症例詳細
Case detail
「セラミックインレー」目立つ下顎の銀歯を白くしたい
治療症例の内容
- 診療科目
- 治療カテゴリ
- 担当医
- 大元洋佑(ドクタープロフィール)
- 患者様
- 20代男性
- 治療期間
- 1ヶ月
- 治療回数
- 2-5回
- 治療計画
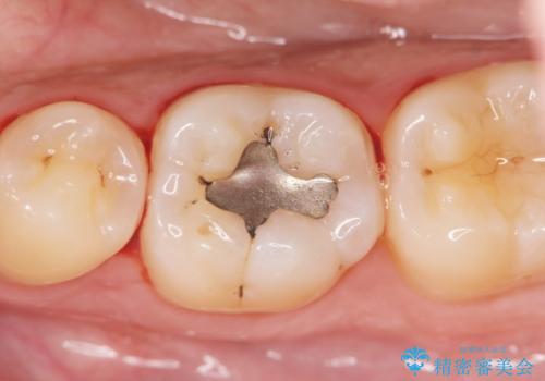
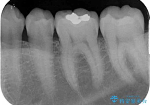
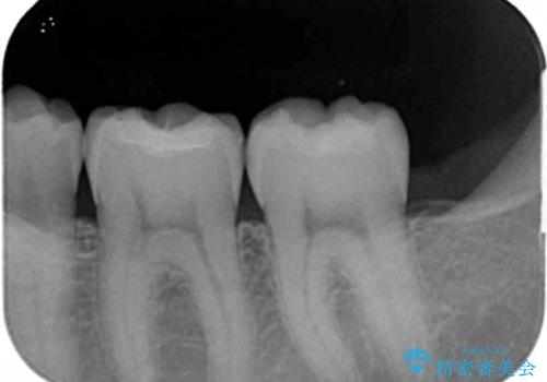
- 長年色が気になっていた銀歯を白くしたいと希望され来院されました。
丁寧に拡大鏡下で銀歯を除去し虫歯がないことを確認したのち、シリコンによる精密な型取りを行いセラミック修復物を作製します。
- 費用(概算)
- 7.7万円費用は治療当時の料金となります
治療について
老朽化した銀歯の下には虫歯が大きくなっていることもあるので長期間経過した修復物はX線撮影を行うなどのチェックが重要です。
セラミック治療の注意事項(リスク・副作用など)
- 天然歯を削ります
- 硬い素材は天然歯を傷つけてしまう場合があります
- かみ合わせや歯ぎしりが強すぎる方はセラミックが割れてしまう可能性があります
- 自費診療(保険適用外治療)となります
当サイトの内容、テキスト、画像等の無断転載、複製、複写、盗用を固く禁じます。




