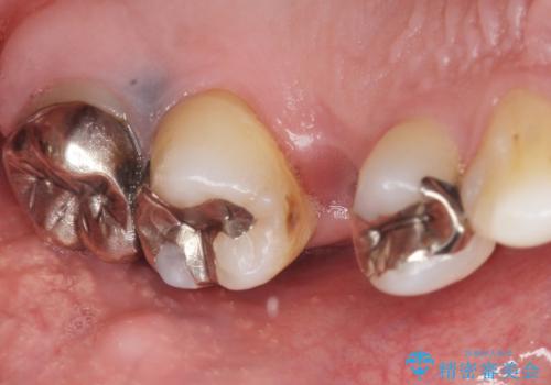
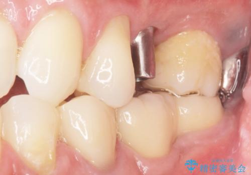
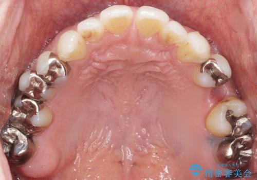
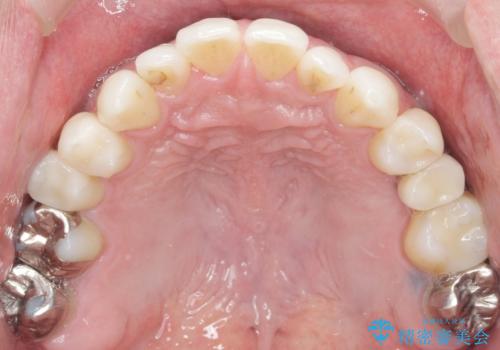
- 奥歯のかぶせ物が土台ごとはずれてしまったことを主訴に来院された患者様です。
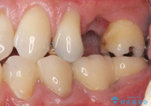
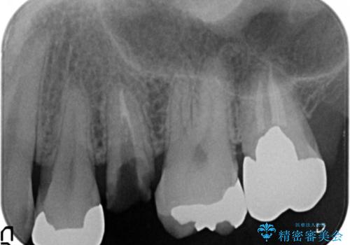
 残根状態になっている左上の小臼歯(左上5)を精査したところ、う蝕が歯肉縁下まで進行しており保存不可能な状態でした。
 
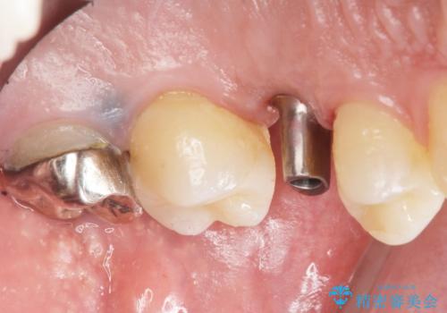
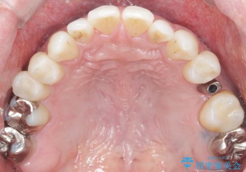
 患者様のご希望により、抜歯後インプラント治療を行いました。
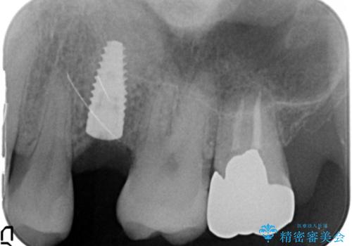
 骨の厚みが不足していたため、インプラントの埋入と同時にソケットリフト(上顎骨に骨を増やす手術)を行いました。
- 費用(概算)
- ¥550,000 (インプラント、ソケットリフト、アバットメント、仮歯、クラウン) ※税込費用は治療当時の料金となります
治療について
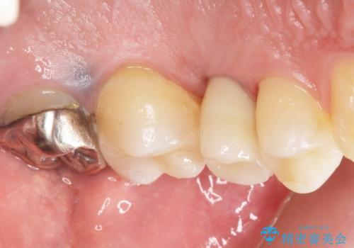
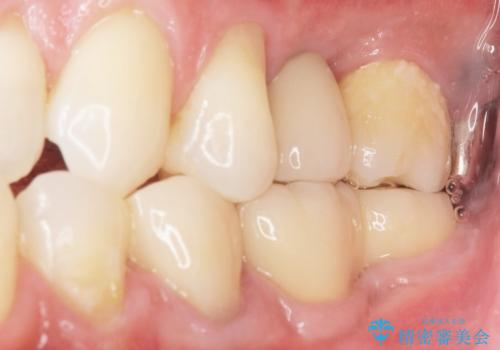
「違和感もなく、まるで自分の歯のようにしっかり咬めます!」と大変喜んで頂けました。
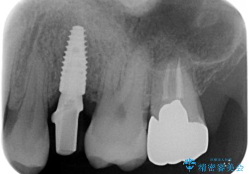
インプラントの種類:ストローマン BLT
被せ物の種類:オールセラミッククラウン スタンダード
インプラント治療の注意事項(リスク・副作用など)
- 外科手術のため、術後に痛みや腫れ、違和感を伴います
- メンテナンスを怠ったり喫煙により、お口の中に大きな悪影響を及ぼすインプラント周囲炎等にかかる可能性があります
- 糖尿病、肝硬変、心臓病等の場合、インプラント治療ができない可能性があります
- 高血圧、貧血・不整脈等の場合、インプラント治療後に治癒不全を招く可能性があります
- 自費診療(保険適用外治療)となります
セラミック治療の注意事項(リスク・副作用など)
- 天然歯を削ります
- 硬い素材は天然歯を傷つけてしまう場合があります
- かみ合わせや歯ぎしりが強すぎる方はセラミックが割れてしまう可能性があります
- 自費診療(保険適用外治療)となります
当サイトの内容、テキスト、画像等の無断転載、複製、複写、盗用を固く禁じます。








 
                       
                                                          



















 
                   
                   
                  