症例詳細
Case detail
インビザラインの新しいマウスピースが届く前にクリーニング(アタッチメントが外れている時に)
治療症例の内容
- 診療科目
- 治療カテゴリ
- 患者様
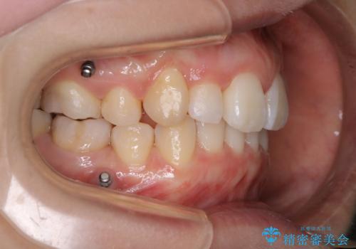
- 20代女性
- 治療期間
- 治療計画
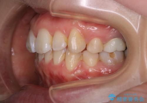
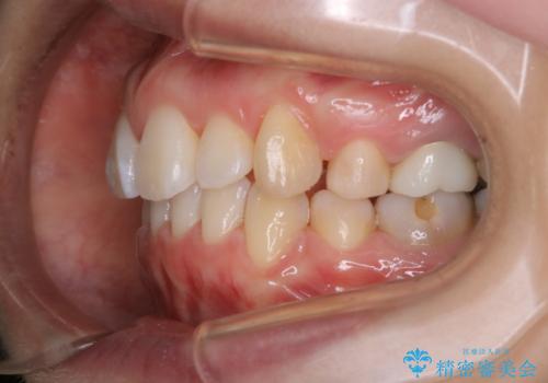
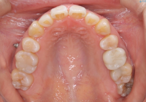
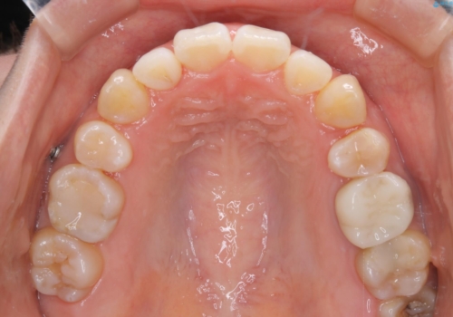
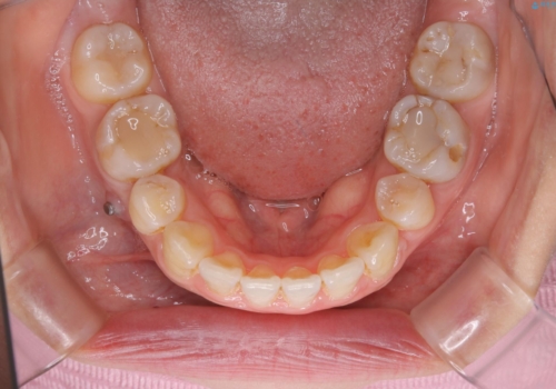
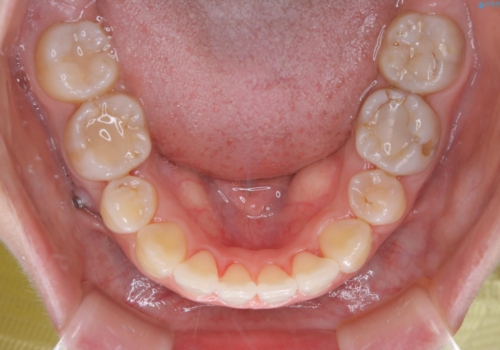
- 全体的に着色が付いているのが気になるとのことで来院されました。
PMTC60分コースを行いました。
- 費用(概算)
- 11000円費用は治療当時の料金となります
治療について
PMTC60分コースを行いました。
着色がかなり頑固なため、エアフローも使い着色を除去していきました。
下の前歯にはかなり多くの歯石が付いており、デンタルフロスでもう少し防げるため、使用法や頻度を確認しました。
インビザラインの矯正治療は、マウスピースの使用時間が少ないとマウスピースと歯のフィッティングが悪くなりシュミレーション通りに歯が動かなくなるため、追加アライナーといって、再度スキャニングを行い新しいフィットの良いマウスピースに変えていきます。そのスキャニング時にアタッチメント(歯の表面に付いた突起)も除去するため、そのタイミングでクリーニングするのもおすすめです。
担当歯科衛生士
表参道しらゆり歯科 DH富田
PMTCの注意事項(リスク・副作用など)
- 歯を白くする目的の施術ではありません
- 保険適用外となります
当サイトの内容、テキスト、画像等の無断転載、複製、複写、盗用を固く禁じます。










