症例詳細
Case detail
矯正治療前にホワイトニング
治療症例の内容
- 診療科目
- 治療カテゴリ
- 患者様
- 20代女性
- 治療期間
- 1日
- 治療回数
- 1回
- 治療計画
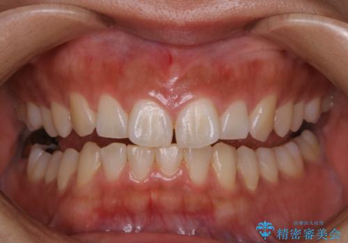
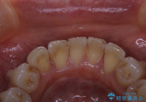
- 矯正治療前にホワイトニングがしたいとのことで来院されました。
処置前クリーニングとオフィスホワイトニングのエクセレントコースを行いました。
- 費用(概算)
- 33,000円費用は治療当時の料金となります
治療について
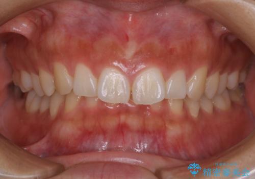
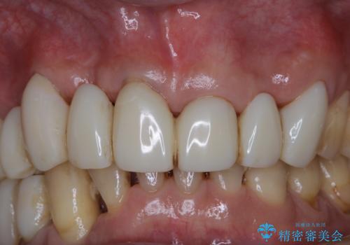
処置前クリーニングとオフィスホワイトニングのエクセレントコースを1回行いました。
この患者様は、歯科矯正に1、2年かかり矯正中はホワイトニングをすることが出来ないため、歯を白くしてから矯正治療にすすみたいとのことでオフィスホワイトニングを行いました。1回の施術で2.3トーン白くなり、とても白くなりました。ホワイトニングは何度も重ねて白くしていくのですが、1度で満足のいく色見になったため一旦様子を見ることにしました。
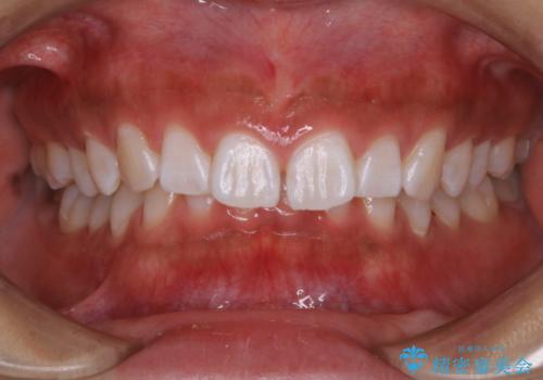
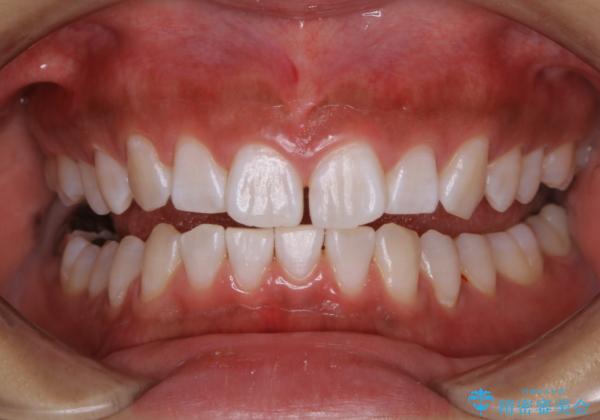
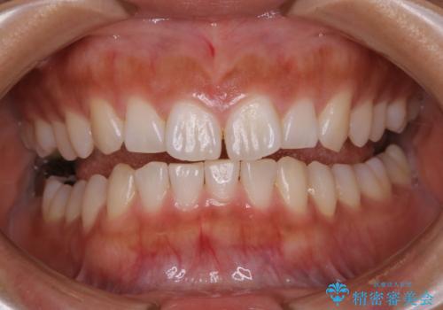
1ヶ月後来院して頂きチェックしたところ、やはり後戻りがあったため、再度オフィスホワイトニングを行うことになりました。
1回のオフィスホワイトニングですとこのくらいの後戻りがあるため、ホワイトニングを考えている方は是非参考にしてください。
担当歯科衛生士
表参道しらゆり歯科 DH富田
ホワイトニングの注意事項(リスク・副作用など)
- 知覚過敏が出ることがあります
- ホワイトバンドや白い斑点が出ることがあります
- クラウンやインレー等の補綴物には効果がありません
- ホワイトニングによる効果や持続期間には個人差があります
- 歯牙の状態によっては適応できないことがあります
- 保険適用外となります
PMTCの注意事項(リスク・副作用など)
- 歯を白くする目的の施術ではありません
- 保険適用外となります
当サイトの内容、テキスト、画像等の無断転載、複製、複写、盗用を固く禁じます。





