症例詳細
Case detail
インビザライン・ライトで”すきっ歯と出っ歯”を改善
治療症例の内容
- 診療科目
- 担当医
- 福本健生(ドクタープロフィール)
- 患者様
- 30代男性
- 矯正装置
- インビザライン・ライト
- 治療期間
- 8ヶ月
- 治療回数
- 5-10回
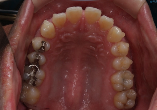
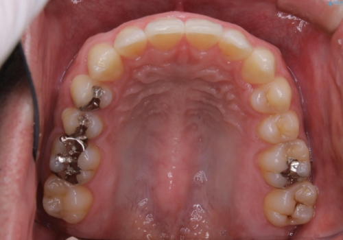
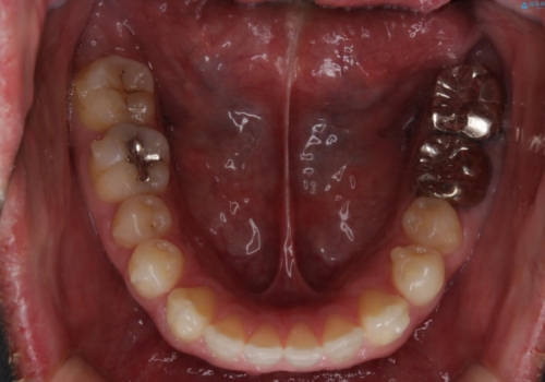
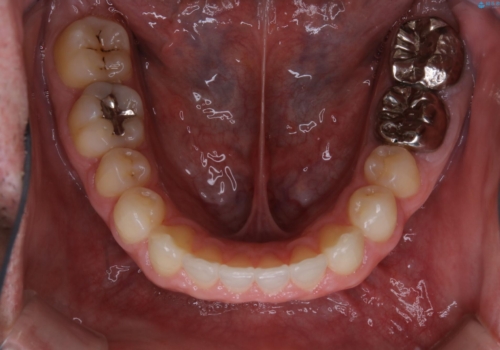
- 治療計画
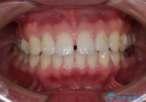
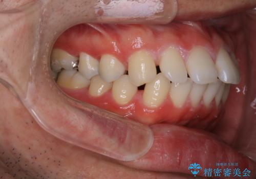
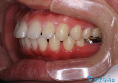
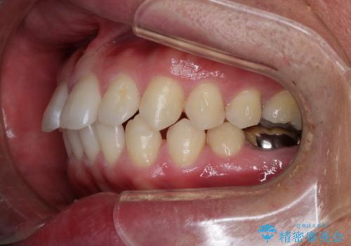
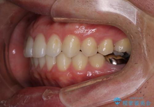
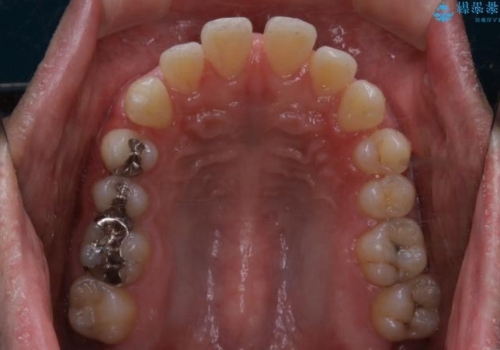
- 全体的に歯と歯の間に隙間があるのが気になるとのことで来院されました。インビザラインでの矯正治療をご希望されました。
隙間については、前歯と奥歯に多数あります。また、上下前歯は、外側に少し倒れているため隙間を閉じつつ、前歯を内側に引っ込めて並べることになりました。
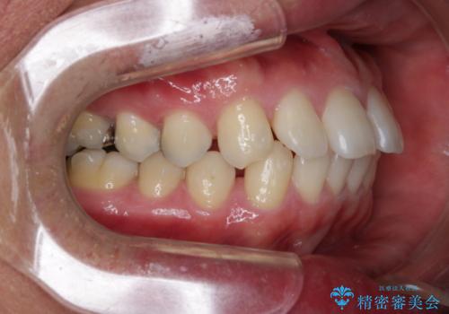
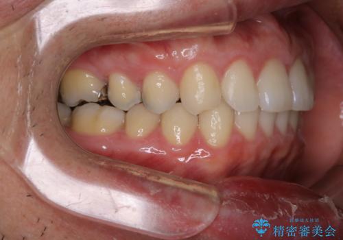
インビザライン・ライトにて矯正治療を行うことになりました。
- 費用(概算)
- 410,000円費用は治療当時の料金となります
治療について
すきっ歯とは、歯と歯の間に隙間が空いていることを言います。(正式名は空隙歯列)
自然に歯と歯の間に隙間が空いてしまう方、
子供の時からの習慣が原因ですきっ歯になる方、
虫歯や歯周病が原因で抜歯したことにより、歯の並びのバランスが崩れて隙間が空いてしまう方がいます。
すきっ歯を放置してしまうと、見た目も気になりますが、発音に支障が出て活舌が悪くなってしまったり、隙間に食べ物のカスが詰まりやすくなり、虫歯や歯周病が進行しやすくなる場合があります。
本法人は、審美目的だけでなく、機能面も考慮しつつ矯正治療を行っています。10年、20年後も丈夫な歯を保てるように皆さんも歯科矯正を考えてみてはいかがでしょうか。
初回無料カウンセリング実施中!!!
マウスピース矯正の注意事項(リスク・副作用など)
- 口腔内・歯並びの状態によっては対応できない場合があります
- マウスピース型矯正装置の長時間装着(1日20時間以上)が必須です
- 治療計画通りに進めるためには、患者様の意志が重要になります
- 矯正治療後の保定が不十分だと後戻り(元の位置に戻ろうとする動き)をします
- 薬機法対象外の矯正歯科装置のため医薬品副作用被害救済制度の対象外となる場合があります
- 自費診療(保険適用外)となります
当サイトの内容、テキスト、画像等の無断転載、複製、複写、盗用を固く禁じます。

















