症例詳細
Case detail
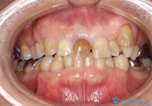
20代女性 前歯の不良な詰め物から大きな病気へ→根本から治療
治療症例の内容
- 診療科目
- 治療カテゴリ
- 担当医
- 患者様
- 20代女性
- 治療期間
- 3ヶ月
- 治療回数
- 5-10回
- 治療計画
- 歯茎が大きく腫れあがり、強い痛みを出していたため、
歯茎を切開・排膿→ドレーンガーゼを留置・交換
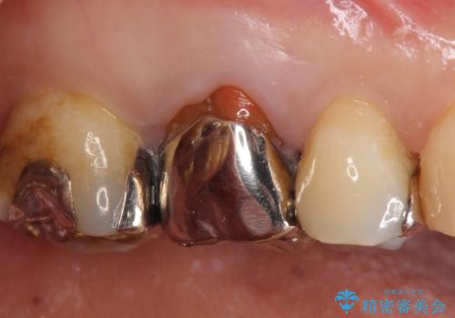
→精密根管治療 ファイバーコアの植立
→被せものの製作
- 費用(概算)
- 17万円費用は治療当時の料金となります
治療について
前歯に大きなプラスチックの詰め物がされており、そこから感染したばい菌により根の先に大きな病気がつくられてしまっていました。
炎症が急性化し、歯ぐきの裏は膿で大きく腫れあがっていたため、切開・排膿・ガーゼドレーンにより腫れを落ちつかせた後(Dr奥村に協力してもらいました)、精密根管治療を行いました。
プラスチックを全て除去したことで、本来の歯の形態は失われるため、根管治療後の封鎖も兼ねて、被せもので修復します。
治療後、レントゲンでも根の先にあった病気が治癒し、骨に置換されているのがわかります。
被せものの種類:ジルコニアオールセラミック スタンダード
セラミック治療の注意事項(リスク・副作用など)
- 天然歯を削ります
- 硬い素材は天然歯を傷つけてしまう場合があります
- かみ合わせや歯ぎしりが強すぎる方はセラミックが割れてしまう可能性があります
- 自費診療(保険適用外治療)となります
当サイトの内容、テキスト、画像等の無断転載、複製、複写、盗用を固く禁じます。




















